富硒乳杆菌(副干酪乳杆菌)中有机硒的分布特征
导 读
2022年8月,岳田利教授团队在国际期刊LWT-Food Science and Technology(Q1,IF: 6.05)发表题为“Distribution characteristics of organic selenium in Se-enriched Lactobacillus (Lactobacillus paracasei)”的研究性论文。论文第一作者为2021级博士孙雨涵,通讯作者为岳田利教授和袁亚宏教授,论文第一单位为西北农林科技大学。
人体内大约含有20 mg的硒,这种非金属的矿物质在化学特性上类似于硫——我们知道,硫主要存在于各种含硫的氨基酸,比如蛋氨酸、半胱氨酸、胱氨酸内——于是硒也可顶替硫存在于其中,这就有了:“硒代蛋氨酸”(主要存在于蔬菜,尤其是菌类蔬菜内)、“硒代半胱氨酸”(主要存在于肉里)和“硒代胱氨酸”——前两者是食物中硒的主要存在形式(有机形式)。硒在人体内主要参与形成某些酶,这些酶大多数都有抗氧化功能,比如谷胱甘肽过氧化物酶、硒蛋白P、硒蛋白R,还有些能激活或抑制甲状腺激素,或者帮助把T4转化为T3(所以极度缺硒也会造成类似于甲减的症状),还有些会控制蛋白质折叠,参与调节细胞信号等等。硒还支持着免疫系统和神经系统的工作——缺硒会造成免疫力和认知能力下降。
乳酸菌(LAB)对有机硒(Se)的积累具有良好的生物安全性和吸收效率。本研究选择了一株富硒的优势副干酪乳杆菌(Lactobacillus Paracasei 20241)来表征细胞表面和细胞内部的硒分布。结果表明,益生菌可将亚硒酸钠转化为零价硒和有机硒。前者被释放到细胞外,后者与细胞成分结合。细胞中有机硒含量为2144.99±123.16 μg/g,占总硒的52.73%。与细胞多糖和核酸相比,蛋白质对硒的结合能力最高,为864.03±26.04 μg/g,表明硒蛋白是有机硒的主要形式。因此,副干酪乳杆菌20241有望作为富硒生物质益生菌的膳食补充剂。
研究亮点
筛选出具有硒生物转化的副干酪乳杆菌20241。
利用副干酪乳杆菌20241将无机硒转化为有机硒。
确定副干酪乳杆菌的硒分布。
图文赏析
图1副干酪乳杆菌的SEM图像和EDS分析。(a)亚硒酸盐0µg/mL条件下菌体生长的SEM图像。(b) 6 µg/mL亚硒酸盐中菌体生长的SEM图像。(c)不含硒副干酪乳杆菌的EDS分析。(d)副干酪乳杆菌与硒颗粒的EDS分析。
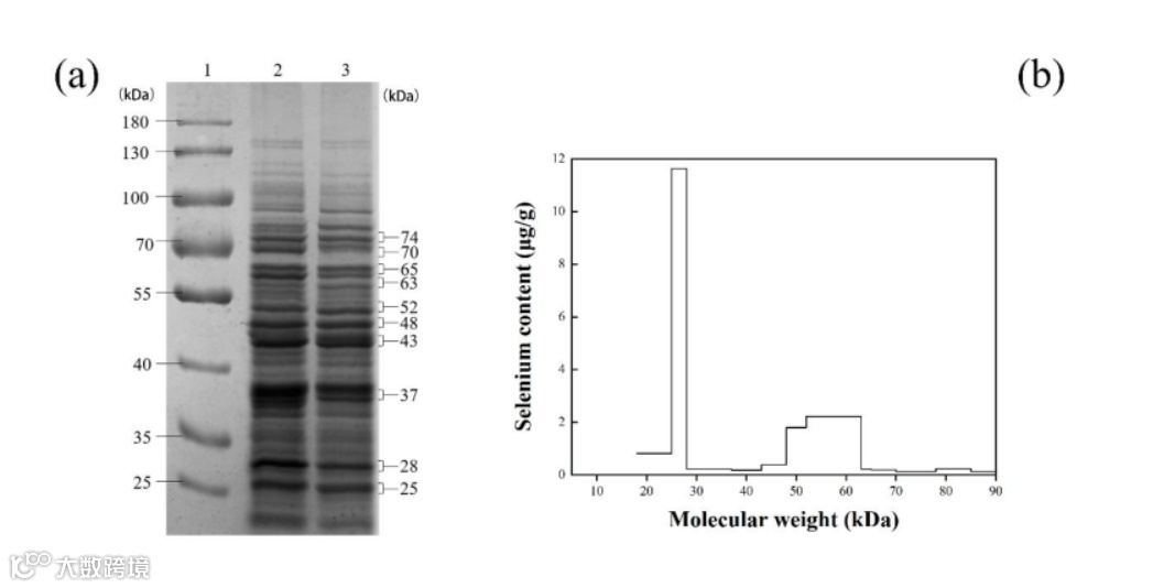
图2 蛋白质硒的分布特征。(a)蛋白的SDS-PAGE。Lane 1,蛋白质标记; Lane 2,对照组蛋白质; lane 3,富硒组蛋白。(b)副干酪乳杆菌蛋白质分子弯曲的硒含量。
袁亚宏
袁亚宏,女,博士,三级教授,博士生导师;国家风险评估岗位科学家,国家有机认证专家组成员,国家农产品质量安全认证专家组成员,美国食品工程协会会员,美国农业部合作研究员,中国农学会农产品加工分会理事,中国微生物协会理事,陕西省农业工程协会理事,国家有机产品认证资格检查员,陕西省认证专家组成员,陕西省质量技术监督局计量与检验检测专业委委员;先后主持科技部国际合作专项、国家973重大专项课题、国家自然基金面上项目、农业部风险评估项目、科技部十三五重大专项子课题、科技部十二五科技支撑项目子课题、农业部“跨越计划”、陕西省重点研发计划等国家、省部级课题30余项,获批专利11项,发表学术论文200余篇,其中SCI/EI收录150余篇,培养博/硕士研究生115名,陕西省第九届青年科技奖获得者(2013年),长期致力于果蔬产品安全控制以及健康功能性食品的功能因子研究、产品开发以及有机产品的认证工作。
