
基于代谢组学技术研究凤冈锌硒茶对正常大鼠机体代谢调节规律
——遵义医科大学张建永副教授

研究背景
凤冈锌硒茶,产自贵州省凤冈县,为典型的富锌富硒茶。有学者测定了凤冈县田坝仙人岭公司的几个茶场中凤冈锌硒茶茶叶锌的含量,锌含量最高为82.84 mg/kg,最低为25.66 mg/kg。近年来针对凤冈锌硒茶的生物活性开展了许多研究,研究发现凤冈锌硒茶能明显增加衰老模型小鼠血清Trx(硫氧化还原蛋白)含量,具有延缓衰老的作用。此外还有降脂、肝损伤保护、抑制肿瘤细胞生长等作用,以上研究多是从疾病模型入手,而茶作为我国的一种常用饮品,多在机体正常时候饮用,通过整体调节发挥效应,然而目前关于凤冈锌硒茶对正常机体的整体代谢调节作用的研究有限。
代谢组学是研究生物体在受到外源性刺激后,其内源性代谢物种类、数量及其变化规律的科学。其整体性的优势和特点,为复杂物质基础的深入研究提供了新的手段,同时还可通过借鉴国际通行的医药标准研究规范来研究生命体的规律,从而去认识疾病的本质以及阐明药品食品等的功效、作用机理等。近年来,许多学者基于代谢组学对茶做出了大量的研究。如刘建等基于1H-NMR的代谢组学技术探讨了普洱茶茶褐素对高脂大鼠的降血脂机制,筛选出缬氨酸等6种标志代谢物,揭示其机制可能与氨基酸代谢、能量代谢等代谢途径有关,而Xiang等基于代谢组学研究发现藤茶可通过Akt信号通路改善2型糖尿病大鼠的葡萄糖和脂质代谢紊乱。
气质联用(Gas Chromatography-Mass Spectrometer,GC-MS)在化学、生物和环境分析中已经得到广泛的应用,因其具有高效、可重复性、高灵敏度和代谢物易鉴定等技术优势,常作为代谢组学研究的可靠平台。因此张建永团队基于GC-MS代谢组学技术筛选出凤冈锌硒茶影响大鼠机体代谢调节的关键代谢物,进一步通过通路富集分析揭示凤冈锌硒茶影响大鼠机体代谢调节的通路,从而初步揭示凤冈锌硒茶影响大鼠机体代谢调节的作用机制。
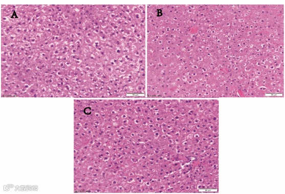
1 肝脏组织形态学变化观察

图1 大鼠肝脏病理形态学(× 400)
Fig 1 Morphological observation of liver pathologyin rats(×400)
注:A对照组;B凤冈锌硒茶低剂量组;C凤冈锌硒茶高剂量组。
2 血浆氧化酶应激状态结果

3 代谢组学分析
3.1 GCMS代谢组学分析

3.2多元统计分析
3.2.1PCA分析

3.2.2 OPLS-DA分析


4 差异代谢物的筛选
表3 大鼠血浆样品GC-MS分析的代谢物鉴定结果
Table 3 The results of metaboliteidentification of GC-MS analysis of rat plasma
保留时间(min) |
代谢物名称 |
匹配度 |
分子量 |
保留指数 |
8.725 |
丙酸 |
91 |
74 |
1115 |
9.083 |
丙氨酸 |
90 |
89 |
1745 |
9.083 |
肌氨酸 |
80 |
89 |
1745 |
10.534 |
糠酸 |
86 |
112 |
1106 |
11.304 |
丁酸 |
91 |
88 |
1109 |
14.088 |
L-亮氨酸 |
90 |
131 |
1125 |
14.845 |
甘氨酸 |
87 |
75 |
1130 |
15.006 |
琥珀酸 |
93 |
118 |
1131 |
16.218 |
丝氨酸 |
90 |
105 |
1140 |
16.821 |
L-苏氨酸 |
91 |
119 |
1145 |
17.02 |
戊二酸 |
87 |
132 |
1146 |
19.593 |
L-脯氨酸 |
97 |
115 |
1173 |
22.897 |
二十烷 |
90 |
282 |
1225 |
25.399 |
十四烷酸 |
97 |
228 |
1292 |
26.194 |
酪氨酸 |
93 |
181 |
1322 |
26.662 |
壬二酸 |
87 |
188 |
1343 |
26.861 |
D-葡萄糖 |
91 |
180 |
1353 |
28.151 |
吡喃葡萄糖 |
91 |
180 |
1433 |
28.151 |
岩藻糖 |
90 |
164 |
1433 |
28.632 |
十六烷酸 |
98 |
256 |
1473 |
29.819 |
肌醇 |
92 |
180 |
1612 |
30.12 |
十七烷酸 |
96 |
270 |
1661 |
31.127 |
9,12-十八碳二烯酸 |
87 |
280 |
1906 |
31.204 |
油酸 |
96 |
282 |
1933 |
31.596 |
硬脂酸 |
98 |
284 |
2095 |

5 代谢通路分析


6 讨论
7 结论
通信作者简介
张建永 副教授
沈阳师范大学粮食学院
遵义医科大学药学院
代表性著作:
[1] Jianyong Zhang, Qihong Chen, Le Wang, Kuan Chen, Wenbi Mu, Cancan Duan, Xiaofei Li. Study on the mechanism of cantharidin-induced hepatotoxicity in rat using serum and liver metabolomics combined with conventional pathology methods[J]. Journal of Applied Toxicology, 2020: 1-13.
[2] Jianyong Zhang, Rixin Liang, Lan Wang, Bin Yang*. Effects and mechanisms of Danshen-Shanzha herb-pair for atherosclerosis treatment using network pharmacology and experimental pharmacology[J]. Journal of Ethnopharmacology, 2019, 229: 104-114.
[3] Jian-Yong Zhang, Qi-Hong Chen, Xian Pei, Rong Yan, Can-Can Duan, Yun Liu, Xiao-Fei Li*. HPLC Fingerprinting and Spectrum-antitumor Effect Relationship for Discrimination between Mylabris phalerata Pallas and Mylabris cichorii Linnaeus[J]. TMR Modern Herbal Medicine, 2018, 1(1): 11-18.

版权声明
本公众号推送文章仅为学术交流使用,‘原创’为原创编译之标记,不表示本平台对文本主张版权。作者团队或单位如需使用编译文本,可联系编辑开放白名单。凡是注明“转载”的稿件,均已注明直接来源,如需使用,请联系版权人。如有侵权,请联系我们,我们会尽快删除。






