文献解读
利用患者来源的类器官-成纤维细胞模型模拟结直肠癌的肿瘤异质性
结直肠癌( Colorectal cancer,CRC)目前仍是全球的主要健康负担之一,其导致的癌症相关死亡位于全球第四位。尽管科学领域取得了巨大进步,但晚期结直肠癌患者的治疗选择仍十分有限,且面临疗效预测困难的问题。数十年来,标准治疗方案基本未变,主要依赖化疗手段,而化疗往往伴随耐药性问题。
奥地利维也纳路德维希·玻尔兹曼应用诊断学研究所的研究团队建立一种先进的类器官(patient-derived organoids, PDOs)共培养模型,将来源于CRC的上皮细胞和患者匹配的成纤维细胞进行共培养。通过该模型,对源自同一患者的肿瘤类器官与正常成纤维细胞(NFs)或癌相关成纤维细胞(CAFs)之间的相互作用及依赖性进行研究。并且该模型无需添加微环境因子(如EGF、R-Spondin1、Noggin或Wnt3a)和抑制剂(SB202190 and A-8301)即可实现PDOs的培养。实验结果表明,与成纤维细胞共培养的PDOs表现出异质性细胞组成,并在组织形态学和基因表达谱方面更接近原发性肿瘤组织。相关研究于2023年2月发表于《Cellular and Molecular Gastroenterology and Hepatology》(IF:7.4)杂志,题为《Mimicking Tumor Cell Heterogeneity of Colorectal Cancer in a Patient-derived Organoid-Fibroblast Model》(在患者来源的类器官-成纤维细胞模型中模拟结直肠癌的肿瘤细胞异质性)。
主要研究结果
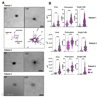
NFs和CAFs体外差异性研究
NFs和CAFs在体内存在显著差异,研究人员首先确认这些差异性在体外培养条件下是否存在。通过蛋白质组学分析、Reactome通路分析、分泌组学分析(基于细胞因子芯片技术)等手段,表明NFs与CAFs在体外培养条件下仍能保持其功能性蛋白质组与分泌组特征,其中CAFs的特征性表达谱反映了肿瘤相关通路活性。
基于上述蛋白质组与分泌组数据,研究人员进一步评估了这些分子变化是否转化为NFs与CAFs的表型差异。通过三组匹配的早期传代NFs/CAFs样本进行成纤维细胞球体三维胶原凝胶迁移实验,结果显示:与NFs相比,CAFs表现出更大的扩散面积、更多的伪足结构,以及更高数量的单细胞。这些发现表明,蛋白质组学分析所揭示的分子改变确实导致了表型差异,具体表现为CAFs在胶原凝胶中的迁移能力增强。
共培养模型构建
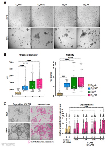
在完成NFs和CAFs的表征研究后,研究人员着手探究肿瘤细胞与间质成纤维细胞间的相互作用,建立了新型共培养模型:将源自同一患者的成纤维细胞与PDOs置于基质胶液滴中,使用基础培养基(含1%胎牛血清)进行共培养。该模型刻意规避了传统类器官培养基中常规添加的微环境因子及抑制剂——这些因子已被证实会改变成纤维细胞的信号传导与表型。实验证实:在基础培养基中与匹配成纤维细胞共培养的类器官(O_CAF, O_NF),其活性与尺寸均与常规培养基培养的类器官(O_ENAS)相当,且生长呈现成纤维细胞数量依赖的剂量效应。而单纯基础培养基(O_min)无法支持类器官长期生长。这表明NFs或CAFs分泌的因子在支持类器官生长与存活方面,具备与常规培养基同等的作用。
