南昌大学食品科学与技术国家重点实验室、南昌大学中德联合研究院、江西草珊瑚药业有限公司的彭玲玲,任中月,陶飞越,陈淑芳,吴志华,熊佐如,万翠香等人研究了植物乳杆菌1201对DSS诱导结肠炎的缓解作用以及其可能的作用机制。
主要讨论了植物乳杆菌1201对DSS诱导结肠炎的缓解作用以及其对肠道菌群的影响。实验结果表明,与ND组相比,MD组小鼠DSS处理5天后体重高度显著下降,而1201组小鼠处理10天后体重降低趋势有所缓解。
此外,DSS处理后,MD小鼠的结肠炎评分高度显著增加,而与MD组比较,1201组处理8天后结肠炎评分显著降低。
通过结肠组织H&E染色可知,与ND组相比,MD组小鼠的结肠粘膜和隐窝明显受损,出现大量炎性细胞浸润,然而,补充植物乳杆菌1201后,小鼠结肠粘膜缺损减轻,炎性细胞减少。
此外,实验还检测了结肠炎性细胞因子和NF-B信号通路的mRNA表达水平,植物乳杆菌1201干预后,降低了促炎因子的mRNA表达水平,增加了TGF-1的表达水平。
综上,植物乳杆菌1201可以缓解结肠炎症状,同时通过调节肠道菌群来调节L-岩藻糖的产生和-Tocopherol的消耗,以达到缓解结肠炎的目的。

图 1 植物乳杆菌 1201 对 DSS 诱导的结肠炎小鼠炎症症状的缓解和肠道屏障破坏的修护
Fig.1 Relief of inflammatory symptoms and repair of intestinal barrier damage in mice with DSS-induced colitis by Lactobacillus plantarum 1201
注:(A)小鼠体重变化;(B)小鼠结肠炎评分;(C)小鼠结肠 HE 染色(200×);(D)紧密连接蛋白相关基因 mRNA 表达水平;(E)粪便白蛋白含量;(F)炎症相关基因 mRNA 表达水平;注:n≥4;与 MD 组比较,*P<0.05、**P<0.01、***P<0.001;与 ND 组比较,#P<0.05;##P<0.01;### P<0.001。图 2、图 5 同。

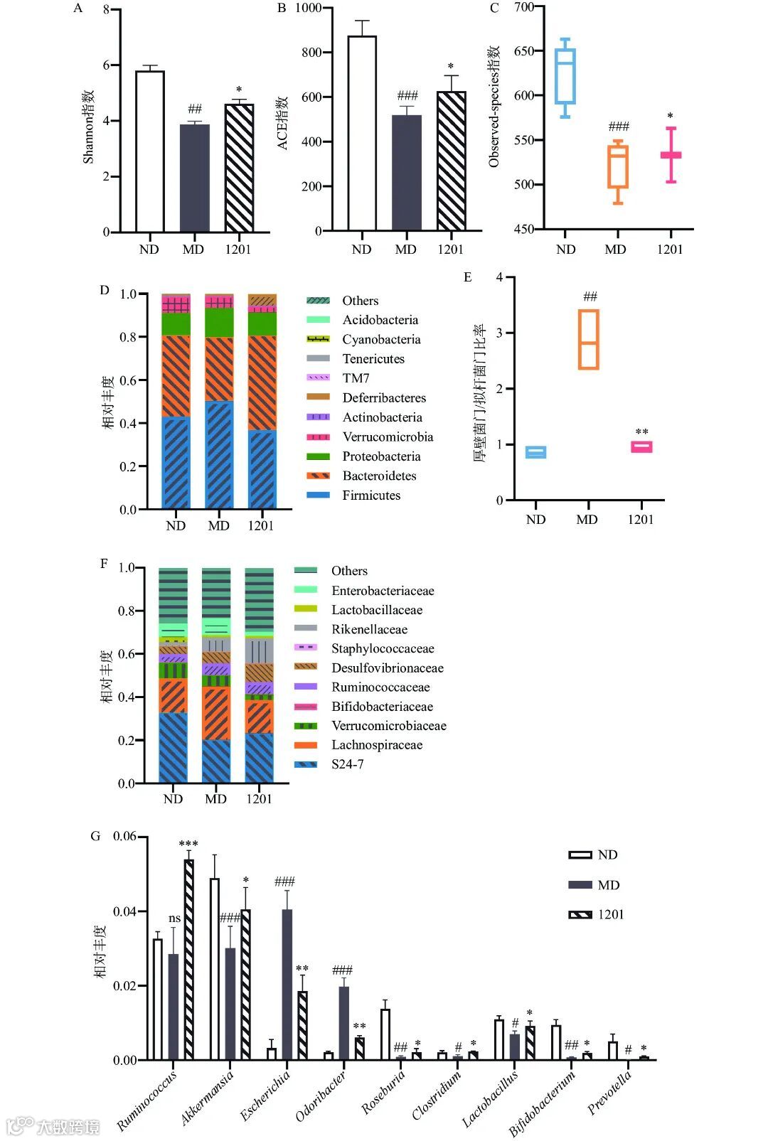
图 2 植物乳杆菌 1201 对 DSS 诱导结肠炎小鼠肠道菌群的影响
Fig.2 The effect of Lactobacillus plantarum 1201 on intestinal flora in mice with DSS induced colitis
注:(A)Shannon 指数;(B)ACE 指数;(C)Observed-species 指数;(D)门水平上的菌群相对丰度;(E)厚壁菌门/拟杆菌门的比率;(F)科水平上的菌群相对丰度;(G)属水平上菌群相对丰度。

