图片来源于图司机

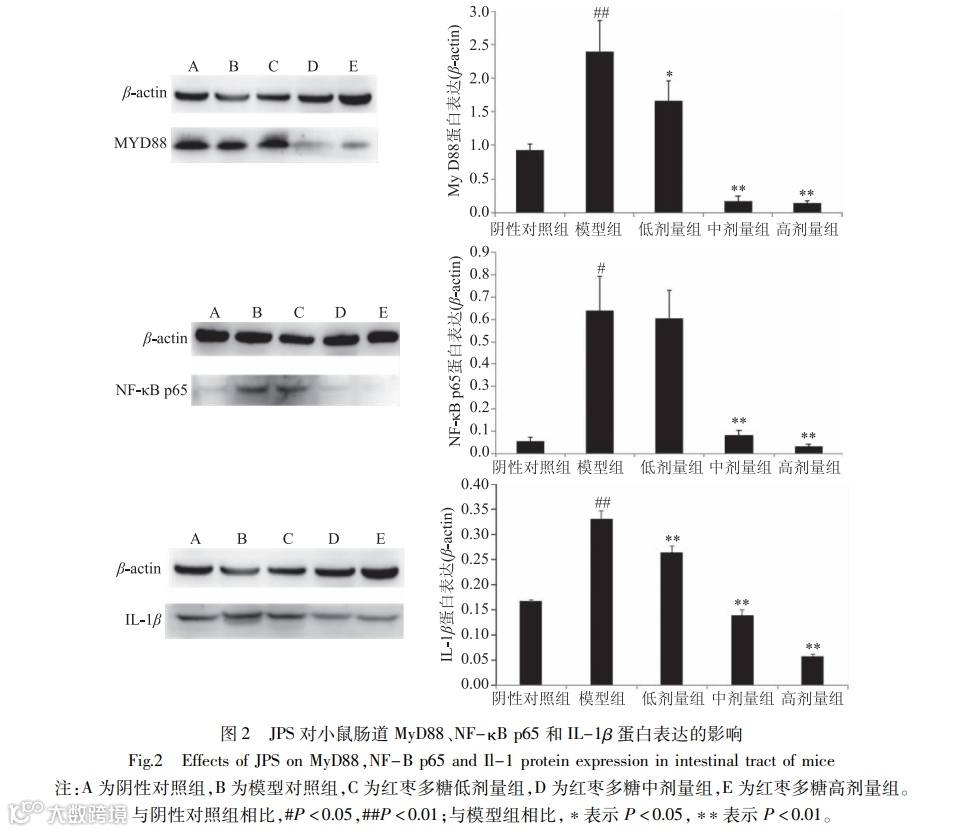
目的:研究红枣多糖(Jujube Polysaccharides,JPS) 对小鼠肠道免疫屏障的保护作用及其机制。方法:将 70 只雄性 ICR小鼠随机分为 5 组: 阴性对照组、模型组、JPS 低(150 mg /kg•bw) 、中(300 mg /kg•bw) 、高(600 mg /kg•bw)剂量组,连续灌胃 28 d,第28 d 采用腹腔注射环磷酰胺造模。研究 JPS 对免疫抑制小鼠免疫器官指数、肠道派伊尔结数量、肠道免疫相关指标、肠道免疫细胞数量和肠道免疫相关蛋白表达的影响。结果:JPS 能够保护小鼠肠黏膜的正常形态结构,增加小鼠免疫器官指数和派伊尔结数量,增加肠道分泌的免疫球蛋白 A 和分泌型免疫球蛋白 A 的含量,增强肠道溶菌酶和酸性磷酸酯酶的活性,增加肠道免疫细胞的数量,下调肠道 MyD88、NF- κB p65、IL-1β 蛋白表达。结论:JPS 对小鼠的肠道免疫屏障具有保护作用,其机制与调节 MyD88 /NF-κB 途径相关蛋白表达有关。
Objective:To study the protective effect of jujube polysaccharides extract on intestinal immune barrier and its mechanism in mice.Methods:70 male ICR mice were randomly divided into 5 groups: negative control group, model group, low (150 mg/kg• BW), medium (300 mg/kg• BW), and high (600 mg/kg• BW) dose group. The mice were gavage continuously for 28 d. To study the effects of JPS on the immune organ index, the number of intestinal Peyer's patches, the intestinal immune-related indicators, the number of intestinal immune cells and the expression of intestinal immune-related proteins in immunosuppressed mice. Results:JPS can protect the normal morphological structure of the intestinal mucosa of mice, increase the index of immune organs and the number of Peyer's knots in mice, increase the content of IgA and SIgA secreted by the intestine, and enhance intestinal lysozyme and acid phosphatase activity, increases the number of intestinal immune cells and down-regulates the expression of MyD88, NF-κB p65, and IL-1β proteins. Conclusion:Jujube polysaccharide extract has a protective effect on the intestinal immune barrier of immunosuppressed mice, and its mechanism is related to the regulation of MyD88/NF-B pathway related protein expression.
本试验通过建立环磷酰胺所致肠道黏膜损伤小鼠的模型,研究 JPS对其肠道免疫屏障的保护作用。结果表示JPS能够缓解环磷酰胺对小鼠肠道造成的损伤,维持其正常的的肠道形态结构,保护肠道屏障;通过增加肠道PP结的数量,增强肠道 SIgA、IgA的分泌以及溶菌酶和酸性磷酸酶的活性,增加肠道免疫细胞的数量,来增强机体肠道免疫屏障。机制可能与下调肠道黏膜损伤小鼠肠细胞 My-D88、NF-kB p65和 IL-1β蛋白的表达,抑制 NF-kB 通路的激活,降低炎症因子的分泌有关。






详细内容请点击文末“阅读原文”。
食品科学家论文汇总
(点击专家姓名,查看论文)
《食品工业科技》特邀主编专栏征稿
《食品工业科技》青年编委专栏征稿:AI for Food Industry:人工智能在食品工业中的应用 ☚
《食品工业科技》青年编委专栏征稿:组学分析技术在食品品质研究中的应用 ☚
群聊:食品工业科技作者群

温
馨
提
示
我刊正式组建微信作者群,为作者提供更多的学术与论文资讯,如需进群,请联系刘老师(微信:上方二维码,电话:87244117-8062)。

版权声明






