宫腔粘连(IUA,又称Asherman综合征),作为影响育龄女性生育能力的一种常见妇科疾病,是由子宫内膜在经历损伤后愈合过程中不正常地形成纤维性瘢痕组织所导致的病理状态。这种病变会导致子宫腔部分或全部闭塞,影响月经正常排出,严重时可造成不孕不育、反复流产等问题。
传统的干预方法主要包括手术解除粘连和药物疗法。然而,在面对中重度宫腔粘连病例时,常规的手术手段与药物干预往往难以有效促进子宫内膜再生,进而恢复正常的宫腔生理环境。

近年来,科学研究取得了突破性进展,多项研究证实了不同来源的干细胞在干预宫腔粘连方面的潜力。这些研究表明,通过运用干细胞技术能够刺激子宫内膜细胞的增殖与分化,有助于抑制内膜纤维化过程,并能有效改善受损的宫腔结构,从而为中重度宫腔粘连患者带来了新的康复希望。干细胞疗法正逐步展现出其在促进子宫内膜生长、修复宫腔损伤及提高生育能力等方面的积极作用。
干细胞,作为一种具有独特分化潜能和能分泌多种生物活性因子的细胞类型,在不孕症相关疾病的干预中展现出巨大的应用潜力。在针对由宫腔粘连所导致的不孕症问题时,干细胞疗法的作用机制可概括为以下几个方面:
(1)组织修复与再生:干细胞通过释放一系列细胞因子,能够诱导子宫内膜组织进行自我更新和再生过程。这些细胞因子可以激活受损区域内的休眠或残留干细胞增殖,并促进生长因子的生成,进而引导子宫内膜细胞快速且有效地恢复正常的结构和功能。
(2)免疫调节作用:干细胞能够调整局部微环境中的免疫反应,降低自然杀伤细胞(NK cells)的过度活跃状态,同时减少Th17和Th1细胞的数量,这两种细胞亚群通常与炎症及自身免疫反应增强有关。相反,干细胞还能促进抗炎性和免疫抑制性的Treg细胞以及Th2细胞数量增加,有助于重建免疫平衡,减轻炎症反应和纤维化程度,有利于子宫内膜恢复正常。
总之,干细胞干预在宫腔粘连引起的不孕症干预中扮演了双重角色,一方面直接促进子宫内膜的修复与再生,另一方面通过精细调控免疫系统,创造出利于生育能力恢复的适宜生理环境。
案例1
在一项发表于《Stem Cell Research & Therapy》的非对照I期临床试验中,科研团队评估了脐带间充质干细胞(UC-MSCs)应用于宫腔粘连干预的安全性和有效性。实验纳入了26位因复发性宫腔粘连导致不孕症的患者。

研究过程中,科学家们将1000万个(1×10^7个)脐带来源的间充质干细胞附着在胶原支架上,并在成功解除宫腔粘连后,将装载有干细胞的支架植入患者宫腔内。随后对所有受试者进行了为期3个月的严密随访,以详细监测子宫内膜厚度、宫腔粘连程度评分以及与子宫内膜再生相关的分子标志物变化。
研究结果表明,在接受UC-MSCs移植干预后,未观察到与干预直接相关的严重不良事件发生。经过3个月的干预及随访,患者的平均子宫内膜厚度相较于干预前有了显著增加,同时宫腔粘连的评分也有所下降。组织学分析进一步揭示,在干细胞疗法干预后,患者子宫内膜的增殖活性、分化状态以及新生血管形成能力均得到了积极改善。
至30个月随访结束时,该研究中的26例患者中有10例成功怀孕,其中8例顺利分娩,且新生儿并无明显的出生缺陷和胎盘并发症报告。
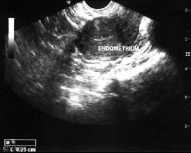
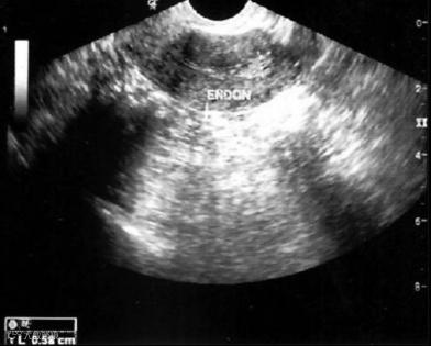
患者干预前后超声对比
案例2
在一项针对6名常规干预无效的难治性宫腔粘连患者的研究中,当标准疗法失效后,科研团队决定采用单个核细胞移植(MNCs)进行干预。研究人员将这些细胞移植到患者的子宫内膜下层,并辅以口服外源性雌激素进行同步干预。随后,在干预后的第3、第6和第9个月分别对患者的子宫内膜厚度进行了评估。
结果显示,经过细胞移植干预之后,所有6名患者的子宫内膜厚度相较于干预前均有了显著提升。更为重要的是,这6名患者中有5名成功恢复了正常的月经周期,且其子宫内膜再生状况表现良好。这项研究进一步证实了自体细胞移植在干预宫腔粘连方面的潜力,为该领域提供了极具前景的新干预方法。
不孕症问题中,宫腔粘连是一种严重影响育龄夫妇生育能力的疾病,传统干预手段往往难以达到理想效果。面对这一挑战,近年来国内多个科研团队正集中力量研究创新疗法,以解决难治性宫腔粘连问题。这些前沿探索主要聚焦于干细胞技术在再生医学领域的应用,科学研究已证实其能有效修复因宫腔粘连受损的子宫内膜,并显著提升患者成功孕育的可能性。

