
——河北农业大学食品科技学院
研究背景
肠道,作为最大的身体黏膜层,暴露在大量的外来物质中,是人体的一道天然屏障,分为物理屏障、化学屏障、免疫屏障和生物屏障,可以防止食物中的有毒有害物质进入血液。肠道屏障一旦被破坏会导致大量的细菌和内毒素经门静脉和淋巴系统侵入机体循环,引起肠源性脓毒血症和内毒血症,不仅加重原发疾病,甚至会诱发全身严重反应和多器官功能障碍综合征,进而危及生命。因此,研究红枣多糖对肠黏膜受损小鼠肠道屏障的保护作用,对于进一步挖掘红枣的营养功能、开发相关功能性产品、解决我国红枣高产低值问题具有重要意义。
赵文团队重点研究红枣多糖对小鼠肠道免疫屏障的保护作用及机制,首先建立肠道粘膜受损小鼠模型,然后观察肠道病理切片中肠道的形态结构,其次根据肠道免疫相关指标和肠道蛋白表达情况来评价JPS对肠道免疫屏障的保护作用及作用机制,以期进一步挖掘枣的药食两用功能,促进中国枣产业的发展,推动相关产品创新开发。
1 红枣多糖对小鼠肠道形态结构的影响
小鼠十二指肠、空城、回肠的形态变化如图1所示。由图1可以看出,各肠段阴性对照组小肠绒毛整齐排列,纤长,绒毛之间的间隙较小。与阴性对照组相比,模型组各肠段小肠绒毛形状不规则,绒毛长度低于阴性对照组,此外,小肠绒毛排列松散,绒毛之间的间隙增大,一些绒毛甚至断裂和脱落,表明模型造模成功。与模型组比,JPS低剂量组改善不明显;中、高剂量组绒毛形态改善较大,绒毛长且排列紧密,绒毛断裂、脱落的现象减轻,绒毛间隙变小。因此,环磷酰胺对小鼠肠道的绒毛形态具有破坏作用,而JPS可以改善环磷酰胺对小肠绒毛结构的损伤,保护肠道屏障,此结果与李学敏等人的研究一致。

2 红枣多糖对小鼠免疫器官指数的影响

3 红枣多糖对小鼠肠道PP结的影响
派伊尔结又称派尔集合淋巴结,是肠黏膜免疫系统的重要组成部分。PP结的大小、数量可以反应肠道黏膜免疫的状态。表2表明了小鼠肠道PP结的数量变化。可知与阴性对照组相比,模型组中PP结的个数显著减少(P<0.05),与周华等研究环磷酰胺对小鼠Peyer’s结和肠道粘膜相关淋巴细胞的影响结果一致。与模型组相比,JPS各剂量组的肠道PP结数量明显增加,其中JPS低剂量组显著增加(P<0.05),中、高剂量组极显著增加(P<0.01)。研究结果表明JPS可改善环磷酰胺导致的肠道粘膜免疫功能损伤的情况,增加肠道PP结的数量,增强肠道免疫功能。

4 红枣多糖对小鼠肠道免疫指标的影响
由表3可知,与阴性对照组比较,模型组小鼠肠粘膜SIgA、IgA分泌不同程度的下降,差异极显著(P<0.01),说明环磷酰胺可明显损害肠道上皮细胞分泌抗菌物质,此实验造模是成功的;与模型组相比,JPS低剂量组SIgA含量显著增加(P<0.05),IgA含量无显著性变化,中剂量组的SIgA和IgA含量显著增加(P<0.05),高剂量组的SIgA和IgA含量极显著增加(P<0.01),且呈现剂量和依赖关系,表明JPS对SIgA和IgA的分泌有显著的改善的作用。与阴性对照组相比,模型组的溶菌酶和酸性磷酸酶的酶活性均显著降低(P<0.05);与模型组相比,JPS组低剂量组的溶菌酶和酸性磷酸酶的活性没有显著性的变化(P>0.05)。而JPS中、高剂量组的溶菌酶和酸性磷酸酶的酶活均显著增加(P<0.05)。
SIgA是由肠黏膜固有层浆细胞分泌的免疫球蛋白,是肠道免疫屏障的主要效应因子,在肠道黏膜表面起到重要的免疫保护作用,能够增强肠道的免疫功能。IgA是黏膜免疫的主要抗体,是维持肠道黏膜稳态的重要物质。本研究结果说明JPS可以加快小鼠中肠黏膜SIgA的分泌量的速度,在一定程度上拮抗环磷酰胺对肠道SIgA的分泌抑制作用。
溶菌酶由巨噬细胞分泌,其能够改善增强巨噬细胞的吞噬功能,结合细菌脂多糖,减轻内毒素作用,进而增强机体的抵抗力,还有抗菌、抗炎和抗病毒的作用。酸性磷酸酶是溶酶体的标志酶,而溶酶体大量存在于巨噬细胞中,因此,酸性磷酸酶水平反映了巨噬细胞的激活程度。本试验研究结果类似与黄秀芳等人的研究,表明红枣多糖能够通过提高肠道的溶菌酶和酸性磷酸酶的活力来增强肠道的免疫功能,进而保护肠道免疫屏障免受环磷酰胺对其造成的损伤。

