
齿白七分俏,貌美齿为先
对于牙齿而言
“白”是判定美丑的重要标准
能为颜值瞬间加分
拥有一口大白牙
你会发现涂什么色号的口红都超美!

然而如果牙齿发黄的话
嗯···你懂的
一开口
颜值瞬间掉落一地

在社交时,牙黄真的很让人尴尬
尤其是出去跟客户吃饭谈事情
一张口,氟斑牙、烟渍牙、黄牙全露出来了
客户还有心情吃饭?
更别说谈重要的合作项目了

要是还有口臭,那就更受不了了
长得再好看,打扮再漂亮
只要你一开口
就想隔你三米远,甚至有点反感
随着长时间的不健康生活习惯和刷牙习惯
口臭逐渐成为世界级疾病
在中国,口臭发病率高达27.5%
也就是说,平均每4个人就有1个人患有口臭

跟口臭、口腔有异味的人说话
简直就是酷刑
特别是跟另一半接吻的时候就更尴尬了
对方刚准备来一个亲亲
结果你一张口······
简直要被你熏晕了好吗

为了摆脱难看难闻的黄牙口臭
狠下心买了昂贵的牙刷牙膏回来精心护理
早晚都刷一次
甚至去做了洁牙仪、激光美牙
然而并没有什么卵用
还不可逆地伤害了牙齿和牙釉质


想拥有一口大白牙和清新口气
就那么难?
小编今天要给你推荐的一款洁牙黑科技
原料采用德国进口的
酵母珍珠白牙素


它是一款亮白+护理于一体的白牙素
天然有机成分添加淡薄荷
秒杀所有的大黄牙和口腔异味
一次见效,快速亮白牙齿,每天提亮牙齿2个色度!
12小时持久清新口气
让你彻底告别大黄牙和口腔异味!
白牙素的效果到底有多明显呢?
小编亲自试验了一下
一起来见证这个奇迹!
↓↓↓
照镜子一看
真的是惊呆了好吗?!

而且刷牙的时候口腔里面凉凉的
有薄荷的清新味
刷完后这种薄荷清新味会留在口腔里

连续使用28天
能彻底祛除口臭,美白牙齿,去除牙渍
清新口气、清理牙垢牙石、强健牙龈、防蛀固齿
让你彻底摆脱牙黄口臭的烦恼!
它选用德国慕尼黑无污染燕麦产区的
高纯化酵母
这些酵母含有磷脂、脂肪酸和核苷酸等活性成分
除垢因子含量非常多
能迅速溶解牙齿周围沉淀多年的顽固黑牙垢

精选日本优质的珍珠贝粉
细度达20000目以上的蚌外珍珠精华
其中含有特别的CT亮白因子
只需10秒,就能去除齿面上的着色物质!
成年人的口腔里有超过700种细菌
是口臭的源头
在市面上买的牙膏只能杀灭四分之一的细菌
且大多数都含大量的氟
对牙齿的健康极其不利

设计团队深入研究了这些附着在牙齿上的细菌
发现德国柏林当地的
一个小山坡上
有一种天然成长的薄荷
通过低温萃取和实验发现其独含的除臭因子
能杀灭口腔内99%的细菌
令口气持久清新自然

采用德国传统中草药配方
采用超细微粉剂工艺,将中草药植物研磨成粉末
质地细腻,毫无粗糙和植物颗粒感
能充分地深入牙齿缝隙中
发挥中草药植物的的最大药物作用
牙齿越黄,口臭越重,效果就越明显

只需要轻轻一刷
齿面上的牙垢污渍
瞬间就没了!

为了防止黄牙、口臭的复发
精选非洲乍得湖藻蓝蛋白
低温破壁、双水相萃取出高纯度藻蓝蛋白粉
天然植萃巩固牙周
深层杀灭牙齿内的细菌、修复蛀牙
改善敏感牙龈,防护固齿


牙齿上附着的污垢、牙渍等
主要成分是碳酸钙
和鸡蛋壳的成分一模一样
小编不多说
直接来看看刷鸡蛋壳的效果吧↓
不管是5年的牙渍,10年的烟渍
还是严重的口臭
只需28天
就能给你一口清新永久的大白牙!

长期使用一段时间
你会发现,牙齿不再轻易出血、发炎
牙齿和牙龈不再敏感
酸的、冰的、甜的、辣的
想吃什么吃什么

不止齿白祛口臭,更是对牙齿的呵护
去除色素还原自然美白
祛口臭彻底告别口腔异味
12小时持久清新口气
清洁齿垢和牙菌斑
对抗口腔细菌,强化珐琅质
抑制牙齿敏感

笑起来的一口大白牙
口气清新又好闻
对象恨不得马上抱住你亲你一口

用过的朋友
效果明显看得见!
什么黄牙、烟渍牙、氟斑牙
通通没有了!
呼出的口气还有种薄荷淡淡的清香味~
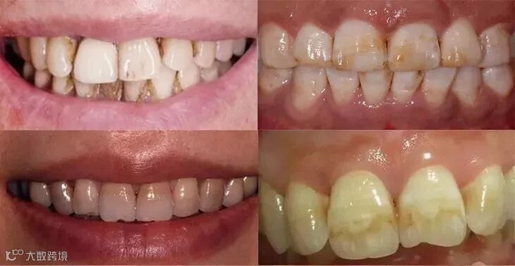
来看下使用过的小伙伴的
效果对比图 ↓

SIGNEWKA酵母珍珠白牙素
来自德国DECR.HOZR公司的专业口腔护理品牌
至今已经有128年的品牌历史

据德国传统中草药配方精心研制
经过百年的历史沉淀和1000多次的不断改进
畅销欧洲20年
大受人们喜爱和欢迎

解答问题时间
酵母珍珠白牙素最大的特点就是克服了传统牙膏或清洁或保养的单一效果,采用纯天然植物萃取精华,清洁与保养结合,无任何副作用,不会形成依赖。
每个人的牙垢量和牙垢类型都会有所区别,而且牙齿变黄变黑是日积月累形成,变白是需要一个过程的,不用担心~坚持一段时间后,牙粉会彻底深入牙齿内部,达到清洁的作用,后期效果事半功倍。
因为是植物研磨粉末状,与传统牙膏的质地有所区别,牙齿习惯了传统牙膏的凝胶状质地,第一次会有些许不适应,但第二次第三次此类不适感会消除~纯天然植物研磨的白牙素,请放心使用~
健康呵护牙齿
严格遵守国家安全标准
每一项都通过了国际权威专业检测认证
确保实力品质!

为了保证大家买到的每一盒都是正品
对产品放心使用
包装盒背面提供4种防伪查询方式
如有疑问
欢迎随时进行查验

为了回馈广大粉丝的支持
现限时活动
原价109元一盒的酵母珍珠白牙素
现只需65元一盒!
但我们争取到的库存不多
活动限时,卖完即止~

淡淡的薄荷香~清新口腔
珍珠美白~酵素固齿
轻轻一刷,拥有一口健康的大白牙!
每天早晚刷刷刷
还是满口黄牙满腔异味
一点点酵母白牙素
就能让你彻底摆脱牙黄口臭烦恼
爱情友情和事业都顺起来~


点击链接直接购买
▼



