
早期矫正是在儿童生长发育的早期阶段,一般指乳牙列和替牙列时期,即3.5~12岁之间的儿童,对其进行的预防、早期介入和正畸治疗,通过预防和治疗引导牙、牙列、𬌗、颌面部正常生长。
早期矫正的意义在于:①可以预防、引导和阻断儿童错𬌗畸形的发生发展,能有效降低儿童错𬌗畸形的发病率;②促进儿童牙颌面协调的生长发育,降低儿童错𬌗畸形的严重程度;③简化其复杂程度,减少临床拔牙比例,减少颅面颌骨性畸形手术比例;④有利于错𬌗畸形矫正后口腔功能稳定,有利于牙颌面形态结构协调美观;⑤有助于减轻患者及家长的身心负担,促进儿童身心健康发展。
今天我们聊聊早期矫正
反颌矫正前后面型对比

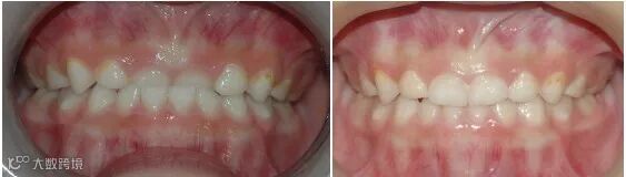
反颌矫正前后牙齿对比

下颌后缩患者经过下颌前导治疗前后面型对比
每一颗乳牙都有特定的脱落时间与顺序,如果乳牙在不该脱落的时候脱落,需要做间隙保持器进行间隙的维持。

乳牙早失戴间隙保持器

门牙间隙过大(左侧图片为多生牙导致)

前牙开𬌗影响美观和功能

口呼吸导致面型与牙齿的变化
(2)吮指、咬笔:导致牙齿开𬌗。

吮指和咬笔
(3)咬下唇:导致牙齿前突,开唇露齿,龅牙,影响面容美观。

咬下唇
(4)咬上唇:会限制上颌骨发育,进而可能引发反颌等颌骨畸形。

咬上唇
牙齿不能在正确位置萌出时,不仅影响自身牙齿的发育,极大影响面容美观,并且可能造成邻牙牙根的损伤,需要及时进行正畸治疗。

牙齿异位萌出
除以上情况外,还有其他一些状况,在此不一一列举。
1. 对于乳牙列,大多数观点认为乳牙期的矫正需要等4岁过后,即乳牙根发育完全后。部分患者可提前在3岁进行矫正,目前广泛使用的作用于骨骼和肌肉的功能矫正器,并不会对牙根发育产生危害,还可更早地矫正面部骨骼和肌功能的异常。若采用非功能矫治器,建议还是从4岁开始矫正。
2. 对于混合牙列,一般在7岁前进行;颌骨畸形的最佳矫正时机则是在青春生长高峰期前1~3年,一般在10~12岁前进行效果最佳。上颌扩弓应在腭中缝完全融合前进行,否则牙弓的扩大主要为牙的颊向倾斜,且疗效不稳定。前牙反𬌗若不及时治疗,将限制上颌骨向前生长形成面中份凹面畸形,前牙反𬌗的治疗时机应越早越好。
3. 对于恒牙列初期,一般在12岁左右进行矫正。通常建议儿童定期进行口腔检查,对于早期发现并需要干预的错𬌗畸形,选择合适的时机,及时治疗。
1. 年龄:年龄是最易获得也最简便的评估依据,一般来说中国女性平均在9~10岁进入青春生长迸发期,14岁时结束;男性平均在12~13岁进入、16~18岁结束生长迸发期。
2. 身高:身高的发育与颅面部发育高度相关,可通过持续记录患儿身高判断峰值的出现,但此方法需要长期观察。
3. 第二性征:第二性征的出现意味着发育高峰已开始,甚至已经过去。
4. 骨龄预测:①手腕骨片。一般来说可将拇指尺侧籽骨出现、钩骨钩钙化、第三指中节指骨骨骺成帽状可作为青春期生长发育高峰的特征。②颈椎片。Baccetti将颈椎成熟度被划分为五期,其中第二期认为是理想的矫正开始时机,即C2、C3椎体下缘变凹,C3、C4椎体为梯形或水平四边形,生长高峰期在此期的1年以内。
1. 矫正的安全性:①在矫正过程中应注意牙根的发育长度等;②注意矫治器的副作用。任何矫治器都有副作用,包括功能矫治器也有副作用。在矫正过程中,正畸医师应充分利用优势,减少或者规避矫治器的副作用;
2. 矫正的复杂性:早期矫正是很复杂的治疗,并不像传统所说的“简单”。不对儿童生长发育进行评估而盲目开展早期矫正,是极不负责任的。
3. 早期矫正是通过简单的矫治器纠正儿童在生长发育中的错𬌗畸形,但是早期矫正并不能一劳永逸,还可能需要配合二期矫正;
4. 早期矫正的时间一般为6~12个月,避免过长时间佩戴矫治器或对儿童进行过度矫正,影响儿童自身生长发育;
5. 对处于生长发育高峰前期或高峰期的儿童进行矫正,可能存在某些错𬌗畸形表达不充分或未完全表达的情况,因此正确的诊断十分关键,治疗的目的、采用的矫正手段以及预后都应慎重考虑;
6. 医师应意识到早期矫正的局限性,即只能解决儿童局部或部分错𬌗畸形的问题,仍需定期随访观察儿童牙颌及颅面的生长发育情况;
7. 早期矫正的矫治器多为活动矫治器,对患儿及家长的配合度要求高,合作程度的好坏同样是早期矫正成功与否的重要关键。
4月9日晚上20:00
爱特佳诚邀李树军讲师做客直播间
同大家探讨“早期矫正”这一话题
感兴趣的医生朋友们千万别错过

现在马上拿起手机扫描二维码
进群就可获取直播连接
同时
爱特佳在每月有两场直播
邀请的都是儿牙早矫领域的大咖
分享儿牙早矫经验
感兴趣的医生朋友们
关注本公众号
点击左下角“直播回放”
即可获取更多


成就医生·造福患者


