EI收录,
入选中国科技期刊卓越行动计划
本文获国家自然科学基金(32402056);酿酒生物技术及应用四川省重点实验室开放基金(NJ2024-03);中国轻工业酿酒生物技术及智能制造重点实验室开放基金(2023-03)。
本章节重点分析了浓香型酒醅的理化性质、细菌群落结构及其与尿素降解的关系。研究发现,不同车间酒醅的水分、酸度和乙醇含量在正常范围内波动,其中FG27酒醅的总酸和乙醇含量较高,与乳杆菌属丰度相关。细菌群落分析显示,厚壁菌门为优势菌门,乳杆菌属为优势菌属。尿素、精氨酸和瓜氨酸的含量在不同酒醅中存在差异,FG06酒醅尿素含量最高。通过多样性分析和关联网络,发现链球菌属、韦荣氏球菌属、短杆菌属和假单胞菌属与尿素含量呈显著负相关,表明这些菌属可能具有降解尿素的潜力。功能预测显示,酒醅细菌主要通过碳水化合物和氨基酸代谢产生风味物质。最后,通过筛选和鉴定,从酒醅中分离出具有脲酶活性的亚麻短杆菌W2,证实其具有降解尿素的能力。
图 1 不同车间酒醅的理化指标及显著性差异分析
Figure 1. Analysis of physicochemical indicators and significant differences in fermented grains from different workshops
注:不同字母表示理化指标的差异显著(P<0.05)。
图 2 不同车间酒醅的OTU韦恩图
Figure 2. OTU Veen diagram of fermented grains from different workshops
图 3 不同车间酒醅中细菌群落α-多样性指数
Figure 3. α-Diversity indices of bacterial communities in different fermented grains
注:图柱上不同字母表示细菌群落α-多样性指数的差异显著(P<0.05)。
图 4 基于门(A)和属水平(B)分析不同酒醅的细菌群落结构
Figure 4. Analysis of bacterial community structure of different fermented grains based on phylum (A) and genus level (B)
图 5 基于Bray-Curtis距离的非度量多维尺度分析不同酒醅细菌群落的β-多样性
Figure 5. β-Diversity of bacterial communities in different fermented grains by NMDS based on Bray-Curtis distance
图 6 理化指标与酒醅样品的RDA分析(A)以及与优势细菌属的关联网络分析(B)
Figure 6. Correlation between physicochemical parameters and samples by RDA analysis (A), and correlation network analysis of physicochemical parameters and dominant bacterial genera (B)
