EI收录,
入选中国科技期刊卓越行动计划
东北农业大学生命科学学院的张会,李柱,马佳欣,樊俊博,邵志伟,姜毓君,李杰等人主要介绍了甘露聚糖酶的重要应用领域、酶学性质、耐高温性能的不足以及提高其产量的研究进展。文章指出甘露聚糖酶在饲料、食品加工等行业中具有重要应用,并分析了真菌与细菌来源的甘露聚糖酶的酶学性质差异。同时,文章提到了通过基因工程方法在酵母和丝状真菌中提高甘露聚糖酶产量的研究,以及内质网分子伴侣在提高分泌蛋白产量中的作用。最后,本研究以黑曲霉为表达系统,通过基因整合和调控,探究了甘露聚糖酶的分泌表达及其酶学性质,旨在获得性能更优、成本更低的甘露聚糖酶。
本章节主要报告了甘露聚糖酶基因在黑曲霉中的克隆、表达及其酶学性质的优化。研究成功从野生型TH-2基因组DNA中扩增出甘露聚糖酶基因,并构建了正确的重组表达载体。通过PCR鉴定,筛选出了阳性转化子。进一步分析表明,重组菌株MG和MD能够有效表达甘露聚糖酶,且MD菌株的酶活力和表达量更高。添加CPPs后,菌株MG和MD的甘露聚糖酶酶活力进一步提高。此外,研究了甘露聚糖酶的最适反应温度和pH,以及金属离子和化学试剂对其活性的影响,发现该酶具有耐热和酸耐受特性,对金属离子具有较高的耐受力。
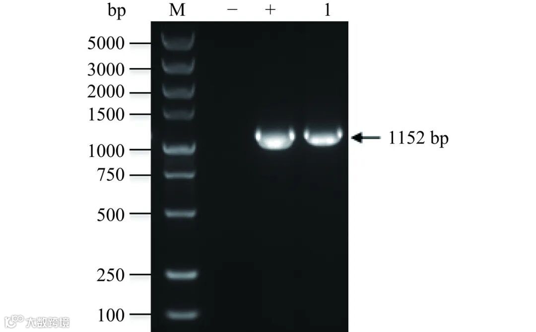
图 2 甘露聚糖酶man基因的PCR扩增结果
Figure 2. PCR amplification result of the mannanase gene man
注:M-DL 5000 bp;1-甘露聚糖酶man基因PCR扩增。
图 3 甘露聚糖酶表达载体的酶切鉴定结果
Figure 3. Enzymatic digestion result of the mannanase expression vector
注:M-DL 15000 bp;1-pSZHG6RS-man1R(Xba Ⅰ/Hind Ⅲ)双酶切鉴定。
图 4 甘露聚糖酶农杆菌转化子的PCR鉴定结果
Figure 4. Identification of mannanase Agrobacterium tumefaciens transformant by PCR
注:M-DL 5000 bp;−-阴性对照(水);+-阳性对照(质粒);1-AGL1(pSZHG6RS-man1R)农杆菌转化子。
图 5 甘露聚糖酶黑曲霉转化子的PCR鉴定结果
Figure 5. Identification of mannanase Aspergillus niger transformants by PCR
注:M-DL 5000 bp;(A)0-空对照(水);−-阴性对照TH-2(ΔasAA::pyrG);+-阳性对照(质粒pSZHG6RS-man1R);1-黑曲霉纯合转化子MG;(B)0-空对照(水);−-阴性对照(菌株MG);+-阳性对照(质粒pSZHA-DnaJ1);1、2-未转化成功的菌株;3-黑曲霉纯合转化子MD。
图 6 甘露聚糖酶重组菌株的分泌表达检测结果
Figure 6. Detection of secreted expression result of recombinant strains of mannanase