共培养模型的组织学特征
研究人员将成纤维细胞包埋于I型胶原凝胶中(表面覆盖基质胶),并在上层接种类器官。该构建体系支持细胞间直接相互作用,高度模拟结肠体内组织结构。采用苏木精-伊红(HE)染色、过碘酸-雪夫(PAS)染色及免疫组化染色(抗CK20、CDX2、Ki67和泛细胞角蛋白抗体)进行分析。
通过对比原发切除肿瘤、NFs/CAFs共培养及单独培养类器官的组织形态发现:与NFs或CAFs共培养的类器官表现出高度相似于患者样本的形态特征。其中,间质细胞标志物纤连蛋白仅见于共培养体系的成纤维细胞层及原发肿瘤间质,在ENAS培养类器官中完全缺失。患者样本中肠道细胞分化标志物CK20的异质性表达在共培养体系中被精准重现:CAFs/NFs共培养的类器官上皮结构中,未分化细胞、中间态细胞及高分化细胞的分布比例与原发肿瘤高度一致。相比之下,ENAS培养基中的类器官与原发肿瘤相似度较低,基于阳性染色细胞定量分析显示其CK20表达更均一。PAS染色结果揭示患者肿瘤的黏液分泌细胞比例与体外共培养模型相当,而无成纤维细胞的全培养基培养类器官黏液分泌能力显著减弱。其中一例肿瘤样本中,黏液分泌现象虽存在但无典型杯状细胞特征——该特征在共培养体系中也得以重现。
综上,与NFs或CAFs共培养的类器官通过维持多种细胞类型的存在,展现出与原发肿瘤极高的组织相似性。
与成纤维细胞共培养的类器官的基因表达
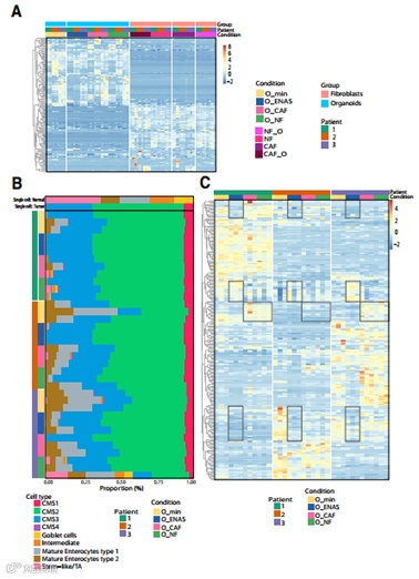
研究人员为验证类器官-成纤维细胞模型与原发肿瘤的相关性,将基因图谱与已发表的两项结直肠癌单细胞RNA测序数据集进行比对。从中提取成纤维细胞和上皮细胞标志基因后,通过常规RNA测序分析单培养及共培养体系中类器官与成纤维细胞的表达模式。
结果显示:共培养体系与患者样本相似度更高。TFF3和CEACAM1在共培养组的表达水平接近患者样本,且显著高于单培养类器官。CD44在原发肿瘤中上皮与间质双阳性表达的特征在共培养体系中被复现。OLFM4在患者及对应共培养体系中均呈现异质性表达。MUC1在共培养类器官中表达弱于患者组织,但在单培养体系中完全缺失。值得注意的是,NFs与CAFs共培养类器官的基因表达谱除GUCA2B和FABP1在CAF组轻微上调外,未见显著差异。这些数据从分子层面证实了组织形态学分析结果:共培养体系推动类器官从干细胞样表型向异质性细胞群转变,更接近体内肿瘤的真实状态。
单培养与共培养体系中的成纤维细胞呈现与原发肿瘤相似的基因特征
针对成纤维细胞标志物,研究人员基于已发表的单细胞RNA测序数据提取了通用型成纤维细胞、炎症型成纤维细胞及肌成纤维细胞的标志基因,并与不同培养条件(单培养/共培养)下NFs/CAFs的常规RNA测序数据进行比对。
数据表明肿瘤类器官通过双重机制影响成纤维细胞表型:既强化CAFs功能并诱导NFs表达促肿瘤基因,同时抑制肿瘤抑制性信号通路。
不同培养条件下类器官的基因特征表达出现差异