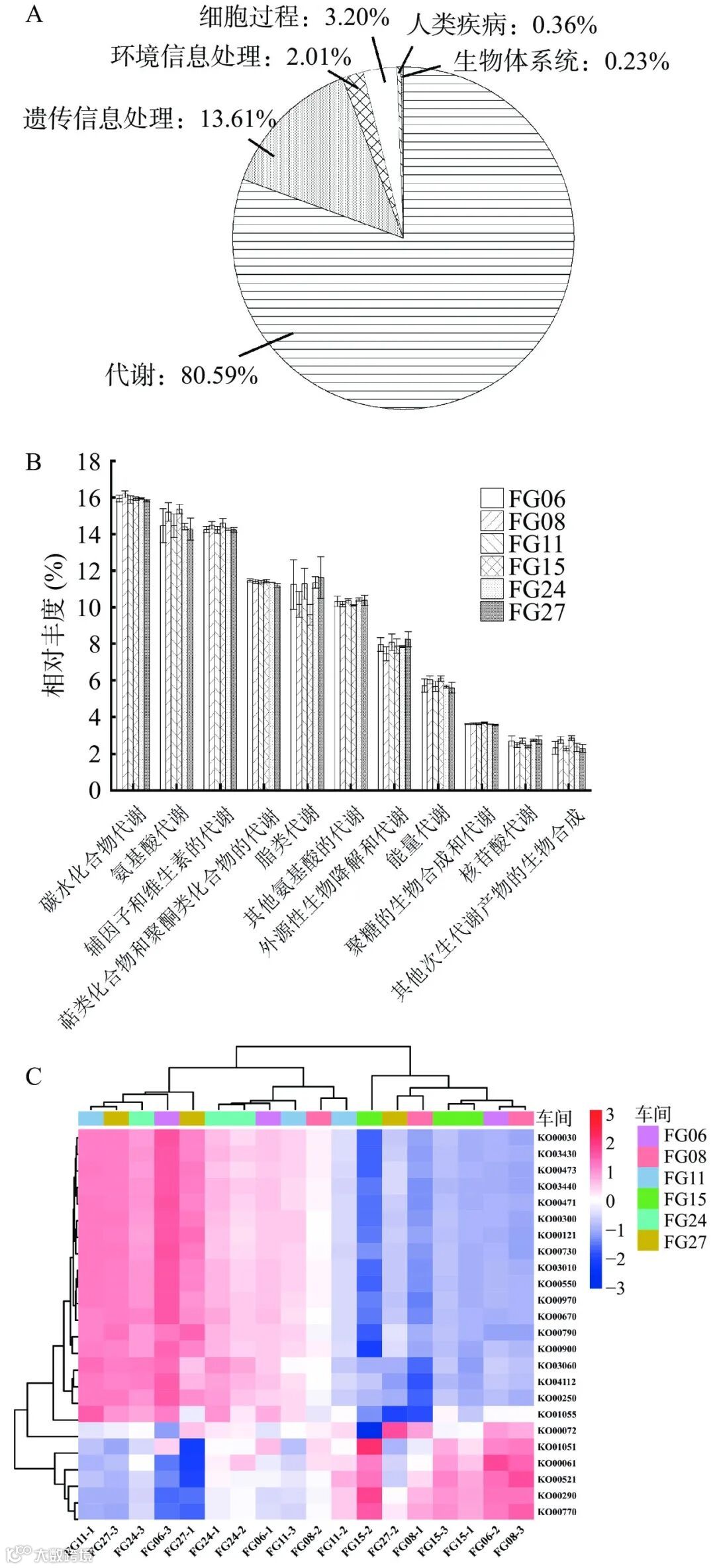
图 7 酒醅细菌群落的一级(A)和二级(B)代谢功能预测以及细菌群落KEGG直系同源基因簇丰度热图(C)
Figure 7. First (A) and second (B) levels functional prediction of bacterial community in fermented grains, and abundance heatmap of KEGG orthologous gene clusters (C)
图 8 尿素循环与其代谢通路(A)以及关键代谢酶和细菌属(B)的关联性分析
Figure 8. Urea cycle and metabolic pathway (A) and its key metabolic enzymes with correlation of bacterial genera (B)
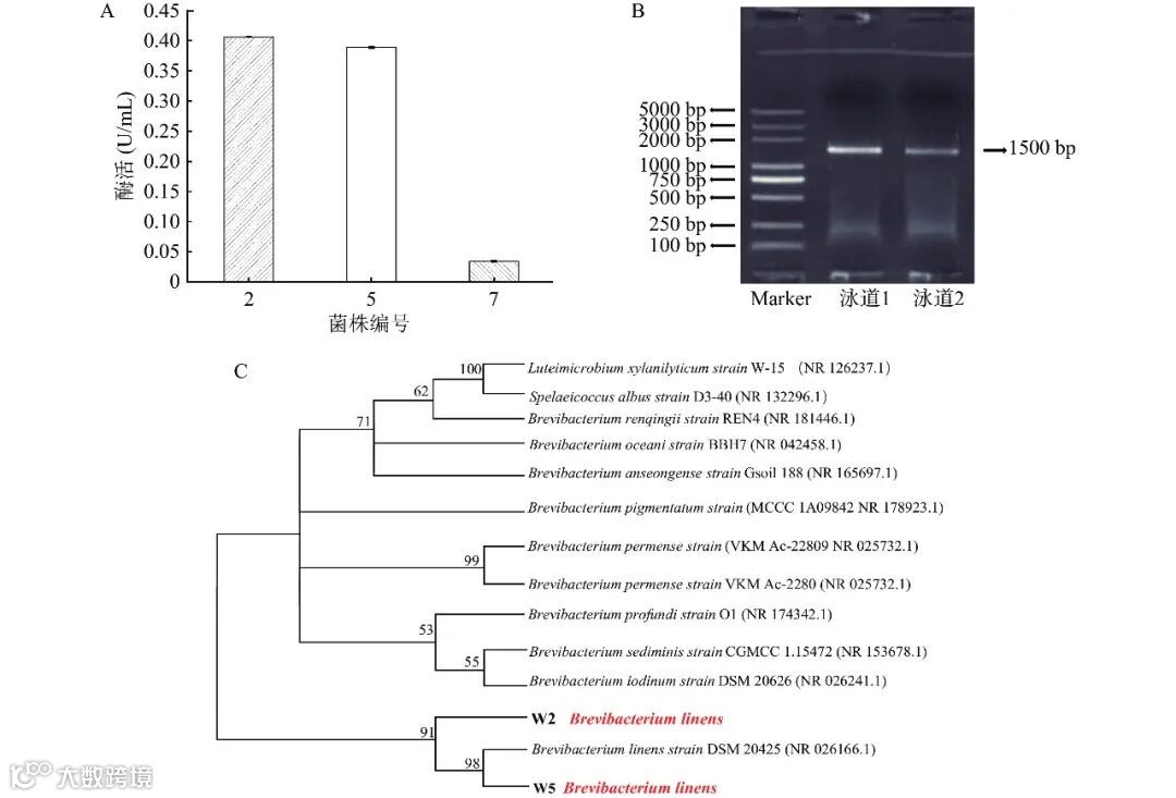
图 9 菌株脲酶活力测定(A)和凝胶电泳图(B)及基于16S rDNA序列的系统发育树(C)
Figure 9. Detection of urease activity (A), SDS-PAGE image (B), and phylogenetic tree based on 16S rDNA sequence (C)
本章节通过高通量测序和生物信息学分析,发现短杆菌属、链球菌属、韦荣氏球菌属和假单胞菌属与尿素含量呈负相关,与脲酶活性呈正相关。研究筛选出一株高效降解尿素的菌株,经鉴定为亚麻短杆菌,并已保藏。该研究为通过生物强化技术降低白酒中尿素和氨基甲酸乙酯含量提供了理论依据。
引用本文:王嘉慧,王严庆,李晓韩,等. 浓香型酒醅中尿素降解菌的辨析及鉴定[J]. 食品工业科技,2026,47(2):199−208. doi: 10.13386/j.issn1002-0306.2025010011.
Citation:WANG Jiahui, WANG Yanqing, LI Xiaohan, et al. Discrimination and Identification of Urea-degrading Bacteria in the Fermented Grains of Chinese Nong-xiang Baijiu[J]. Science and Technology of Food Industry, 2026, 47(2): 199−208. (in Chinese with English abstract). doi: 10.13386/j.issn1002-0306.2025010011.
通信作者简介
诚邀莅临

热门话题
查看更多 →
《食品工业科技》特邀主编专栏征稿
群聊:食品工业科技作者群
温
馨
提
示
我刊正式组建微信作者群,为作者提供更多的学术与论文资讯,如需进群,请联系刘老师(微信:上方二维码,电话:87244117-8062)。
版权声明




