对于溶菌酶的活性研究,多数报道只是偏重于其抑菌特性,较少关注其他活性(如抗炎、增强免疫力等)。本研究评估了日粮中添加微生物发酵溶菌酶,饲喂35天后,对肉鸡生长参数、肝脏组织结构、抗氧化状态、生化分析和促炎细胞因子表达等影响。微生物发酵溶菌酶的抗炎、增强免疫等效果,在预防或治疗炎症性疾病方面具有应用潜力,其良好的抑菌效果和抗炎活性为开发新型功能性饲料添加剂提供了重要依据。在此分享,欢迎品读!
来源:Animals 2023;


本文来自Animals2023“饲料成分对动物生长性能和胴体特征的影响”专题,2023年12月15日发表,作者来自埃及扎加济格大学兽医学院临床病理学系、埃及国家研究中心农业与生物研究部、沙特阿拉伯国王沙特大学理学院动物学系、埃及扎加济格大学兽医学院和曼苏拉大学兽医学院等。

1
前言

2
材料与方法
一、使用的饲料添加剂
微生物发酵溶菌酶(MMUR),EC 编号 3.2.1.17,,由转基因里氏木霉菌株(登录号 DSM 32338)Balancius™、Isando 发酵产生。酶活性 60,000 LSU(F)/g。
二、试验地点
试验地点:埃及扎加齐格大学兽医学院家禽研究部。从当地孵化场购买了 400 只 1 日龄 Ross-308 公鸡。到达后,连续三天使用广谱抗生素(新霉素)和脱水溶液喂养,平均体重达到 97.68 ± 0.59 克。雏鸡在通风良好、铺有锯末垫料的鸡舍中喂养。鸡舍温度由加热器调节,最初一周保持在 34 °C,逐渐降至最低,最后一周降至 25 °C。第一周光照方案为每天 24 小时,然后在 7-35 天内改为 16 小时光照和 8 小时黑暗。所有小鸡都接种了甘博罗病和纽卡斯尔病疫苗,并每天检查健康状况。
三、分组
将 400 只 3 日龄雏鸡(97.68 ± 0.59 克)分成 4 个不同组,每组 10 个重复(100 只雏鸡/组),包括:
-
G1:不含溶菌酶的基础饮食(对照组) -
G2:基础饮食 + 200 毫克溶菌酶(每公斤日粮) -
G3:基础饮食 + 400 毫克溶菌酶 (每公斤日粮) -
G4:基础饮食 + 600 毫克 溶菌酶(每公斤日粮)
四、样本采集
在第35天,从每组随机抽取10只鸡(n=10)的肱静脉血样,放入不含抗凝剂的干净干燥的试管中,室温下静置凝固,然后以3000rpm的速度离心5分钟以分离血清。收集的血清在Eppendorf管中保存在−20°C下供分析。
五、临床生化分析
用分析试剂盒(Spinreact,西班牙圣科洛马)测量血清丙氨酸氨基转移酶(ALT)和天冬氨酸氨基转移酶(AST)水平。
用Spectrum-Bioscience(埃及生物技术公司,开罗,埃及)的比色检测试剂盒评估血糖水平。
用ELISA试剂盒(MyBiosourceCo.CAT.NO.MBS269454、MBS265796、MBS266317和MBS025331)分析三碘甲状腺原氨酸激素(T3)、甲状腺素(T4)、生长激素(GH)和瘦素。
六、免疫和抗氧化指标
使用ELISA试剂盒(货号MBS2024496)测量血清白细胞介素1β(IL1β)水平。分别测量血清中的丙二醛(MDA)(nmol/mL)、总抗氧化能力(TAC)(U/mL)、过氧化氢酶(CAT)(U/mL)和超氧化物歧化酶(SOD)(U/mL)的活性。
七、组织学和免疫组织化学检查
每组取3个肝脏样本(n=3)并用10%中性福尔马林固定。用(75%~100%)递增等级的乙醇对样品进行脱水,置于二甲苯I和II中,并包埋在石蜡中。然后,用切片机(LeicaRM2155,英国)将它们切成4µm的薄片(横向和纵向),并用苏木精和伊红(H和E)染色。用AmScope5.0MP显微镜数码相机在高倍视野(放大100倍和400倍)上拍摄每个处理中每只鸡的照片(25张照片/组)。检查染色组织是否出现炎症、变性、凋亡和坏死等病理变化。
使用肝脏和脾脏中的转化生长因子-β(TGF-β)探索鸡白细胞群的炎症反应。第35天,取肝脏和脾脏样本(每组三个样本)观察TGF-β的表达。将组织片段放入含有过氧化氢和叠氮化钠的内源性过氧化物酶阻断混合物(DAKO过氧化物酶阻断试剂,货号S2001)中培养。然后,加入一到两滴对TGF-β超敏感的一级单克隆抗体(货号BAF240,NovusBiologicals,BriarwoodAvenue,Centennial,CO,美国);之后,用苏木精染色载玻片并在显微镜下检查。最后,使用与64位Java1.8.0_172捆绑的ImageJ1.49软件(美国马里兰州国立卫生研究院),使用三个高倍视野(HPF)分析不同的免疫阳性细胞。

