中国检验检疫科学研究院陈颖团队:超高压处理对桃蛋白结构及致敏性变化规律研究
Food Chemistry (IF:9.231)
●中国检验检疫科学研究院康文瀚(第一作者)、陈颖(通讯作者)等在国际食品期刊《Food Chemistry》(IF: 9.231,中科院一区)上在线发表了题为“Effect of ultrahigh-pressure treatment on the structure and allergenicity of peach allergenic proteins”的研究论文,通过质谱技术、光谱技术结合血清学检测及细胞学检测,多角度深入研究了超高压处理对桃蛋白的特性、结构、IgE结合能力及致敏性的影响。此外,通过质谱分析酶解后的多肽片段,探究了超高压处理后主要过敏原蛋白Pru p 3的表位空间构象的变化。
● (点击页面左下角阅读原文,直达文献页面)
成果介绍
研究背景
食品加工可能对食物过敏原蛋白的结构和致敏性产生不同的影响。超高压(UHP)技术经常被用于桃产品的深加工工艺当中,如桃汁和桃罐头的杀菌、桃浊汁的均质、桃汁的灭酶和桃干的渗糖等。目前,对超高压处理下桃过敏原蛋白的结构和致敏性的变化,尤其是对表位的变化还没有深入研究。本研究提供了一个关于超高压处理如何影响桃过敏原蛋白的全方面的描述,有助于降低桃致敏风险,并为低致敏桃产品的开发提供理论基础。
研究内容及结果
本研究通过光谱学、质谱学结合血清学和细胞学,深入分析了超高压处理后桃子致敏蛋白的结构和致敏性变化。结果表明,超高压处理可以降低桃子可溶性蛋白的含量,并引起二级和三级结构的变化。此外,更多的疏水残基被暴露出来,蛋白质在超高压处理后趋于聚合。免疫学实验结果表明,超高压处理可以降低桃蛋白的IgE结合能力,影响嗜碱细胞的脱颗粒能力,一些细胞因子的上调可能有助于降低桃蛋白的致敏性。值得注意的是,超高压处理可能导致Pru p 3表位中的一些消化位点被掩蔽,这可能不利于人体对表位肽的消化,增加了桃的致敏风险。
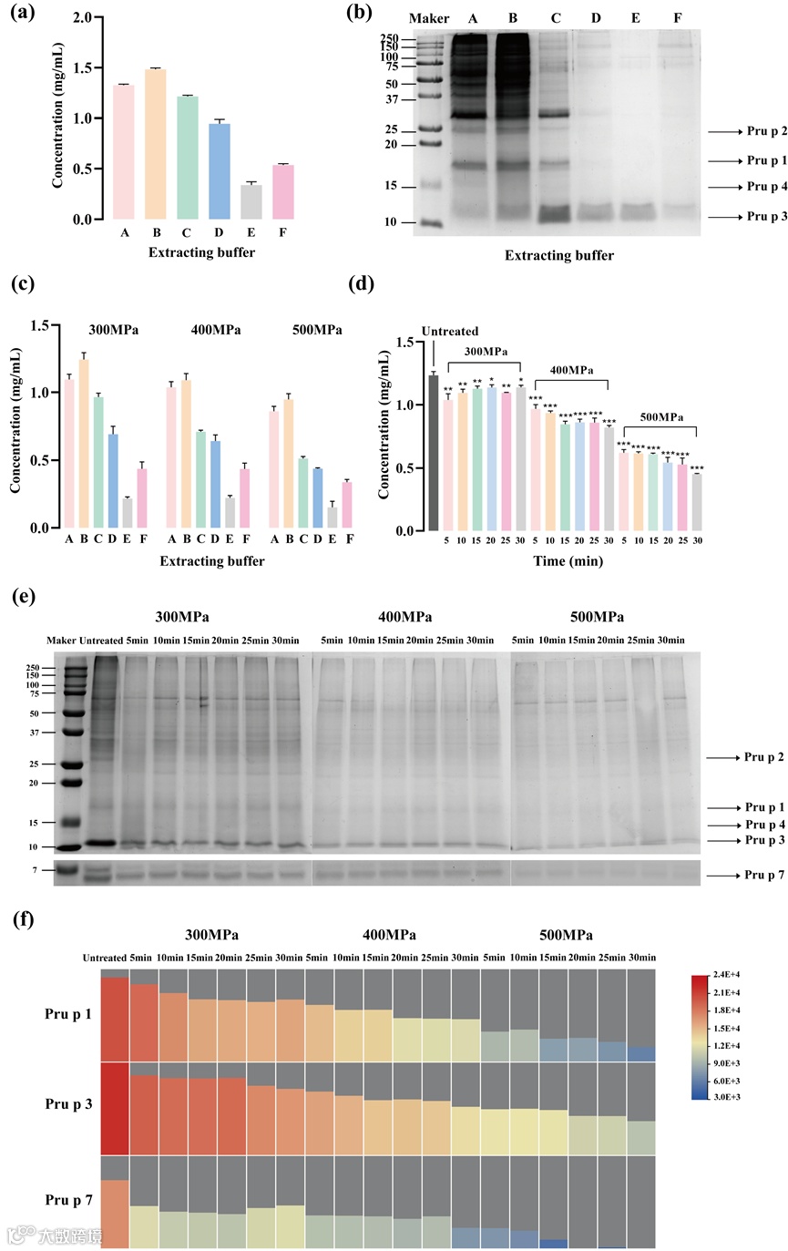
图1 超高压处理对桃可溶性蛋白含量的影响
对于鲜桃和超高压处理后的桃,使用尿素+CHAPS提取的桃可溶性蛋白质含量最高(图1a,图1c)。SDS-PAGE结果表明,使用尿素+CHAPS提取的桃蛋白条带显示出较深的灰度值(图1b)。随着压力的增加和时间的延长,桃可溶性蛋白含量明显下降(图1d,图1e)。这可能是由于超高压处理破坏了蛋白质的疏水性和静电相互作用,从而影响了蛋白质的水合特性。过大的压力可能使蛋白结构变得松散,暴露出更多的疏水基团,形成不溶性聚合物,从而降低蛋白浓。用LC-MS/MS对桃的三种主要过敏蛋白(Pru p 1、Pru p 3和Pru p 7)进行相对定量(图1f),结果显示,这些蛋白的含量在超高压处理下都出现了不同程度的下降。其中,Pru p 3的含量下降较慢,这可能是由于Pru p 3中存在四个稳定的二硫键,导致Pru p 3结构对超高压处理具有一定抗性造成的。