注:(A)重组菌株MG和MD第4~11 d的SDS-PAGE检测结果;(B)重组菌株MG和MD第4~11 d的酶活性检测结果。不同小写字母表示在P<0.05水平上菌株之间具有显著差异(n=3),图7~图8同。
图 7 甘露聚糖酶黑曲霉重组菌株的转录水平检测结果
Figure 7. Results of transcription level detection for the recombinant strains of mannanase by Aspergillus niger
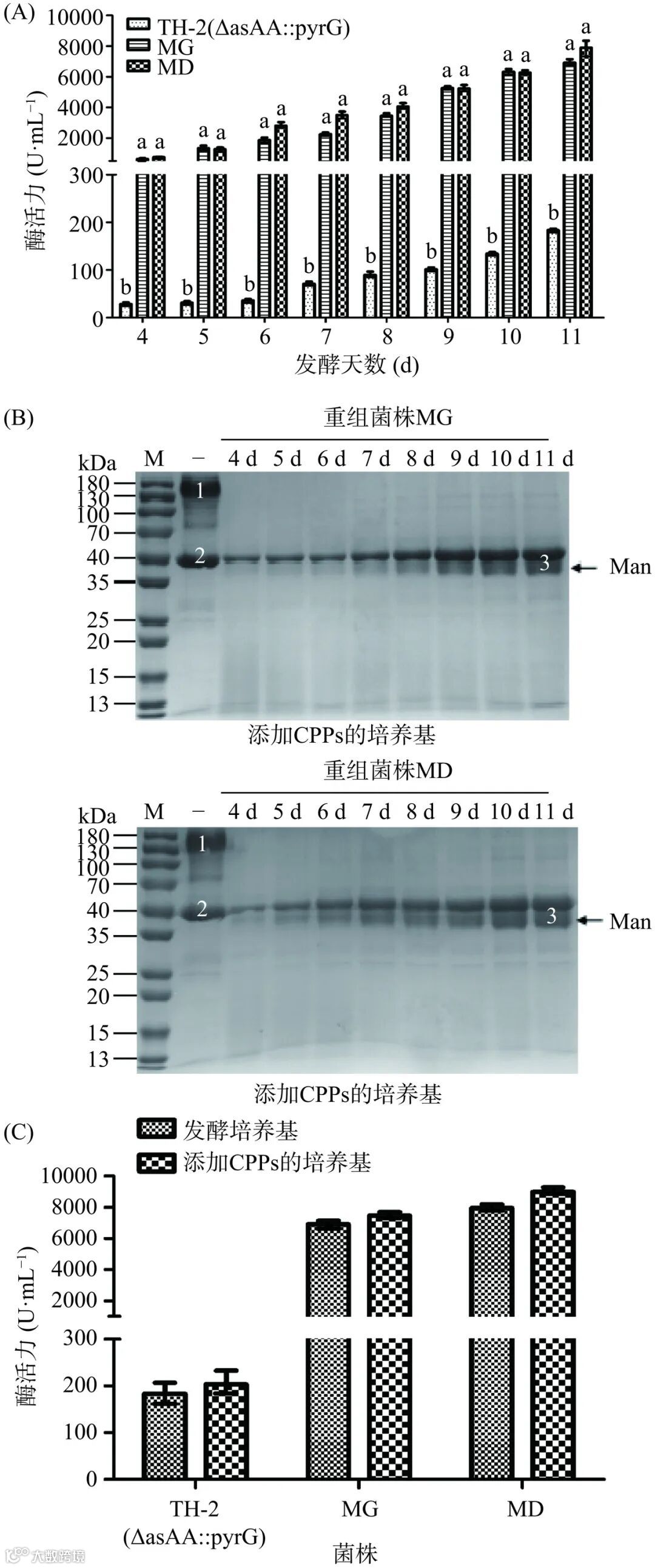
图 8 甘露聚糖酶重组菌株添加1% CPPs后的甘露聚糖酶酶活检测结果
Figure 8. Recombinant mannanase strains' enzyme activity detection following the addition of 1% CPPs
注:(A)重组菌株MG和MD发酵第4~11 d的酶活性检测结果;(B)重组菌株MG和MD发酵第4~11 d的SDS-PAGE检测结果;(C)重组菌株添加CPPs后MG和MD发酵第11 d的酶活性比较结果。
图 9 甘露聚糖酶重组菌株在添加1% CPPs前后的生长状态检测
Figure 9. Detection of the growth status of recombinant strains of mannanase before and after the addition of 1% CPPs
注:(A)重组菌株MG和MD菌落生长状态检测;(B)重组菌株MG和MD菌落直径检测。
图 10 不同温度下重组甘露聚糖酶的相对酶活性
Figure 10. Relative enzyme activity of recombinant mannanase at different temperature
注:(A)最适温度;(B)温度稳定性;不同字母表示在P<0.05水平上具有显著差异(n=3),图11、图12同。
图 11 不同pH下重组甘露聚糖酶的相对酶活性
Figure 11. Relative enzyme activity of recombinant mannanase at different pH
注:(A)最适pH;(B)pH稳定性。
图 12 金属离子和化学试剂处理下甘露聚糖酶的相对酶活性
Figure 12. Relative enzyme activity of mannanase under metal ions and chemical reagents treatment
注:(A)金属离子对甘露聚糖酶酶活性的影响;(B)化学试剂对甘露聚糖酶酶活性的影响。
本章节表明,研究通过同源重组技术成功获得了两株甘露聚糖酶黑曲霉重组菌株,并提高了酶活性及转录水平。甘露聚糖酶表达量的增加引起了内质网压力及UPR响应。添加CPP后,酶活力进一步提升,并改善了菌株生长状态。此外,确定了重组甘露聚糖酶的最适温度和pH,及其对金属离子和化学试剂的耐受性。研究为提高甘露聚糖酶产量提供了新途径,并提出了未来优化的可能策略。
