EI收录,
入选中国科技期刊卓越行动计划
本文获国家重点研发计划重点专项课题(2021YFD2100202);厦门市自然科学基金项目(3502Z202371021);福建省自然科学基金项目(2023J01770);国家自然科学基金项目(22305095)。
本章节重点包括:1. 确定蛋壳膜酶解的最佳条件为碱性蛋白酶(用量9 U/mg)在50℃下酶解4小时,该条件能较好保留溶菌酶活性并提高抗氧化性;2. 通过SDS-PAGE证实酶解产物含有溶菌酶,FTIR分析显示蛋壳膜酶解物与壳聚糖通过氢键相互作用;3. 复合薄膜表征表明:随着蛋壳膜酶解物添加量增加,薄膜厚度增加、紫外线阻隔性增强、疏水性提高,但水蒸气透过性略有上升;4. 薄膜表现出良好的抗菌活性(对金黄色葡萄球菌和大肠杆菌抑制率超80%)和生物相容性(细胞活力>90%);5. 草莓保鲜实验证明E-ESM0.6%/CS复合薄膜能有效延缓果实成熟、减少水分流失、抑制脂质过氧化,显著延长草莓货架期。
图 1 酶解条件对鸡蛋壳膜酶解的影响
Figure 1. Effect of enzymatic hydrolysis conditions on enzymatic hydrolysis of egg shell membrane
注:不同小写字母表示数据差异显著,P<0.05;图5~图6、图9同。
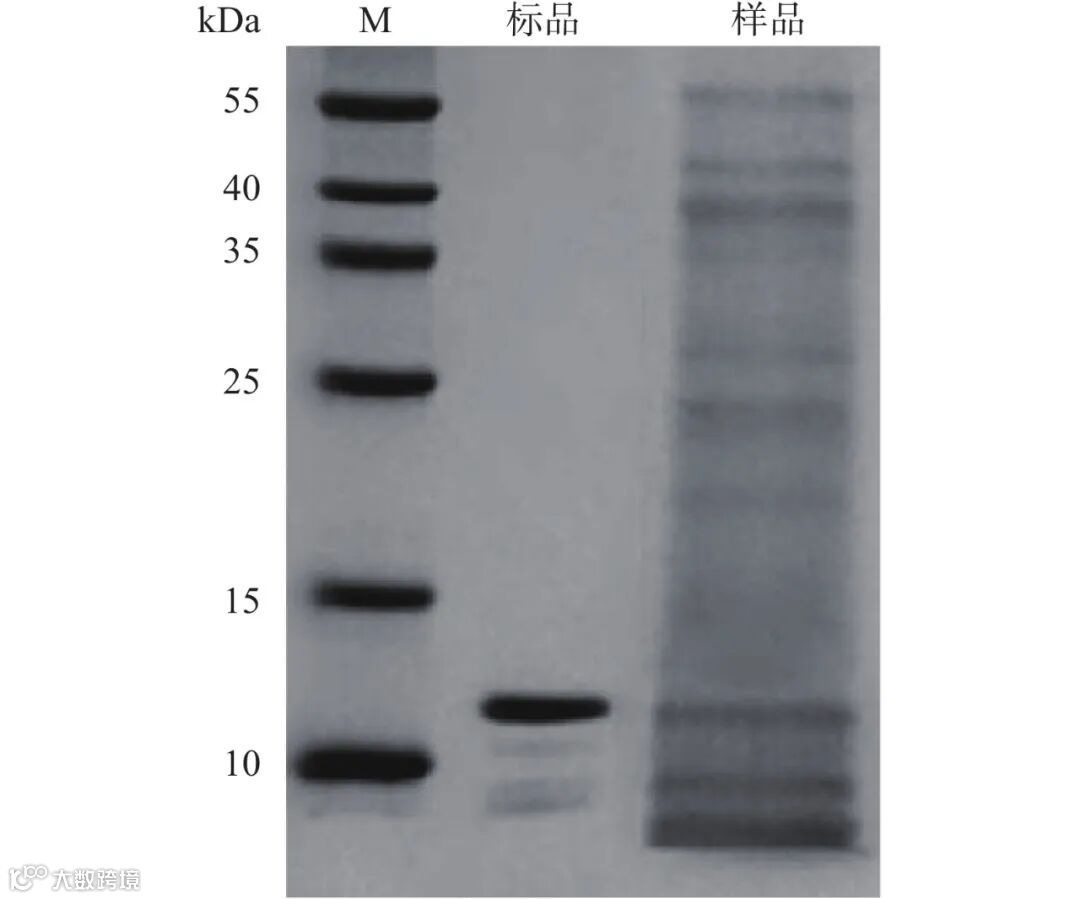
图 2 E-ESM的SDS-PAGE
Figure 2. SDS-PAGE of E-ESM
注:M为蛋白Maker、标品为溶菌酶标品、样品为E-ESM样品。
图 3 E-ESM/CS薄膜的FTIR谱图
Figure 3. FTIR spectra of E-ESM/CS thin films
图 4 E-ESM/CS薄膜表面(A~E)和薄膜截面(a~e)的SEM图
Figure 4. SEM images of E-ESM/CS film surface (A~E) and film cross section (a~e)
图 5 E-ESM/CS薄膜的物理性能
Figure 5. Physical properties of E-ESM/CS films
图 6 不同E-ESM添加量的水蒸气透过率(A)和氧气透过率(B)图
Figure 6. Diagrams of water vapor permeability (A) and oxygen permeability (B) with different addition amounts of E-ESM
图 7 不同E-ESM添加量的E-ESM/CS的热重(A)和差热重(B)图
Figure 7. Thermogravimetric (A) and differential thermogravimetric (B) graphs of E-ESM/CS with different E-ESM additions
