肉桂酸对白地霉生长的抑菌机制
导 读
2022年1月,湖南省农业科学院/湖南大学研究生院隆平分院单杨院士课题组在国际期刊Food Control(Q1,IF: 6.652)(点击查询最新即时IF和分区) 发表题为“Inhibitory mechanisms of cinnamic acid on the growth of Geotrichum citri-aurantii ”的研究性论文。获十三五国家重点研发计划(2017YFD0401303)和湖南省长株潭国家自主创新示范区专项(2018XK 2006)资助(点击查看该刊投稿指南)。
白地霉是引起果实采后酸腐病的主要致病菌,造成柑橘采后非常大的经济损失。肉桂酸因具有防腐杀菌作用而广泛用于农产品的保鲜。本论文研究了肉桂酸对白地霉生长的影响以及可能的抑菌机制。研究结果显示,在体外抑菌实验中,当肉桂酸浓度为400 mg L-1时,白地霉的生长被完全抑制。然而,在体内抑菌实验中,当肉桂酸浓度为4000 mg L-1时,与对照相比,发病率降到了38.31%。扫描电镜结果显示,肉桂酸可以引起白地霉菌丝体收缩和变形,透射电镜结果表明,细胞内成分物质大量泄漏和分解。此外,激光共聚焦扫描显微镜观察结果显示,当肉桂酸处理浓度为800 mg L-1时,37.72%的白地霉孢子丧失了质膜完整性。电解质和胞内细胞成分泄漏表明肉桂酸处理会导致细胞膜通透性显著增加。十二烷基硫酸钠-聚丙烯酰胺凝胶电泳实验及BCA蛋白检测试剂盒测定表明,与对照相比,肉桂酸处理3小时后蛋白质条带的数量明显减少,这表明小分子和大分子物质已经从细胞中泄漏出来。肉桂酸处理后,可溶性蛋白显著下降。以上研究结果表明,肉桂酸通过破坏白地霉细胞的细胞膜,使其丧失活性从而保护柑橘类水果免受采后酸腐病的侵害。
研究亮点
肉桂酸在体外和体内均能抑制白地霉的生长。
肉桂酸可以破坏细胞膜的完整性,增加细胞膜的通透性。
肉桂酸可以引起白地霉细胞核酸和蛋白质的泄露。
研究结论
肉桂酸在体外可以抑制白地霉的生长,且能在柑橘体内抑制酸腐病的发生。
扫描电镜结果显示,肉桂酸可以引起白地霉菌丝体收缩和变形;透射电镜结果表明,细胞内成分物质大量泄漏和分解。
激光共聚焦扫描显微镜观察结果显示,当肉桂酸处理浓度为800 mg L-1时,37.72%的白地霉孢子丧失了质膜完整性。
电解质和胞内细胞成分泄漏表明肉桂酸处理会导致细胞膜通透性显著增加。
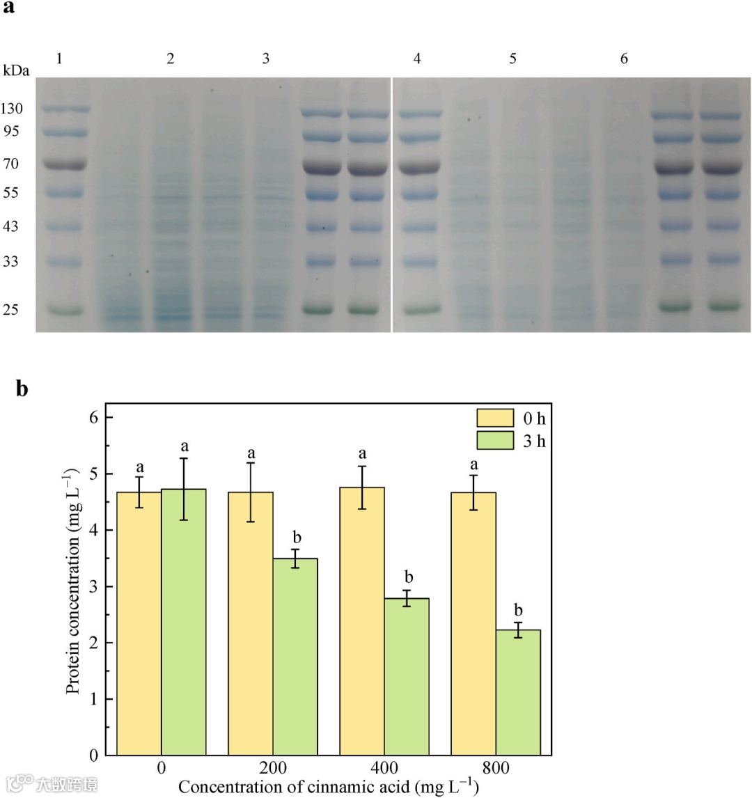
十二烷基硫酸钠-聚丙烯酰胺凝胶电泳实验及BCA蛋白检测试剂盒测定表明,肉桂酸处理后小分子和大分子物质已经从白地霉细胞中泄漏出来,可溶性蛋白显著下降。
图文赏析
图1 肉桂酸对白地霉的体内抑菌效果。(a)病害症状及抑菌效果;(b)病斑直径及发病率。
图2 白地霉菌丝体的扫描电镜和透射电镜图(a—f)与白地霉质膜完整性(g)
Control: a, d;b, e: 100 mg L-1肉桂酸处理;c, f: 200 mg L-1