图 3 植物乳杆菌 1201 对 DSS 诱导结肠炎小鼠血清代谢物的影响
Fig.3 The effect of Lactobacillus plantarum 1201 on serum metabolites in mice with DSS induced colitis
注:(A)ND 组和 MD 组样本 PCA 和 PLS-DA;(B)MD 组和 1201 组样本 PCA 和 PLS-DA;(C)ND 组和 MD 组之间差异代谢物水平的火山图,图中红色点为 FC>1.5 且 P-value<0.05 的代谢物;(D)血清中代谢物水平变化。

图 4 结肠炎小鼠血清代谢物相关性分析
Fig.4 Correlation analysis of serum metabolites in mice with colitis
注:(A)KEGG 途径的富集图;(B)MD 组和 1201 组之间的显著性差异代谢物相关性分析。

图 5 结肠炎小鼠血清代谢物和肠道菌群的相关性分析
Fig.5 Correlation analysis between serum metabolites and intestinal flora in mice with colitis
注:(A)L-Fucose 相关散点图;(B)α-Tocopherol 相关散点图;(C)血清中 L-Fucose 和 α-Tocopherol 水平变化。
通过对小鼠结肠炎模型的建立,探究了植物乳杆菌1201对肠道菌群的影响以及其对结肠炎缓解的机制。研究结果表明,植物乳杆菌1201可以显著增加肠道菌群的多样性和拟杆菌门的相对丰度以及有益肠道细菌的相对丰度,并减少有害菌群的相对丰度,从而缓解了DSS诱导的结肠炎小鼠的肠道菌群紊乱。此外,植物乳杆菌1201还可以调节紧密连接蛋白和粘附蛋白的转录途径,从而改善肠道屏障功能。
本研究主要总结了植物乳杆菌1201对DSS诱导结肠炎的缓解作用及其可能机制。实验结果表明,植物乳杆菌1201通过提高有益细菌的相对丰度,抑制具有较高促炎活性的有害菌群,改善肠道菌群平衡,从而缓解DSS诱导的结肠炎。本研究为临床上应用益生菌缓解结肠炎提供了理论数据,为开发新型微生物制药提供了候选菌株。
引用本文:彭玲玲,任中月,陶飞越,等. 植物乳杆菌1201对DSS诱导结肠炎的缓解作用[J]. 食品工业科技,2023,44(7):394−405. doi: 10.13386/j.issn1002-0306.2022070376.
Citation: PENG Lingling, REN Zhongyue, TAO Feiyue, et al. The Alleviating Effect of Lactobacillus plantarum 1201 on DSS Induced Colitis[J]. Science and Technology of Food Industry, 2023, 44(7): 394−405. (in Chinese with English abstract). doi: 10.13386/j.issn1002-0306.2022070376.
基金项目: 国家自然科学基金资助项目(81760102), 江西省自然科学基金(20212BAB205027)。
通信作者简介

(来自南昌大学官网)
本文内容由《食品工业科技》官网www.spgykj.com AI自动生成,欢迎点击阅读原文,获取原文进一步深读。
食品科学家论文汇总
(点击专家姓名,查看论文)
《食品工业科技》特邀主编专栏征稿
《食品工业科技》青年编委专栏征稿:组学分析技术在食品品质研究中的应用 ☚
《食品工业科技》青年编委专栏征稿:咖啡、可可、茶等特色饮料作物加工 ☚
群聊:食品工业科技作者群

温
馨
提
示
我刊正式组建微信作者群,为作者提供更多的学术与论文资讯,如需进群,请联系刘老师(微信:上方二维码,电话:87244117-8062)。

版权声明