为深入验证共培养模型,研究人员对RNA测序数据采用生物信息学反卷积策略——基于两项已发表的结直肠癌原发样本单细胞数据集进行无偏倚分析。该策略可量化不同培养条件下特定细胞类型的比例分布。
基于Qian数据集的标志基因,研究人员计算了各培养体系中上皮细胞与成纤维细胞的占比。反卷积分析所得标志基因的表达水平经层次聚类后,清晰区分出成纤维细胞与上皮类器官细胞。
为解析四种培养条件下类器官的细胞组成,研究人员整合了定义结直肠癌分子分型(CMS1-4)的肿瘤标志物以及Lee数据集中反映结肠上皮细胞亚型与分化状态的标志物。所选标志物可对上皮细胞状态进行亚群聚类,涵盖干细胞样扩增细胞(TA)、中间态细胞、杯状细胞及成熟肠上皮细胞。尽管三位患者的类器官系存在个体差异,但ENAS培养组主要呈现CMS2/3肿瘤特征。基础培养基组(O_min)则出现少量分化成熟的肠上皮细胞(I型与II型)。值得注意的是,成纤维细胞共培养显著增加了细胞类型的多样性:三位患者中均检测到干细胞样/TA细胞、中间态细胞、杯状细胞及成熟肠上皮细胞的比例上升,具体构成存在个体差异。
不同培养条件下,类器官标志基因表达水平的层次聚类显示:虽然患者特异性基因特征占主导,但培养条件仍引起标志基因的表达变化。在三位患者中的两位体内,共培养组共同上调的基因簇(含MUC5AC、IFI6/27、SERPINA1、LYPD8)得到鉴定——这些基因与既往报道中肿瘤进展转移、癌细胞增殖及不良预后相关。
实验结果表明:相较于依赖干细胞微环境因子的传统单培养体系,结肠PDOs与成纤维细胞共培养能诱导出更丰富的上皮细胞类型。
成纤维细胞与上皮细胞功能性相互作用鉴定
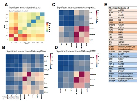
为深入解析共培养体系中不同类型细胞间的相互作用机制,研究人员采用Cellphone DB工具进行生物学相互作用推断。首先基于纯细胞群常规RNA测序数据,发现与类器官共培养的CAFs(CAF_O)相互作用数量显著增加。进一步评估源自患者样本的公开单细胞数据集,观察到成纤维细胞与间质细胞、内皮细胞的广泛相互作用。当把大量数据和scRNA-seq数据中成纤维细胞和上皮细胞的相互作用交叉起来时,我们发现了78对共享的相互作用对。
随后将成纤维细胞因子驱动的显著作用对,与前述分泌组及蛋白质组分析结果进行匹配。在此,研究人员发现CAFs分泌的细胞因子和趋化因子(如CSF1、FGF7或TGFB1)之间存在明显的相互作用,这在scRNA-seq数据集中也得到了证实。蛋白质组鉴定的靶标包括粘附分子和WNT5A。作为一种反复出现的CAF特异性因子,血小板反应素1(THBS1)被重点鉴定,将进一步评估其在类器官共培养模型中对CAFs功能的生物学效应。
THBS1在CAFs中表达高于NFs,并影响NF的表型
为探究THBS1对成纤维细胞表型的生物学作用,研究人员使用人重组THBS1 (hrTHBS1) 蛋白处理来源于两名患者的上皮细胞NF球体,并与CAF-CM(癌相关成纤维细胞)处理组及未处理组进行迁移表型比较。结果表明,原发肿瘤组织和共培养体系中均有THBS1表达。将NFs或CAFs共培养类器官和原发肿瘤组织切片,并进行THBS1、波形蛋白(成纤维细胞标志物)、上皮细胞粘附因子(上皮细胞标志物)染色。与THBS1的RNA水平一致,在CAFs和NFs中检测到了THBS1蛋白,在原发肿瘤和共培养物的上皮细胞中也检测到了THBS1蛋白。