引用本文:张会,李柱,马佳欣,等. 甘露聚糖酶在黑曲霉中的优化表达及其酶学性质研究[J]. 食品工业科技,2025,46(15):218−227. doi: 10.13386/j.issn1002-0306.2024080210.
Citation:ZHANG Hui, LI Zhu, MA Jiaxin, et al. Optimization Expression and Enzymatic Properties Research of Mannanase in Aspergillus niger[J]. Science and Technology of Food Industry, 2025, 46(15): 218−227. (in Chinese with English abstract). doi: 10.13386/j.issn1002-0306.2024080210.
基金项目:中国博士后科学基金(2019M651149)。
通信作者简介
姜毓君,二级教授、博士生导师,东北农业大学副校长、乳品科学教育部重点实验室主任。国家乳业工程技术研究中心主任、国家乳业技术创新中心乳品安全与品质研究中心主任、中国营养保健食品协会副会长。入选长江学者特聘教授、国家“万人计划”领军人才。荣获全国食品安全工作先进个人、中国食品科技学会科技创新奖——突出贡献奖,担任国务院食品安全委员会专家委员会委员。主要从事乳制品、婴幼儿配方食品和特医食品等特殊食品和功能食品研究,先后承担国家和省部级课题20余项。获得省科技进步二等奖2项,中国和美国专利22件,主编或共同出版专著教材8部。以第一作者或通讯作者发表学术论文200余篇,其中多篇被选为本领域TOP期刊封面文章或高被引论文;牵头和参与多项国家食品安全法规标准和技术规范的制修订工作。
李杰,东北农业大学生命科学学院院长、教授,主要研究方向为分子遗传学与基因工程。1993年毕业于东北农业大学生物工程系,同年留校任教。1996年10月至1997年7月在华中农业大学农业微生物重点实验室客座研究,2008年7月至2009年7月在山东大学微生物技术国家重点实验室任访问学者。他主持和参加了10余项国家和省部级科研课题,在国内外学术刊物上发表学术论文30余篇,其中SCI收录2篇,申请基因专利3项,获得基因专利1项。在丝状真菌基因工程研究方面取得了重要的研究成果,通过在丝状真菌基因表达调控理论和基因操作技术上的创新,成功建立了食品级黑曲霉高效分泌表达系统,现已利用该系统成功表达了凝乳酶、甘露聚糖酶、内切木聚糖酶等酶制剂,工程菌产酶能力均高于目前生产水平,该表达系统实现了我国在丝状真菌表达系统核心技术和前沿技术领域的突破。基于此成果,2012年创建了“黑龙江省酶制剂工程技术研究中心东北农大中心”及“日成酶制剂东北农大研发中心”。
食品科学家论文汇总
(点击专家姓名,查看论文)













《食品工业科技》特邀主编专栏征稿
《食品工业科技》特邀主编专栏征稿:果蔬基料制造:基础理论,新型加工、质量控制与智能制造☚
《食品工业科技》特邀主编专栏征稿:
群聊:食品工业科技作者群

温
馨
提
示

我刊正式组建微信作者群,为作者提供更多的学术与论文资讯,如需进群,请联系刘老师(微信:上方二维码,电话:87244117-8062)。

版权声明









