
功能性矫治器本身不产生矫治力,其主要是利用咀嚼肌力将下颌引导至适当的位置,改变下颌位置后使相关的咀嚼肌及口周肌受牵张,肌肉收缩产生的力传递到牙⻮、颌骨及颞下颌关节,促进软硬组织发生适应性变化,重建新的形态及功能平衡,达到引导、调控生⻓及防治错颌畸形的目的。
⻓期的临床实践已经证实用功能性矫治器可获得满意的治疗效果。
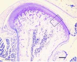
在功能矫治器矫治过程中引发的各种软硬组织的适应性变化中,以髁突软骨的适应性改建最为重要。
髁突的静态组织学结构
①结缔层(articular layer,A):是髁突最表面的结缔组织层,富含未分化的间充质细胞;
②静滞层(resting zone,R):软骨细胞形态较小,处于向成熟软骨细胞分化的最初期,状态稳定;
③扩增层(proliferative zone,P):该层内软骨细胞密集排列,细胞处于活跃增殖状态;
④成熟层(hypertrophic zone,H):细胞数量减少,形态饱满肥大;
⑤凋溃层(erosive zone,E):是髁突软骨与骨之间的交界区域,细胞凋溃,基质崩解,为骨开始形成的区域。


髁突的动态生物学进程
髁突的静态组织学结构是其动态生物学进程的反映,其核心机制是软骨内成骨。
髁突为典型的添加性生长(appositional growth),即软骨表层内的间充质细胞逐渐分化为前成软骨细胞;前成软骨细胞进一步分裂、增殖,逐渐成熟;
最后,肥厚的软骨细胞和基质会被降解并被骨骼取代。
这种转变也通过增加的新生血管形成来维持,新生血管形成带来成骨细胞,最终导致在退化的软骨下形成新的骨。
最为关键的是,髁突软骨内成骨的生物学过程既发生在个体自然生长发育期,又可发生在外源性刺激状态下。
在外源性因素刺激下,髁突软骨会启动软骨内成骨的生物学应答,此即功能矫治器重塑颌骨关系的细胞生物学基础。
当下颌骨在功能矫治器及咬合力的作用下产生向前、向下的重新定位时,髁突亦会在关节窝内产生重新定位,这种刺激会使未分化的间充质细胞发生牵张形变,导致间充质细胞向前成软骨细胞分化,从而启动软骨生成及软骨内成骨生物学过程。
最终产生髁突向上、向后生长的效果,使髁突重新定位于关节窝内,从而支撑新的下颌骨位置长期稳定。
此点对于前导的下颌骨能否牢固稳定在新的位置上非常重要。
除此之外,也有人指出功能性矫形还能刺激下颌骨的生长,对二类错颌产生更有效的影响,但对于这一点,目前尚存在争论。
也有学者指出,对于下颌骨发育良好,形态正常,只是位置后退的情况,功能矫治的目标不应该是,也没有必要刺激下颌骨长度的额外増长,而是支持下颌骨稳定在新的位置。