3
结果
一、增长表现
生产性能如表1所示。在育肥期(第4至第10天),饲喂添加了200mg/kg和400mg/kg微生物发酵溶菌酶(MMUR)的饲料的肉鸡与对照组相比,体重、体重增重和饲料转化率没有显著差异。但饲喂600mg/kgMMUR饲料的肉鸡的这些参数却显著提高(线性p=0.041、0.041和0.033)。与对照组相比,添加不同水平的MMUR不会影响饲料摄入量(FI)。在生长期(第11至第23天),饲喂600mg/kgMMUR饲料的肉鸡体重(p=0.018)和体重增重(p=0.033)与对照组相比。所有实验组的FI无差异(p=0.790)。微生物发酵溶菌酶水平为200mg/kg和600mg/kg时,FCR有所改善(线性p=0.002)。在整个育肥期(第24至第35天),600mg/kg的膳食微生物发酵溶菌酶增加了体重(p=0.015),但不影响体重增重、FI和FCR。
结果表明,添加600mg/kg微生物发酵溶菌酶的肉鸡最终体重和体重增重线性增加(p=0.015)。微生物发酵溶菌酶为600mg/kg时,整体FCR降低(p=0.004)不同MMUR添加水平对总FI无显著影响,600mg/Kg微生物发酵溶菌酶组小鼠最终体重最大,对照组最终体重最小。
表1、微生物发酵溶菌酶MMUR对饲养期间肉鸡生长性能的影响


二、临床生化指标
微生物发酵溶菌酶对肉鸡血液生化指标的影响见表2。与对照组相比,添加不同水平的微生物发酵溶菌酶日粮对血清AST、ALT和尿酸值没有影响,但肌酐水平呈线性升高(p=0.001)。添加不同剂量的微生物发酵溶菌酶可线性提高血清T3(p=0.001)、T4(p<0.001)和生长激素(p<0.001)水平。与对照组相比,添加各水平的微生物发酵溶菌酶对血糖水平没有影响。与对照组相比,添加微生物发酵溶菌酶后,血清瘦素呈线性升高(p=0.017)。
表2、微生物发酵溶菌酶对肉鸡血液生化参数的影响
三、抗氧化和炎症反应
微生物发酵溶菌酶(MMUR)对鸡血清抗氧化酶活性和血清炎症指标的影响见表3。TAC、CAT和SOD活性呈线性增加(p≤0.001)。相反,与对照组相比,所有MMUR富集组的MDA水平呈线性或二次方下降。所有微生物发酵溶菌酶(MMUR)处理中IL1β和IFN-γ水平均呈线性扩增(p≤0.001)。最高微生物发酵溶菌酶(MMUR)补充水平(600mg/kg)可产生这些参数的最高值。
表3、微生物发酵溶菌酶(MMUR)对肉鸡抗氧化和促炎反应的影响
四、组织病理学发现
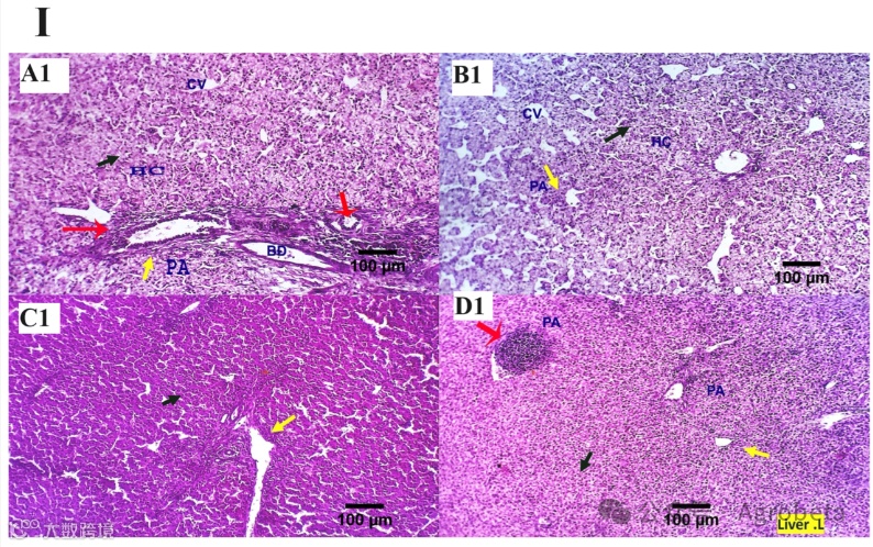
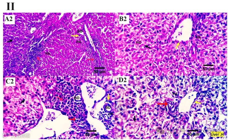
各个治疗组(0、200、400、600mg/kg微生物发酵溶菌酶(MMUR))的肝切片检查结果显示,各种结构均具有典型的组织学特征,包括门管区和肝细胞,这些肝细胞在中央静脉周围呈小团块状。肝门管区周围可见数个圆形细胞,表明存在自然免疫反应(图1)。对照组可见轻度至中度门管淋巴浆细胞聚集和胆汁增生(图1A)。在400mg/kg和600mg/kg微生物发酵溶菌酶(MMUR)水平下可见轻度聚集的免疫反应性淋巴浆细胞(图1C、D)聚集的炎症细胞似乎是一种免疫监视和保护装置,而不是一种破坏性的炎症程序(图1)。


