夏日炎炎
2022西部国际口腔展
重磅来袭!!!
四川爱特佳医疗科技有限公司
诚挚邀请了
刘志坚、苏晓霞
两位老师
在展会上
以"MSE骨性扩弓的临床应用”
“Ⅲ类错颌畸形的临床矫治思考”
为专题的培训学术会
会议位置:
中国西部国际博览城
4号馆·19会场
会议时间:
7月27日9:00--12:00


(注:以上排名不分先后)
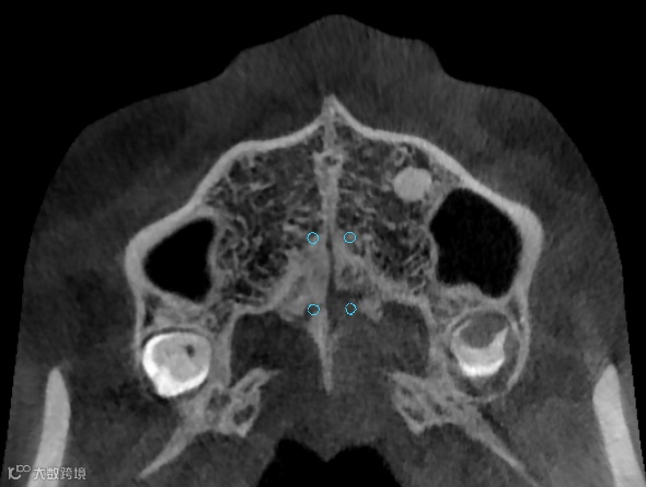
爱特佳 数字化MSE规划及设计中心
( Artistan Digital-MSE Planning & Design Center )
CBCT精准定位
种植导板设计及打印

我们能为您提供MSE的数字化精准定位
提供个性化的MSE支抗钉植入导板
以确保MSE的精准制作
助力临床
为患者的矫治效果保驾护航!!!
4号馆·会场19·展位F37
四川爱特佳医疗科技有限公司欢迎各位的莅临
四川爱特佳医疗科技有限公司
地址:资阳市雁江区现代大道1号牙谷孵化园C栋二楼
联系电话:028-26329900
扫码关注我们了解详情喔~

