EI收录,
入选中国科技期刊卓越行动计划
本文获国家自然科学基金(32460009);国家自然科学基金(81960164);广西药品检验研究院国家药监局中药材质量监测与评价重点实验室开放课题(KFKT-2022-7);广西中药质量标准重点实验室开放课题(桂中重开202408)。
本章节重点包括:白耙齿菌提取物(MIL)对2型糖尿病(T2DM)小鼠具有显著的降糖作用,具体表现为改善小鼠体重、饮水量和饮食量,显著降低空腹血糖(FBG)和口服葡萄糖耐量试验(OGTT)曲线下面积(AUC),提高肝脏糖原含量,并改善肾脏功能指标(BUN、SCR)及肾脏病理损伤。此外,MIL通过调节血清中胰岛素(INS)和葡萄糖转运蛋白4(GLUT4)水平,影响PI3K/AKT信号通路相关基因和蛋白表达,表明其降糖机制可能与激活PI3K/AKT通路、促进葡萄糖转运和改善胰岛素抵抗有关。
图 1 MIL对T2DM小鼠灌胃期间体质量(A)、饮水量(B)、饮食量(C)的影响(n=8)
Figure 1. Effects of MIL on body mass (A), water intake (B) and food intake (C) of T2DM mice during gastric perfusion (n=8)
注:NC:正常组,MD:模型组,MF:盐酸二甲双胍组,MILL、MILM、MILH分别表示MIL低、中、高剂量组;与正常组相比,**P<0.01,*P<0.05,与模型组相比,##P<0.01,#P<0.05,图2、图5~图7同。
表 2 实验期间小鼠FBG的变化
Table 2. Changes of FBG in mice during the experiment
注:NC:正常组,MD:模型组,MF:盐酸二甲双胍组,MILL、MILM、MILH分别表示MIL低、中、高剂量组;与正常组相比,**P<0.01,*P<0.05,与模型组相比,##P<0.01,#P<0.05(n=8),表3同。
表 3 MIL对T2DM小鼠葡萄糖耐量的影响
Table 3. Effects of MIL on Glucose Tolerance in T2DM Mice
图 2 MIL 对T2DM小鼠Liver Glycogen(A)、BUN(B)、SCR(C)含量的影响(n=8)
Figure 2. Effects of MIL on the contents of Liver Glycogen(A), BUN(B) and SCR(C) in T2DM mice (n=8)
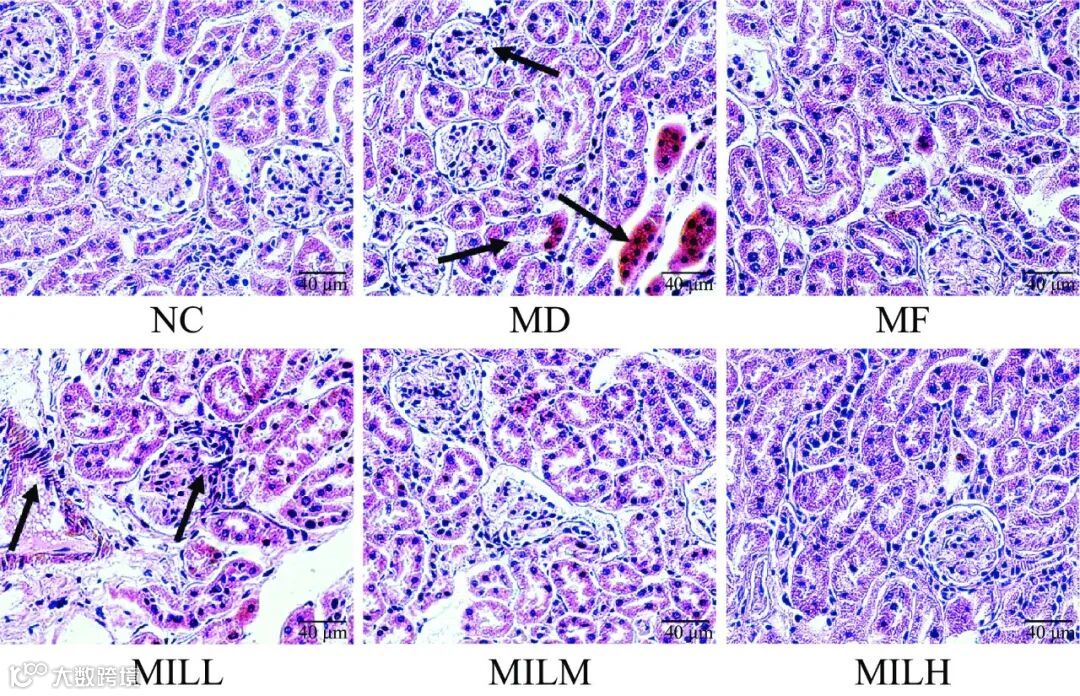
图 3 MIL对T2DM小鼠肾脏的影响(400×)
Figure 3. Effects of MIL on kidneys of T2DM mice (400×)
注:NC:正常组,MD:模型组,MF:盐酸二甲双胍组,MILL、MILM、MILH分别表示MIL低、中、高剂量组。
图 4 MIL治疗T2DM关键作用靶点及通路图
Figure 4. Key targets and pathways of MIL in treating T2DM
