
功能性矫治是指用功能性矫治器纠正面部骨性不调。功能性矫治器是口内矫治器,它通过牙齿和软组织传递力量并去除对髁状突的干扰,从而促进下颌骨的生长。这些矫治器的目的是使下颌骨向前生长,增大口内空间,最大限度地激发患者的生长潜力,获得更加和谐的侧貌,改善舌体、牙列、唇及周围软组织的关系。
肌激动器(Activator)主要用于矫治青春发育高峰期安氏Ⅱ类错𬌗。肌激动器在前移下颌的同时,还能通过其他附件控制颌骨的横向位置以及上下颌牙的差异性萌出,从而实现对垂直向及水平向的控制作用。
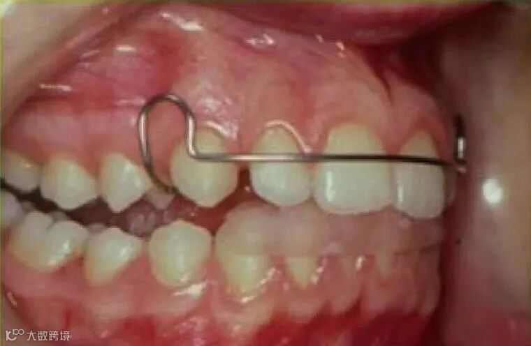
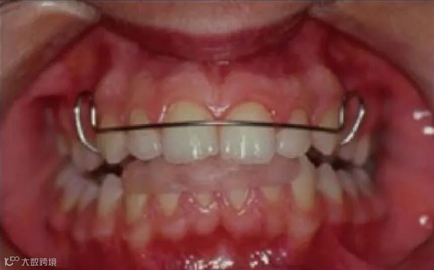
使下颌处于前伸位置,使相关的肌肉做出反应,从而获得纠正牙齿、牙弓关系所需的正畸力,而最终目标是改善患者面貌,见图1~图2。
肌激动器能防止下颌向后移位并将力传递到上颌,而上颌实质是前移下颌的支抗。

图1 肌激动器口内侧面像

图2 肌激动器口内正面像
肌激动器由塑料部分和钢丝部分组成,主体为一块塑料基托,无特定的固位装置,也无产生机械力的加力装置。
塑料基托是肌激动器的主体。基托的上颌部分覆盖整个上腭部,下颌部分向下延伸至口底,后缘达到下颌磨牙舌面的远中,上、下基托相连,在前牙区形成下颌切牙帽。
切牙帽可以限制下颌切牙垂直萌出,若切牙帽包盖过下颌切牙切缘约1/3,可限制下颌切牙唇向移动。通过调磨后牙区对应基托面,可以控制和引导后牙的垂直向萌出。
一般由直径0.9~1.0mm的不锈钢丝弯制而成的双曲唇弓构成。对于严重的Ⅱ类1分类、覆合过大、唇肌、颏肌紧张的患者,除用上颌双曲唇弓外,还应增加下颌双曲唇弓,并使下唇弓离开下前牙唇面2mm,以支开下唇,消除下唇对下前牙的异常肌张力。

对于处于生长发育期的错颌患者,肌激动器通过重建咬合改变下颌位置,使所附着的口颌肌肉及软组织受到牵张,产生神经肌肉和骨质改变,引起颞下颌关节的相应改建及面形变化。
即通过建立新的“功能型”而产生新的“形态型”,刺激了下颌骨失状和垂直向的生长,抑制了上颌骨失状向生长,从而改善上下颌骨的失状不调,达到引导和调控生长的目的。
同时,肌激动器使上颌牙列向远中移动和下牙列向近中移动,并可通过影响后牙的萌出和前牙的压入等方式获得理想的磨牙关系和覆合覆盖。
对于颌骨的影响:肌激动器可以抑制上颌的向前,同时刺激下颌在垂直方向和失状方向的生长,充分促进或抑制下颌的生长。
对于咀嚼肌的影响:其矫治来自被牵张的肌肉,韧带及纤维,肌肉被牵张后,产生一些列的适应性调整,即通过建立新的功能型,从而达到新的形态型。
肌激动器不产生力。


