1 行业现象引发的思考
近年来,为降低肉鸭全期饲料成本,部分用户倾向于选择低档次的一号料(548),认为通过后期补偿生长即可弥补前期生长不足。所以市面上的鸭饲料出现了一种两极分化现象——一号料指标越来越低,二号料指标越来越高。然而,这种“策略”真的划算吗?小编结合我司最新试验数据,为您揭示肉鸭一号料(548)对全程生产性能的核心作用。
2 试验数据:低档548如何拖垮生产性能?
我们针对小白条鸭这块市场,以4-28日龄的樱桃谷鸭为试验对象,对比了高、中、低三档548饲料对生长性能的影响,结果如下。
1、4-14日龄阶段数据(见表1、图1)
料肉比:低档548最差(1.392),比高档料高出6.7%;
体重:差距显著,低档组比高档组轻26g(-3.4%);
采食量:不降反增,但转化效率低下,浪费明显。
2、4-28日龄全期数据(见表2、图2)
料肉比:随档次降低递增,低档料比高档料高出2.6%;
采食量:低档料最高,但体重增长最差,进一步印证其转化效率低;
体重:补偿生长效果有限,低档料组全期体重仍落后高档组26g。
3、养殖效益数据(见图2)
随档次降低,养殖收益逐步降低,低档VS高档差异-0.31元/只,效益低19%。
3 为什么前期料品质不可妥协?
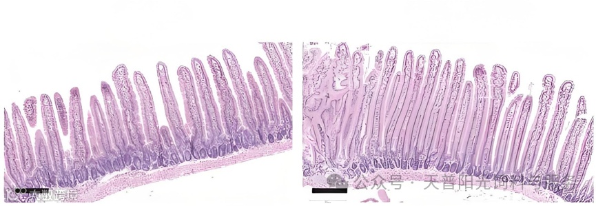
1. 消化系统发育的“黄金窗口期”
肉鸭1-14日龄是消化器官(如肠道绒毛、消化酶系统)快速发育的关键阶段。早期营养不足可导致肠道表面积减少20-30%,这种损伤在后期难以完全逆转(Noy等,2001)。
2. 免疫系统的“奠基工程”
免疫器官(胸腺、法氏囊)在雏鸭阶段迅速发育,早期营养不足会削弱免疫器官的发育。早期免疫抑制将导致后期用药增加,间接推高养殖成本。
3. 补偿生长的局限性
尽管肉鸭后期可通过高营养二号料(549)实现部分补偿生长,但肌肉沉积的“时间窗口”不可逆。前期生长滞后的鸭,后期即便采食量达标,其胸肌率仍比正常组低5%-8%(Leeson等,2005)。
4. 采食速度与生长节奏的连锁反应
市场还有部分低档548因适口性差、消化慢,导致鸭群摄食时间延长1-2天,延迟换料(549)打乱了整个出栏周期,进一步加剧料肉比增高。而且548与549的指标和原料使用差异巨大,换料期的肠道菌群适应期更长,换料应激也更大。
4、优质一号料是“全期效益”的种子
养殖效益是一场“马拉松”,而非“百米冲刺”。低档548看似降低成本,实则透支肉鸭的生长潜能与健康根基。拒绝“唯低价论”,别让“低转化效率+隐性健康损耗”吞噬了你的全期利润。选择高品质548,是为后期的高效增重、低料比打下坚实基础,实现效益更大化!
参考文献:
- 1.Noy Y., Sklan D. (2001). Digestion and absorption in the young chick. Poultry Science.
- 2.Leeson S., Summers J.D. (2005). Broiler Breeder Production. Nottingham University Press.
-------- 推荐阅读--------

