导读
2023年5月,浙江工商大学周建武副教授课题组在国家综合性科技期刊《食品工业科技》发表题为《葛根蛋白分离鉴定及其自组装纳米颗粒性质研究》的论文。浙江工商大学周建武副教授为通讯作者,福建医科大学林岱讲师为第一作者。论文得到了福建医科大学高层次人才科研启动经费(XRCZX2018013)、福建医科大学启航基金项目(2019QH1001)、福建省自然科学基金面上项目(2021J01724)的资助。
图片来源于图司机
本论文采用阴离子交换色谱High Q纯化获得葛根蛋白,通过SDS-PAGE和蛋白质N端测序方法鉴定蛋白的分子量和氨基酸序列。采用激光粒度分析仪对蛋白纳米颗粒的粒径、光散射强度和Zeta电位进行研究,采用高效液相色谱法测定纳米载体对药物的装载效率。
实验方法

文章亮点
1
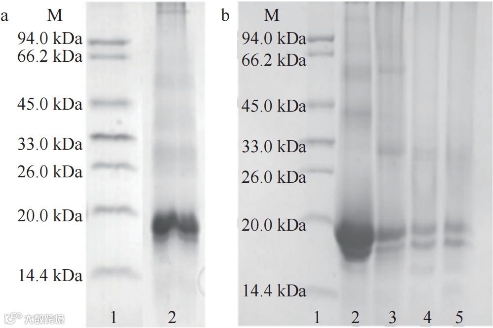
葛根蛋白分离与纯化
图1 葛根蛋白电泳图
注:(a)冷抽提电泳图:1. 标样,2. 冷抽提液;(b)乙醇沉降电泳
图:1. 标样,2. 20%,3. 40%,4. 60%,5. 80%。
SDS-PAGE的结果显示葛根粗提液含有多种水溶性蛋白组分,蛋白质分子量分布范围在10~100kDa之间,其中含量最高的两个主要蛋白质分子量分别约18与20kDa。从葛根中抽提并分离纯化获得一种主要的水溶性蛋白,命名为PP。
2
葛根蛋白鉴定
图2 葛根蛋白纯化结果
表1 葛根蛋白分子量及N端氨基酸序列比对
对PP进行N末端氨基酸序列测定,获得了19个氨基酸序列。通过NCBI蛋白数据库的检索,发现PP与大豆Kunitz型胰蛋白酶抑制剂STI的N端序列具有高度同源性,但在第4、6、7、10、11个氨基酸位点有所不同。
3
胰蛋白酶抑制活性测定
图3 葛根蛋白对胰蛋白酶活性的抑制作用
注:*表示与最大抑制活性比较,差异有统计学意义(P<0.05)。
结果表明PP为一类尚未报道的胰蛋白酶抑制剂,其在pH2~10环境中具有较好稳定性,在20~50 ℃温度范围内具有稳定性,但更高温度会造成失活,这些特性与大豆Kunitz型胰蛋白酶抑制剂较为相似。
4
热诱导葛根蛋白纳米颗粒的构建与形态表征
图4 pH、加热时间、加热温度对葛根蛋白纳米颗粒组装的影响
图5 PP-NPs透射电子显微镜图
结果表明,形成葛根蛋白纳米颗粒(PP-NPs)最佳条件为:PP浓度0.1mg/mL、pH6.0、温度100 ℃,加热60min。此条件下形成的PP-NPs粒径为172.78nm,颗粒大小呈正态分布,Zeta电位值为−25.40mV,表明体系较稳定且颗粒表面带有大量负电荷,透射电子显微镜结果显示PP-NPs为规则的圆形且大小均匀。
5
纳米颗粒包埋实验
表2 葛根蛋白纳米颗粒装载效果
注:*表示与PP-NPs组比较,差异有统计学意义(P<0.05)。
包埋实验结果表明PP-NPs对疏水性的葛根素及(热)水溶性的小檗碱均具有装载能力,装载率分别为33.83%与24.61%。
总结展望
本研究通过分离纯化获得一种尚未被报导的葛根胰蛋白酶抑制剂PP,经鉴定,PP的N端氨基酸序列与胰蛋白酶抑制剂具有高度同源性,且表现出明显的胰蛋白酶抑制活性,在pH2~10的环境中具有较好稳定性,在20~50℃温度范围内具有稳定性。该胰蛋白酶抑制剂具有热诱导自组装为蛋白纳米颗粒的能力。该葛根蛋白在加热过程中自组装形成纳米颗粒的研究,不仅为开发天然蛋白质纳米载体提供了新的研究素材,还可以从一个新的角度认识加热过程中分子间相互作用及其对药效的影响。
通讯作者简介

周建武,男,博士,教授。目前就职于福建技术师范学院食品与生物工程学院。研究方向为食品及其它天然来源的蛋白质及其微纳米构造,如甘草中蛋白的分离、结构测定和活性测定,甘草蛋白纳米颗粒的合成和细胞活性分析,茶汤和咖啡中微纳米颗粒对消化道黏膜相关细胞的作用等。曾主持或参与十三五项目子课题、国家“973计划”课题、国家自然科学基金面上项目、省“新药创制”重大项目、省重点研发项目、省自然科学基金等省部级以上科研项目10项,主持完成校企合作项目3项,发表相关研究论文70余篇,其中SCI/EI收录20余篇。
详细内容,请点击文末“阅读原文”。
食品科学家论文汇总
(点击专家姓名,查看论文)
《食品工业科技》特邀主编专栏征稿
《食品工业科技》青年编委专栏征稿:组学分析技术在食品品质研究中的应用 ☚
《食品工业科技》青年编委专栏征稿:生物大分子:形式、结构、特性 ☚
群聊:食品工业科技作者群

温
馨
提
示
我刊正式组建微信作者群,为作者提供更多的学术与论文资讯,如需进群,请联系刘老师(微信:上方二维码,电话:87244117-8062)。

版权声明