Ⅱ类1分类,下颌后缩,发育不足,面下⅓短或基本正常,
Ⅱ类2分类伴有下颌后缩,面下⅓短的患者。
(Ⅱ类患者如伴有上牙弓中段狭窄,下牙弓宽度正常,下颌前伸时形成𬌗干扰,妨碍下颌前伸者,可附加扩弓装置及固位卡环辅助矫治,在扩弓同时前导下颌。)
下颌功能性前伸或有轻度上下颌骨骨骼发育异常的Ⅲ类错颌,也可以选用肌激动器治疗,但应注意训练患者下颌向后。
在前伸的咬合位置上重建新的𬌗关系,临床上可视前牙超𬌗的大小决定下颌前伸多少,一般下颌前伸3-4mm,垂直打开咬合3-4mm,如下后牙萌出不足,下颌失状颌曲线过大,后牙区颌间隙可以适当增大;
如上下前牙覆盖过大,一次不能前伸过多时,可以分次前伸。当患者反复训练熟悉前伸的咬合位时,然后用烤软的红蜡片放置于下牙弓颌面,引导患者前伸下颌并咬至垂直打开需要的正确位置上。
检查下颌是否偏斜,位置是否居中,如下颌前伸时有偏斜情况,应重新训练,直到正确为止。
同时还需参照患者的生长潜力、生长型及牙槽高度等因素来决定。
① 矫治器试戴1-2周后,绝大多数患者能够适应。少数患者入睡后矫治器可能会不自觉脱出口腔。此时应检查是否垂直打开的距离不足,或是下颌前移的距离过大。习惯后,每4~6周复诊一次,按需调磨。
② 肌激动器一般在夜间及休息时戴用,每天至少14h。戴用时间越长,疗效越佳。一般在治疗10~12个月后,后牙达到中性关系,前牙覆合覆盖关系正常。
③ 调磨:对于深覆合的患者,应选择伸长磨牙。选择性调磨磨牙对应的基托面,通过控制和选择性的萌出引导,不仅可以打开咬合,还可以获得良好的尖窝交错关系。
④ 在利用肌激动器进行治疗时应特别重视𬌗平面的问题。肌激动器通过后牙导面控制上、下颌后牙的不同萌出,从而调整功能𬌗平面的高度及上下颌磨牙位置关系。在Ⅱ类错颌的治疗中应抑制上颌后牙的垂直萌出而促进下颌后牙萌出,这有利于建立I类磨牙关系。

⑤肌激动器与口外弓的联合应用。将口外弓与肌激动器联合起来,组成口外弓肌激动器,充分发挥两者的互补作用,用于早期矫治安氏Ⅱ类下颌后缩伴有下颌平面角增大,或合并上颌前突趋势病例的矫治。
主要适用于生长发育期的严重骨性Ⅱ类错颌,可伴深覆合、开颌,上颌前凸,下颌后缩,下颌角大,下颌有下后旋转趋势的高角或肌功能紊乱者。
口外弓多采用高位牵引,牵引力方向通过上颌阻抗中心与上牙弓阻抗中心之间,有助于保持𬌗平面的相对稳定,防止其发生向下向后旋转。替牙期牵引力一般为250~300g/侧,恒牙期为400~500g/侧,保持期则为100~200g/侧。
|
|
|
|
8月13日
爱特佳诚邀尹弘扬老师
再次做客直播间
为大家分享
“早矫利器:肌激动器
——从矫治设计到临床应用”
感兴趣的医生朋友们千万别错过

扫描上方海报中的二维码
加入直播通知群
第一时间获取直播链接
8月13日晚上20:00
期待大家的到来
儿童常见错颌畸形,如何检查诊断?
矫治器的临床设计,要注意哪些事项?
反𬌗的早期矫治,该如何进行临床分析?
替牙期安氏I类、II类、III类错颌畸形的适应症是什么?
改良activator、HGAC、Andresen肌激动器如何设计?
2*4+多用途弓如何应用于替牙期深覆盖病例有效内收压低上前牙?
...
我们诚邀梁欢欢老师
录制十五节儿牙早矫系列课程
聚焦讲解儿牙早矫中的各种问题
深入浅出,一听就懂,实用高效
扫描下方二维码即可购买
按【目录】还可【单期购买】
只需299元
即可获得十五节早矫课程
(第6-7节为一个课程)
一次购买,终生享用
快来报名一起学习吧!