图 8 不同E-ESM添加量的E-ESM/CS薄膜对金黄色葡萄球菌(A)和大肠杆菌(B)抑菌活性
Figure 8. Inhibition of S. aureus (A) and E. coli (B) by E-ESM/CS films with different E-ESM supplemental levels
图 9 不同E-ESM添加量的E-ESM/CS薄膜对细胞活力的影响
Figure 9. Influence of E-ESM/CS films with different E-ESM supplemental levels on cell viability
图 10 草莓贮藏期间品质变化的指标
Figure 10. Index of strawberry quality change during storage
注:贮藏末期不同小写字母表示数据差异显著,P<0.05。
本章节总结了以鸡蛋壳膜酶解物与壳聚糖复合制备薄膜的研究成果,重点包括:成功制备出具有高溶菌酶活性和抗氧化性的酶解液,通过氢键作用形成结构致密的复合薄膜,该薄膜具备优异的机械性能、紫外线阻隔性和疏水性,草莓保鲜实验证明其能有效延缓果实后熟代谢,实现了蛋壳废弃物的高值化利用。同时指出当前酶解产物分子量分布较宽的不足,未来需优化反应条件以提高产物活性与特异性,研究为活性包装材料设计提供了新思路。
引用本文:李欣怡,吴夏泠,刘群,等. 鸡蛋壳膜酶解物/壳聚糖复合薄膜的制备及性能表征[J]. 食品工业科技,2026,47(2):297−307. doi: 10.13386/j.issn1002-0306.2025030080.
Citation:LI Xinyi, WU Xialing, LIU Qun, et al. Preparation and Performance Characterization of Eggshell Membrane Enzymatic Hydrolysate/Chitosan Composite Film[J]. Science and Technology of Food Industry, 2026, 47(2): 297−307. (in Chinese with English abstract). doi: 10.13386/j.issn1002-0306.2025030080.
通信作者简介
诚邀莅临

热门话题
查看更多 →
《食品工业科技》特邀主编专栏征稿
群聊:食品工业科技作者群
温
馨
提
示
我刊正式组建微信作者群,为作者提供更多的学术与论文资讯,如需进群,请联系刘老师(微信:上方二维码,电话:87244117-8062)。
版权声明