综合数据表明,THBS1的RNA和蛋白质水平在患者和共培养体系中均持续上升,其对CAF表型具有关键调控作用。
研究结论
癌症的类器官模型在精准医疗领域显示出巨大的潜力,且现有活体生物样本库正在快速扩大。类器官模型可以预测患者对某些标准治疗方案的反应,例如基于伊立替康的CRC治疗方案。然而,类器官模型无法预测CRC患者对基于奥沙利铂治疗方案的反应,原因未知。猜测原因之一是类器官模型中缺乏肿瘤基质,而放疗和化疗也会对肿瘤基质产生较大影响。此文献研究人员所建立的CRC类器官模型创新性的结合了成纤维细胞(肿瘤微环境中最丰富、最重要的细胞类型),并经过大量实验,得到如下结论:
1.通过对比同一患者来源的NFs和CAFs,发现经过体内鉴定的CAF标志物在体外培养体系中也能稳定表达。
2.在I型胶原凝胶中,NFs和CAFs均能促进上皮肿瘤细胞类器官模型的存活与扩增。共培养系统仅采用基础培养基(含1% FBS),未添加培养类器官扩增所需的所有蛋白因子。培养基中抑制剂的缺失对维持成纤维细胞与上皮细胞间生理性相互作用的无干扰构建至关重要。
3.肿瘤细胞促使CAFs分泌特定因子,如IL6、ICAM-1和CXCL14等,而这些因子又反过来促进肿瘤细胞的增殖和侵袭。肿瘤细胞与NFs或CAFs共培养时,类器官组织中与ECM组织、胶原形成和生物合成有关的基因会显著上调。
4.共培养建立的类器官模型的标志蛋白(CEACAM1/TFF3/OLFM4/MUC10)的表达水平及黏液分泌现象与原发肿瘤具有高度相似性,显著优于单培养类器官(基础培养基/ENAS培养基),所呈现的高水平的肿瘤细胞异质性对癌症演进与药物反应研究至关重要,有望显著提升临床转化价值。
5.基于Cellphone DB分析,明确了成纤维细胞与上皮肿瘤细胞间的核心互作机制—该机制主要由四类分子介导:细胞外基质(ECM)组分、细胞粘附分子、细胞因子、生长因子。
在未来的研究中需构建全谱系细胞整合模型(纳入成纤维细胞、免疫细胞及内皮细胞),并验证该体系下患者标准治疗反应的精准性—这将为个体化精准治疗提供新范式。此外,共培养系统在双靶点药物筛选中极具潜力:同步靶向肿瘤细胞与周围间质,有望突破治疗抵抗困局,最终改善临床预后。
HonrayMed—类器官/类器官芯片技术平台
浙江弘瑞医疗科技有限公司是一家以肿瘤类器官技术为核心的创新型医疗科技企业,被评选为台州市2020年“500精英”高端人才创业团队。公司总建筑面积为4000多平方米,含500平方米符合P2级要求的临床医学检验所、3500平方符合二类医疗器械要求的C级洁净生产区域。
弘瑞医疗致力于肿瘤类器官在个体化精准医疗、新药/新化合物筛选、药物安全性测试、生物样本库建设及疾病机制研究领域的应用,自主研发了国内首个具有全套核心自主知识产权的“自动化肿瘤类器官药敏筛选体系”平台,可以提供肿瘤类器官技术(患者来源的类器官构建、培养、传代、冻存、鉴定)、体外药敏检测、相关仪器与试剂产品,以及个性化定制服务的“一站式”解决方案。
联系弘瑞医疗
联系电话:0576-88891168
邮箱:hrkefu@honraymed.com
地址:浙江省台州市椒江区海门街道西太和路155号方远电商创业园A幢3-4楼