注:A:MIL治疗T2DM相关靶点Venn图;B:MIL治疗T2DM靶点网络图;C:GO分析柱状图(BP,CC,MF);D:KEGG信号通路富集分析图;E:MIL治疗T2DM相关靶点-核心通路网络图,橙色圆形为靶点,紫色长方形为核心通路;F:MIL治疗T2DM相关药物-成分-靶点-核心通路网络图,红色六边形图案为药物即MIL,绿色三角形为其主要组分,橙色圆形为靶点,紫色长方形为通路。
图 5 MIL 对T2DM小鼠血清GLUT4(A)、INS(B)含量的影响(n=6)
Figure 5. Effects of MIL on the contents of GLUT4(A) and INS(B) in serum of T2DM mice (n=6)
图 6 MIL对小鼠肝脏组织INS、GLUT4、PI3K、AKT mRNA表达的影响(n=3)
Figure 6. Effects of MIL on the expression of INS, GLUT4, PI3K and AKT mRNA in mouse liver tissue (n=3)
图 7 MIL对T2DM小鼠肝脏组织p-AKT、p-PI3K蛋白表达的影响(n=3)
Figure 7. Effects of MIL on the expression of p-AKT and p-PI3K protein in liver tissue of T2DM mice (n=3)
本章节重点讨论了白耙齿菌提取物(MIL)对2型糖尿病(T2DM)小鼠的降糖作用及其机制。研究发现,MIL能显著降低T2DM小鼠的空腹血糖(FBG),改善葡萄糖耐受能力,增加肝脏糖原含量,并具有肾脏保护作用。机制研究表明,MIL通过上调GLUT4、PI3K和AKT的表达,激活PI3K/AKT信号通路,缓解胰岛素抵抗,从而改善糖代谢紊乱。此外,研究指出后续可进一步探索其他相关通路以全面揭示MIL的作用机制。
本章节指出白耙齿菌提取物可能通过调节PI3K/AKT信号通路,对2型糖尿病小鼠产生降血糖和改善糖代谢紊乱的作用,具有成为防治药物的潜力,并为相关真菌资源开发提供新思路。
引用本文:严静,齐晋,姜明国,等. 白耙齿菌提取物对2型糖尿病小鼠的降糖作用及机制[J]. 食品工业科技,2026,47(2):398−407. doi: 10.13386/j.issn1002-0306.2024120127.
Citation:YAN Jing, QI Jin, JIANG Mingguo, et al. Hypoglycemic Effects and Mechanism of Metabolites of Irpex lacteus on Type 2 Diabetic Mice[J]. Science and Technology of Food Industry, 2026, 47(2): 398−407. (in Chinese with English abstract). doi: 10.13386/j.issn1002-0306.2024120127.
通信作者简介
诚邀莅临

热门话题
查看更多 →
《食品工业科技》特邀主编专栏征稿
群聊:食品工业科技作者群
温
馨
提
示
我刊正式组建微信作者群,为作者提供更多的学术与论文资讯,如需进群,请联系刘老师(微信:上方二维码,电话:87244117-8062)。
版权声明