5 红枣多糖对小鼠肠道免疫细胞的影响
上皮内淋巴细胞是存在于小肠粘膜上皮的一类独特的淋巴细胞群,在肠道免疫过程中最先与抗原接触,发挥免疫屏障作用,可反映肠黏膜免疫屏障的完整性及免疫防御功能的完善程度。由表4可知,与阴性对照组相比,模型组中十二指肠、空肠和回肠中的上皮内淋巴细胞的数量极显著下降(P<0.01);与模型组相比,JPS中剂量组的十二指肠、空肠中上皮内淋巴细胞显著增加(P<0.05),而回肠中极显著增加(P<0.01)。JPS高剂量组中十二指肠的上皮内淋巴细胞显著增加(P<0.05),而空肠和回肠中极显著增加(P<0.01)。研究结果表明,JPS能促进肠道内上皮内淋巴细胞的增殖,在一定程度上缓解环磷酰胺对小鼠肠道造成的粘膜免疫损伤,此结果与廖吕燕的研究类似。同时还发现肠道上皮内淋巴细胞的数量从十二指肠到回肠逐渐减小,有可能是因为不同肠段接触不同种类和数量的病原微生物及抗原有关,这一变化特点与有关报道一致。
杯状细胞分布于肠绒毛柱状细胞之间,是一种分泌高度糖基化黏蛋白的细胞,通过有效隔离宿主上皮细胞、免疫细胞与肠道微生物接触,抑制肠道过度炎症反应,进而维持肠道免疫屏障稳态。由表5可知,杯状细胞从十二指肠到回肠其数量呈逐渐增加趋势。与阴性对照组相比,模型组中十二指肠、空肠和回肠的杯状细胞的数量极显著下降(P<0.01);与模型组相比,JPS中剂量组十二指肠和空肠中杯状细胞的数量极显著增加(P<0.01),回肠中杯状细胞数量显著增加(P<0.05)。高剂量组中十二指肠、空肠和回肠中杯状细胞的数量分别极显著增加(P<0.01)。研究结果表明,JPS能够促进肠道中杯状细胞的增殖,调节环磷酰胺所导致小鼠肠道免疫细胞下降的趋势,增加小鼠肠道免疫细胞的数量。同时发现,肠道杯状细胞的数量从十二指肠到回肠逐渐增加,这与文献报道的一致,可能因为回肠作为小肠、大肠的交界,更容易受到微生物的侵害,免疫屏障较弱,所以回肠的杯状细胞数量较多。