Twin block矫治器最初在1977年由Clark教授发明。其由分别就位在上下颌的具有导斜面的咬合导板组成。
最初上下导板的咬合接触面以45°交锁,后为更好地阻挡下颌后缩,普遍改用70°。
通过咬合时斜面引导的作用,使下颌骨向前移动,改善上下颌骨矢状向不调。
戴用Twin block矫治器如同戴用义齿一样,允许前方及侧方运动,患者可以戴着矫治器进食,较少影响正常口腔功能。
它还具有制作简单,病人戴用方便,不影响发音,可全天佩戴,配合牵引可使患者的下颌在夜间仍保持前伸位,疗效快,适应证广等特点。
临床上Twin block矫治器一般可选择无拥挤或轻度拥挤,牙弓形态良好的安氏Ⅱ类错合的病人,覆盖10~12 mm,深覆𬌗,并处在生长发育期的病人进行矫治 。
通过将下颌前导,后牙可获得良好的咬合关系, 侧貌可得到明显改善。
Twin block矫治器的咬合重建
下颌前伸移动的目的是建立中性的磨牙关系。一般使下颌前伸至前牙切对切的位置,但前伸幅度不超过10mm。
在Ⅱ类1分类错合的情况下,下颌定位不必至切对切关系,在Ⅱ类2分类错合中,可嘱患者下颌前伸,使切牙呈轻度反覆盖。
若前牙深覆盖严重,需前导的距离超过10mm,则考虑分2~3次前移下颌。
下颌的生理运动范围不超过下颌最大前伸量的70%,因此功能矫治器的最大前伸量也不应超过下颌最大前伸量的70%。
垂直向的打开程度应超过息止颌间隙,这样能激活肌肉产生张力,保证患者在睡眠时仍处于加力状态。
适量的垂直向间隙还能保证矫治器有足够的颌垫厚度,但下颌前移和垂直打开的总量应在8~10 mm,如下颌前移较多,则减少垂直向的打开;
反之,则适当增加垂直打开。
在一般情况下咬合重建后,上下前牙间打开2~3mm,双尖牙间打开3~5mm,磨牙间打开1~2mm。
如果存在功能性因素(如牙合干扰),可通过咬合重建使上下中线一致。如果存在牙错位等牙性因素或颌骨不对称的骨性因素,不考虑通过功能矫治器改善中线。
在正畸界还存在一次前导下颌和逐步前导下颌两种方案的争论。
一些学者认为,一次前导下颌相较于逐步前导下颌来说,将实现较大程度的软组织伸展改建,从而产生更多的牙性改变。
但是基于前瞻性研究的结果,这两种方法在牙性和骨性矫治变化的比例来看没有显著的差异。
因此,一次前导下颌由于临床操作简便而被优先选用。
在适应矫治器后的几天之内,肌肉平衡的位置被改变 , 以至患者要收回下颌会觉得费力,这就是所谓的“翼状肌反应 ” , 若不是全天候戴用,这种反应是很少能观察到。
Twin block矫治器组成:
由上下颌两部分活动矫治器组成。
由位于第一磨牙的箭头卡、位于第一、二前磨牙或第一、二乳磨牙间的邻间钩、双曲唇弓、基托斜导面组成。
箭头卡及邻间钩起固位作用,双曲唇弓用于内收angle ll 1分类前凸的上前牙,也有部分的固位作用;安氏二类2分类的患者可在前牙舌侧放置舌簧。
由位于第一前磨牙的箭头卡、位于下前牙的邻间钩(两个或三个)、基托斜导面组成。
下颌的箭头卡一般位于第一前磨牙,对于后期需要调磨上颌颌垫而使下颌后牙伸长的病例来说,当其放置于第二前磨牙或磨牙时,箭头卡跨牙合部分会影响下颌后牙的伸长。
下前牙的邻间钩可防治下切牙的前倾。
下颌导斜面的后缘不向远中越过下颌第一磨牙的近中边缘嵴,以免影响其伸长,同时,其过于靠近远中会影响患者佩戴时的咀嚼效率。
下颌导斜面的上部最好能少量包裹与之对应的上颌牙,以进一步阻止下颌的后退。
前牙切三分之一可被树脂包绕,进一步防止下前牙前倾。

注意事项
·当患者覆盖过大,不能一次前伸到位,需要多次前伸时,可在Twin block矫治器上颌导斜面的近中增加自凝塑料。
·对于深覆𬌗的矫治,需要通过逐渐调磨降低上颌矫治器磨牙区的自凝树脂,让下后牙向上萌出,减少深覆𬌗。每次调磨约1~2mm,患者戴上矫治器后,下后牙和上颌颌垫间的距离允许探针自由通过即可。每次调磨时不能破坏导斜面,以免影响下颌前导的效果。只有在上颌前伸到位,积极治疗结束时,再调磨上颌导斜面及下颌部分矫治器,改正前磨牙区的开𬌗状态。
·对于前牙开𬌗的患者,磨牙区的树脂不能调磨,要始终保持上颌颌垫与下后牙接触,抑制后牙伸长。此时应调磨去除前牙区颌间树脂,前牙可粘结锁槽,使用橡皮圈进行颌间垂直牵引,解除开𬌗。
·保持期一般使用Twin block矫治器矫治2~5个月,牙弓矢状向关系得到矫正,面形改善。但此时前磨牙区的咬合关系仍未完全建立,可使用带有斜面的上颌Hawley式活动保持器,保持已矫正了的矢状关系,同时让前磨牙萌出。上下颌前磨牙一般在4~6个月达到咬合接触。
·对于需要进一步排齐牙列的患者,可换用固定矫治器进一步治疗。

儿童常见错颌畸形,如何检查诊断?
矫治器的临床设计,要注意哪些事项?
反𬌗的早期矫治,该如何进行临床分析?
替牙期安氏I类、II类、III类错颌畸形的适应症是什么?
改良activator、HGAC、Andresen肌激动器如何设计?
2*4+多用途弓如何应用于替牙期深覆盖病例有效内收压低上前牙?
...
我们诚邀梁欢欢老师
录制十五节儿牙早矫系列课程
聚焦讲解儿牙早矫中的各种问题
深入浅出,一听就懂,实用高效
扫描下方二维码即可购买
按【目录】还可【单期购买】
只需299元
即可获得十五节早矫课程
(第6-7节为一个课程)
一次购买,终生享用
快来报名一起学习吧!