岳田利
岳田利,博士,二级教授,博士生导师,现任西北大学食品科学与工程学院院长,西凤酒研究院院长,西北大学冰峰饮品研究院院长,宁夏回族自治区特聘专家,农业农村部苹果综合加工技术集成科研基地主任;2002年获得霍英东青年教师基金,2005年入选教育部新世纪优秀人才计划,2006年入选享受国务院政府特殊津贴专家,2008年入选陕西省“三五”人才,西北农林科技大学首批拔尖人才计划入选者,入选斯坦福大学(2020年、2021年)发布的全球前十万名科学家。曾任西北农林科技大学“双一流”农产品加工与营养健康学科群首席科学家,第六、七届国务院学位委员会食品科学与工程学科评议组成员。兼任国际食物营养与安全协会副理事长,农业部农产品质量安全专家组成员,国家食品药品监督管理总局食品安全专家组成员,中国苹果产业协会副会长,陕西省食品安全专家委员会主任,陕西省人大常委会食品安全立法咨询专家,中国真菌毒素防控科技创新联盟常务理事,陕南生物资源开发与利用联盟学术委员会主任,陕西省柑橘产业科技联盟学术委员会主任,陕西省人民政府食品安全应急管理专家组成员,陕西省食品科学技术学会副理事长,陕西省营养健康食品个性制造工程实验室主任,中国农业工程学会农产品加工及贮藏工程分会常务理事,中国农学会农产品加工分会常务理事,中国食品科学技术学会果蔬加工分会常务理事,国家保健产品审评专家,国家实验室资质认定(CNAS)评审专家。担任《Food Frontiers》共同科学主编,《e-Food》、《International Journal of Agricultural and Biological Engineering》、《农业工程学报》、《食品科学》)等国内外期刊编委。先后主持国家“十一五”科技攻关计划项目、“十二五”科技支撑计划项目、“十三五”国家重点研发计划项目、国家自然科学基金项目等国家级项目10余项,主持省部级重点项目20余项,获得省部级科学技术奖一等奖3项,二等奖2项,霍英东基金奖1项,中国农学会青年科技奖1项。以第一作者或通讯作者在《Science Advances》、《Chemical Engineering Journal》、《Trends in Food Science & Technology》、《Comprehensive Reviews in Food Science and Food Safety》、《Critical Reviews in Food Science & Nutrition》、《Biosensor &Bioelectronics》等国际TOP期刊发表SCI论文365篇;获得国家发明专利30余项。
孙宇涵
孙宇涵,西北农林科技大学健康食品制造与安全控制工程团队2021级博士研究生。
原文链接
https://doi.org/10.1016/j.lwt.2022.113699




版权声明
本公众号推送文章仅为学术交流使用,‘原创’为原创编译之标记,不表示本平台对文本主张版权。作者团队或单位如需使用编译文本,可联系编辑开放白名单。凡是注明“转载”的稿件,均已注明直接来源,如需使用,请联系版权人。如有侵权,请联系我们,我们会尽快删除。







