
吴淑慧 硕士研究生
赵 玲 副教授
研究背景
高尿酸血症(Hyperuricemia,HUA)是体内尿酸生成增加或尿酸排泄减少而导致尿酸水平高于正常值的一种代谢性疾病。高尿酸血症不仅是引发痛风的关键生化指标,还与糖尿病、高血压、慢性肾病、冠心病等疾病密切相关。尿酸是黄嘌呤和次黄嘌呤在黄嘌呤氧化酶(XOD)的参与下代谢的最终产物,而在尿酸的排泄过程中,超过70%的尿酸会通过肾脏排泄,黄嘌呤氧化酶异常上调导致嘌呤代谢受阻和尿酸生成增多。目前临床西药治疗高尿酸血症药物主要有抑制尿酸生成药、促进尿酸排泄药和促进尿酸溶解药三类,其中一线治疗药物别嘌呤醇为黄嘌呤氧化酶抑制剂,通过抑制尿酸生成而达到降尿酸的目的,但临床上只有不到一半患者可以控制其尿酸水平,且别嘌呤醇的不良反应与HLA-B*5801等位基因阳性率有相关性,有国际组织报道华人对HLA-B*5801的携带率较高,因而限制了别嘌呤醇的使用;促进尿酸排泄药物苯溴马隆是通过抑制肾小管对尿酸的重吸收,从而降低血中尿酸浓度,临床用药发现苯溴马隆长期服用会造成肝肾损伤,因而寻找到一种副作用小且可安全使用的天然药物具有重大意义。
藤茶为显齿蛇葡萄(Ampelopsis grossedentata(Hand-Mazz)W.T.Wang)的嫩茎叶,始载于《茶经》,是葡萄科蛇葡萄属多年生木质藤本植物,主要分布于我国湖南、湖北、云南、贵州、广东、广西、福建等长江以南各省。藤茶即可入药也可食用,民间用其嫩茎叶入茶已有数百年的历史。据《中草药汇编》等文献记载,藤茶入药有清热解毒的功效,可治疗感冒风热、咽喉肿痛等。现代研究表明,藤茶及其提取物具有抗炎、抗菌、抗氧化、降血糖、降血脂、降压等多种药理活性。赵玲团队使用藤茶提取物灌胃氧嗪酸钾诱导的高尿酸血症小鼠模型,对藤茶提取物降尿酸作用进行研究,评价藤茶提取物的降尿酸水平及对肝脏和肾脏组织的影响,为开发藤茶降尿酸作用提供实验依据。
1 小鼠体质量相对变化率情况
图1显示,各组小鼠在实验期间,体重相对变化率情况总体呈增长趋势,但与正常组相比,各组间均无统计学差异(P>0.05),说明别嘌呤醇和藤茶提取物对小鼠生长无明显影响。

2 小鼠肝肾系数
藤茶提取物对高尿酸血症小鼠脏器系数的影响见表1。与正常组比较,模型组小鼠的肝脏、肾脏系数均有所上升,肝脏系数和肾脏系数具有显著水平(P<0.05)。与模型组相比,别嘌呤醇组肝脏系数和肾脏系数显著降低(P<0.05),藤茶提取物组肝脏、肾脏系数均有所降低,其中200和400 mg/kg藤茶提取物组肾脏指数有显著性差异(P<0.05)。说明藤茶提取物有降低高尿酸血症小鼠肝脏、肾脏指数的作用。

3 对高尿酸血症小鼠血清尿酸(UA)的影响
与正常组相比,模型组组血清尿酸值极显著增加40.3%(P<0.01);与模型组相比,灌胃200和400 mg/kg藤茶提取物后,小鼠血清尿酸值分别降低22.65%(P<0.05)和29.15%(P<0.01),别嘌呤醇组血清尿酸水平显著降低69.15%(P<0.01),灌胃100 mg/kg藤茶提取物有降低小鼠血清尿酸值但无统计学差异,可能是因为100 mg/kg藤茶提取物的血药浓度达不到降低血尿酸的作用,见图2。综上,灌胃不同剂量藤茶提取物对高尿酸血症小鼠的降尿酸作用明显差异,200和400 mg/kg藤茶提取物有良好降尿酸效果。

4 对高尿酸血症小鼠血清肌酐(CRE)和尿素氮(BUN)的影响
血清肌酐和尿素氮均通过肾脏进行代谢,临床上常用来评估肾脏损伤程度。藤茶提取物对高尿酸血症小鼠血清肌酐和尿素氮含量的影响见图3。与正常组相比,模型组肌酐和尿素氮水平显著升高(P<0.01);与模型组相比,灌胃100和200 mg/kg藤茶提取物降低肌酐水平(P<0.05),200 mg/kg藤茶提取物显著降低尿素氮水平(P<0.01),400 mg/kg藤茶提取物显著降低肌酐和尿素氮水平(P<0.01);与模型组相比,别嘌呤醇组显著降低尿素氮水平(P<0.01),肌酐水平有降低,但无显著差别。

5 对高尿酸血症小鼠血清谷草转氨酶(AST)和谷丙转氨酶(ALT)含量的影响
AST和ALT为临床上诊断肝脏受损程度指标,肝细胞膜通透性增加或肝细胞坏死均可导致ALT和AST水平升高。藤茶提取物对高尿酸血症小鼠血清 AST 和 AST含量的影响见图4。与正常组相比,模型组小鼠血清AST、ALT含量极显著升高(P<0.01);与模型组相比,灌胃100和200 mg/kg藤茶提取物可显著降低AST含量(P<0.05),400 mg/kg藤茶提取物可极显著降低AST含量(P<0.01);灌胃100 mg/kg藤茶提取物可显著降低ALT含量(P<0.05),200和400 mg/kg藤茶提取物可极显著降低ALT含量(P<0.01);别嘌呤醇组可降低AST、ALT含量(P<0.05)。说明藤茶提取物可降低AST、ALT含量,且具有剂量依赖性。