6 红枣多糖对小鼠肠道蛋白表达的影响
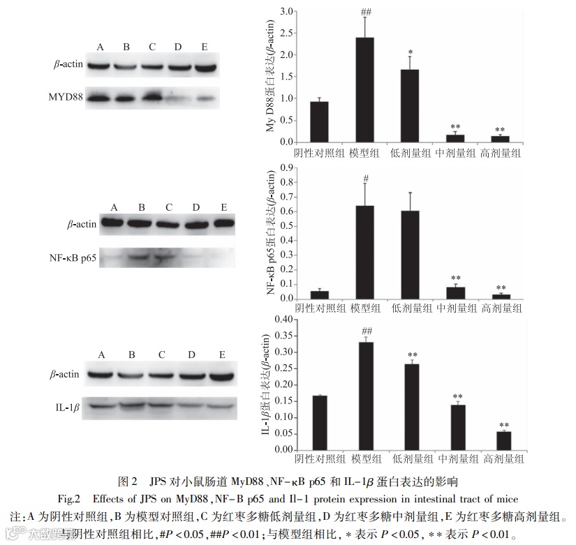
图2显示了JPS对小鼠肠道中MyD88、NF-κB p65和IL-1β蛋白的表达情况。由图2可知与阴性对照组相比,模型组极显著上调MyD88和IL-1β蛋白的表达(P<0.01),显著上调NF-κB p65蛋白的表达(P<0.05);与模型组比,JPS低剂量组显著下调MyD88蛋白的表达(P<0.05),极显著下调IL-1β蛋白的表达(P<0.01),对NF-κB p65蛋白的表达无显著性影响(P>0.05),JPS中、高剂量组均极显著下调MyD88、NF-κB p65、IL-1β蛋白的表达(P<0.01)。
MyD88是TLRs信号通路的关键接头分子,在启动核转录因子NF-κB依赖的信号级联反应中发挥着重要的作用。NF-κB作为重要的转录调节因子,广泛参与炎性介质和前炎性介质的调控,在机体的先天性免疫应答和获得性免疫应答中起着关键作用,调节多种炎症因子和免疫效应蛋白的表达,而NF-κB p65蛋白是启动NF-κB途径的关键蛋白。研究表明,黄芩苷可通过对NF-κB信号通路的调控,从而减少炎性因子(IL-1β,TNF-α)的分泌,发挥抗炎作用,保护免疫屏障。中药单体盐酸小檗碱可通过降低UC小鼠体内的TNF-α、IL-1β水平,升高IL-10表达水平来改善UC小鼠的结肠炎症,减少肠壁通透性。而本试验结果表明红枣多糖通过下调MyD88、NF-κB p65的表达,导致少量的NF-κB释放,少部分的从胞浆转运至细胞核,从而调控淋巴细胞中炎性因子的合成和释放,抑制IL-1β的分泌,进而提高肠道免疫功能,保护肠道屏障。

7 结论
本试验通过建立环磷酰胺所致肠道黏膜损伤小鼠的模型,研究JPS对其肠道免疫屏障的保护作用。结果表示JPS能够缓解环磷酰胺对小鼠肠道造成的损伤,维持其正常的的肠道形态结构,保护肠道屏障;通过增加肠道PP结的数量,增强肠道SIgA、IgA的分泌以及溶菌酶和酸性磷酸酶的活性,增加肠道免疫细胞的数量,来增强机体肠道免疫屏障。机制可能与下调肠道黏膜损伤小鼠肠细胞MyD88、NF-κB p65和IL-1β蛋白的表达,抑制NF-κB通路的激活,降低炎症因子的分泌有关。
作者简介
赵文
教授
赵文,河北农业大学食品科学与工程学科“食品营养与健康”创新团队PI,教授,博士生导师。国家注册营养师。河北省营养学会、河北省食品学会、河北省实验动物学会理事,保定市营养学会副理事长,河北省食品安全地方标准审评委员会委员,国家自然科学基金评审专家。1998年河北省“双十双百双千人才工程”第三层次人选。河北省现代农业产业技术体系岗位专家。主持/主研国家十三五科技支撑计划、国家自然科学基金、国家公益行业专项、河北省科技计划重点项目、河北省重点研发计划项目等15项课题的研究工作,主持横向研究课题6项。获河北省科技进步奖6项(3项排名第1),保定市科技进步一等奖3项(1项排名第1)。以第一作者/通讯作者发表学术论文100余篇,其中SCI、EI收录18篇;授权国家发明专利3项;主编/副主编规划教材4部;指导研究生59人,其中博士生3人。




版权声明
本公众号推送文章仅为学术交流使用,‘原创’为原创编译之标记,不表示本平台对文本主张版权。作者团队或单位如需使用编译文本,可联系编辑开放白名单。凡是注明“转载”的稿件,均已注明直接来源,如需使用,请联系版权人。如有侵权,请联系我们,我们会尽快删除。