图1.(I、II)各鸡实验组肝脏的显微照片((I):H&E×100放大倍数,(II):H&E×400放大倍数),这些实验组接受了0mg/kgMMUR(A1、A2)、200mg/kgMMUR(B1、B2)、400mg/kgMMUR(C1、C2)和600mg/kgMMUR(D1、D2))。这些显示了各种结构的典型组织学特征,包括门管区(PA,黄色箭头)和肝细胞(HC,黑色箭头),它们被视为围绕中央静脉(CV)的小肿块,在门管区周围观察到一些圆形细胞,表明存在自然免疫反应。在组(A)中检测到轻度至中度门管淋巴浆细胞聚集(红色箭头)和胆汁增生(BD,黄色箭头)。在组(C、D)中可以观察到轻度聚集的免疫反应性淋巴浆细胞(红色箭头)。
五、TGF-β免疫染色
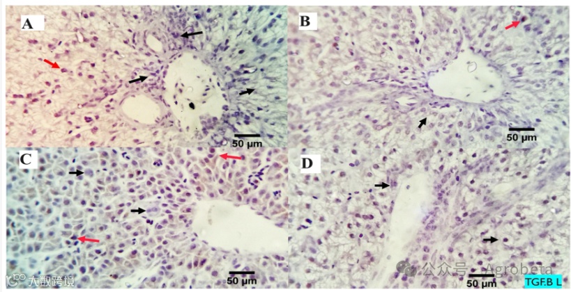
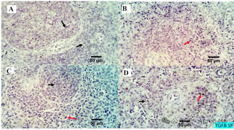
对所检查的肝切片进行分析,发现三个高倍视野(HPF)中抗炎标志物(TGF-β)的平均阳性细胞百分比分别为:0.09、0.13、3.96和4.00(MMUR水平分别为0、200、400、600mg/kg)(图2和图3)。对所检查的脾段进行形态学分析,发现所有组中三个高倍视野(HPF)中促炎标志物(TGF-β)的平均阳性细胞百分比分别为:1.19、1.01、1.66和7.21(对于膳食MMUR水平分别为0、200、400、600mg/kg)(图2和图4)。
图2.各实验组脾脏和肝脏中免疫染色的TGF-β细胞的形态分析数据。标有不同字母的条形图(a,b)表示差异显著,p<0.05。(MMUR0)组接受0mg/kgMMUR,(MMUR200)组接受200mg/kgMMUR,(MMUR400)组接受400mg/kgMMUR,(MMUR600)组接受600mg/kgMMUR。

图3.不同实验鸡组肝脏中免疫染色阳性的TGF-β细胞(红色箭头)。黑色箭头:阴性细胞。×400放大倍数。(A)组接受0mg/kgMMUR,(B)组接受200mg/kgMMUR,(C)组接受400mg/kgMMUR,(D)组接受600mg/kgMMUR。
图4.不同实验鸡组脾脏中免疫染色阳性的TGFβ细胞(红色箭头)。黑色箭头:阴性细胞。×400放大倍数。(A)组接受0mg/kgMMUR,(B)组接受200mg/kgMMUR,(C)组接受400mg/kgMMUR,(D)组接受600mg/kgMMUR。