6 对小鼠肝脏组织XOD活性的影响
图5表明,与正常组相比,模型组小鼠肝脏组织中XOD活性极显著升高(P<0.01);与模型组相比,别嘌呤醇给药组小鼠肝脏XOD活性极显著降低(P<0.01);灌胃200 mg/kg藤茶提取物可显著降低高尿酸血症小鼠肝脏组织XOD活性(P<0.05),灌胃400 mg/kg藤茶提取物可极显著降低高尿酸血症小鼠肝脏组织XOD活性(P<0.01)。说明藤茶提取物可以降低高尿酸血症小鼠肝脏组织XOD活性。

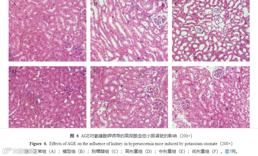
7 小鼠肾组织病理变化
如图6可见,正常组小鼠肾小管细胞整体排列紧密,形态正常且饱满,肾小球结构清楚;模型组小鼠肾小球数量未见明显差异,肾小管上皮细胞空泡变形,轻度炎症浸润;与模型组相比,别嘌呤醇组小鼠肾小管官腔扩张明显,肾小球萎缩变形,炎症细胞浸润;藤茶提取物各剂量组小鼠肾小管形态与模型组相比轻微改善。

8 小鼠肝组织病理变化
由图7所示,各组肝细胞形态正常,与空白组相比,模型组小鼠肝细胞伴随轻度水肿;与模型组相比,别嘌呤醇组小鼠肝细胞伴随轻度水肿和轻微炎症细胞浸润;藤茶提取物各剂量组小鼠肝细胞无坏死且正常。

结论
近年来,由于生活方式和饮食结构的改变,高尿酸血症已成为威胁现代人健康的常见疾病。有研究表明高尿酸血症患者的患病率逐年升高,而长期的血尿酸水平过高,不仅引起痛风、肾脏病变和代谢性疾病,患者的AST、ALT等指标水平也高于正常人,其原因可能是尿酸水平通过引起胰岛素抵抗而致代谢性疾病。黄嘌呤氧化酶广泛存在于哺乳动物肝脏中,是嘌呤代谢过程中的关键酶,在尿酸调控过程中发挥重要作用,尿酸是由黄嘌呤氧化酶氧化次黄嘌呤所产生的,再经由肾小管排出体外。氧嗪酸钾为一种尿酸酶抑制剂,可特异性阻止尿酸降解,从而升高血清尿酸水平。本实验选用氧嗪酸钾诱导高尿酸血症小鼠模型,模型组血尿酸值与正常组相比升高40.3%,表明造模成功。
实验结果显示,与模型相比,藤茶提取物各剂量组对高尿酸血症小鼠的血尿酸含量有明显的降低作用,且不同浓度藤茶提取物的降尿酸效果表现为:400>200>100 mg/kg藤茶提取物。血清肌酐和尿素氮用来反映肾功能情况,谷丙转氨酶和谷草转氨酶则可反映肝功能情况,与正常组相比,模型组血清CRE、BUN、AST、ALT和肝脏XOD含量极显著升高(P<0.01),肝肾系数上升,说明持续的高尿酸水平可能对肾功能和肝功能产生损伤;与模型组相比,藤茶提取物能明显降低血清CRE、BUN、AST、ALT和肝脏XOD水平,同时肝肾系数下降,表明藤茶提取物对肝脏和肾脏有保护作用。藤茶提取物给药组能够降低血清尿酸水平可能是通过降低XOD含量,从而减少尿酸生成或促进尿酸排泄,进而达到降尿酸的效果。病理组织学形态检查发现,别嘌呤醇组的肾组织细胞有明显空泡变化,肝脏细胞有轻微水肿和炎症浸润,而藤茶提取物给药组对肝肾组织损伤明显小于别嘌呤醇,说明藤茶提取物给药组能够有效改善因高尿酸血症而导致的肝肾功能损伤。
综上,藤茶提取物能够明显降低氧嗪酸钾诱导的高尿酸血症小鼠血尿酸水平,且作用与剂量有正相关趋势。其机制可能是通过降低小鼠肝脏XOD活性,从而降低血清尿酸水平,同时对肝肾组织有明显保护作用,但其具体作用机制还需要进一步研究探索,为开发藤茶降尿酸作用提供实验依据。

第五届食品科技创新论坛
邀请函
为推动我国食品科技及产业的发展,助力政产学研融,为科技工作者及企业实践者提供学术及应用交流平台,第五届食品科技创新论坛将于2022年7月26日-27日在南京召开,诚挚邀请您莅临指导,共同推进食品产业的发展及进步。
日程安排:

17746598288
(微信同号)




版权声明
本公众号推送文章仅为学术交流使用,‘原创’为原创编译之标记,不表示本平台对文本主张版权。作者团队或单位如需使用编译文本,可联系编辑开放白名单。凡是注明“转载”的稿件,均已注明直接来源,如需使用,请联系版权人。如有侵权,请联系我们,我们会尽快删除。