图3 白地霉细胞的胞内蛋白质泄露情况。(a) 1, 2, 3, 4, 5, 6列分别代表 Marker, 0 mg L−1, 200 mg L−1, Marker, 400 mg L−1 , and 800 mg L−1 ;(b)肉桂酸对白地霉细胞蛋白质浓度的影响。
丁胜华
丁胜华,博士毕业于中国农业大学食品科学与营养工程学院农产品加工及贮藏专业,现任湖南省农业科学院研究生院/湖南大学研究生院隆平分院院长,研究员,博士生导师。主要从事果蔬加工及贮藏工程教学与科研工作,主持国家自然科学基金2项,湖南省自然科学基金、长沙市杰出创新青年培养计划等科研项目10项,以主要完成人获国家科技进二等奖、湖南省科学技术创新团队奖、湖南省科技进步一等奖各1项。以第一/通讯作者发表SCI论文34篇,EI论文17篇。第一届国家农产品加工技术研发体系青年工作委员会委员、中国机械工程学会包装与食品工程分会委员。Journal of Agricultural and Food Chemistry、Carbohydrate Polymers、International Journal of Biological Macromolecules、食品科学等期刊审稿专家。
单 杨
单 杨 (1963.02),食品工程专家,湖南攸县人。现任湖南省农业科学院院长,研究员,工学博士,博士生导师。科技部重点领域创新团队“果蔬加工与质量安全”负责人,柑橘资源综合利用国家地方联合工程实验室和农产品质量安全风险评估实验室(长沙)主任。
37年从事柑橘等果蔬贮藏加工与综合利用基础理论、关键技术研究和工程科技应用与推广,创立连续、清洁和标准化加工技术及基础研究,构建资源高效高值综合利用技术及基础研究,创新开发加工原料绿色贮(冻)藏技术及配套设施。是国家“万人计划”科技创新领军人才和农业农村部“科研杰出人才”。以第一完成人获国家科技进步二等奖2项、中国工程院光华工程科技奖和湖南光召科技奖各1项、湖南省创新团队奖1项、湖南省技术发明一等奖1项、湖南省科技进步一等奖2项,主编著学术著作6部(ELSEVIER英文专著2部),以第一或通讯作者发表论文168篇,第一发明人授权发明专利26件,与企业共同制订出口欧美食品产品标准和技术认证7项。
2021年当选中国工程院院士。
程小梅
程小梅(1987.10.03-),主要从事农产品加工与贮藏,湖南大学化学专业2022届博士毕业生,助理研究员,陕西西安人。在Food Control、Antioxidant等国际期刊发表SCI论文5篇,在《食品科学》、《农业现代化研究》、《植物保护》等中文核心期刊发表文章10余篇,获得授权专利10余项;主持湖南省自然科学基金青年基金、湖南省重点研发计划子课题等项目,参与湖南省长株潭国家自主创新示范区专项,湖南省自然科学面上基金,中央引导地方专项资金项目等。
原文链接
https://doi.org/10.1016/j.foodcont.2021.108459
① 长按二维码 或 ② 点击左下角“阅读原文”
详细内容请点击文末“阅读原文”。