图2 超高压处理对桃蛋白结构的影响
通过CD光谱分析超高压处理对桃蛋白二级结构的影响(图2a,图2b),结果表明,随着力的增加和时间的延长,桃蛋白二级结构中α-螺旋的含量逐渐减少,β-折叠的含量明显增加,而β-转角和无规则卷曲的含量没有明显变化。这可能是由于超高压处理破坏了维持α-螺旋结构的氢键和静电相互作用,导致部分α-螺旋转化为β-折叠,蛋白质结构变得更加松散导致的。紫外光谱显示,经超高压处理的桃蛋白在280nm处的吸收峰逐渐下降(图2c),这可能是由于三级结构的重新排列,导致更多的芳香族残基被掩盖而引起的。此外,超高压处理引起的氨基酸残基中共轭双键的破坏也可能是一个原因。内源性荧光光谱显示335 nm处的吸收峰逐渐减少,这可能是由于色氨酸残基附近微环境的变化,导致更多的色氨酸掩蔽引起的(图2d)。
图3 超高压处理对桃蛋白粒径及Zeta电位的影响
未经超高压处理的桃蛋白的大部分疏水基团被埋在蛋白质分子内部,随着压力的增加,一些蛋白质构象变得松散,更多的疏水基团被暴露出来,从而增加了蛋白质的疏水性。疏水性的增加不利于蛋白质的溶解(图3a),桃蛋白粒径主要分布在100 nm左右,随着压力梯度的增加(≤400 MPa),蛋白质粒径增大,表明在这个压力范围内可能产生了大分子量的聚合物。当压力达到500 MPa时,一些桃蛋白被降解,产生了分子量较小的碎片。可以看出,一定程度的超高压处理可以使桃蛋白聚合,而过高的压力则可能导致桃蛋白的降解(图3b)。经过超高压处理后,桃蛋白的zeta电位绝对值趋近于0,说明蛋白分散体系的稳定性变差,蛋白有聚合的趋势。这与超高压处理后桃蛋白产生了粒径较大的聚合物结果一致,也解释了超高压处理后桃可溶性蛋白含量下降的原因(图3c)。
图4 超高压处理对桃蛋白IgE结合能力与致敏性的影响
通过western-blot来评估超高压处理对桃过敏原蛋白IgE结合能力的影响(图4a),在未处理的桃蛋白中,除Pru p 4以外,其余四种过敏原蛋白产生了灰度值不同的阳性条带,其中Pru p 3的条带灰度值最深,这表明Pru p 3可能具有最强的IgE结合能力,在超高压处理的桃蛋白中,western-blot检测到的阳性条带数量减少,灰度值也逐渐降低。其中表现最明显的是Pru p 2,当加压到500 MPa时,几乎没有明显的阳性条带出现。相反,Pru p 1的IgE结合能力对超高压处理并不敏感,阳性条带的数量和灰度值并没有随着压力和时间的增加而明显减少。此外,竞争抑制性ELISA实验来分析超高压处理对桃蛋白总IgE结合能力的影响(图4b)。结果表明,经过超高压处理的桃蛋白的IgE结合能力逐渐下降,并在500 MPa加压30 min时表现最为明显。这可能是由于桃蛋白的空间构象在超高压处理过程中发生了改变,导致抗原结合表位的破坏或掩蔽造成的。超高压处理会下调KU812脱颗粒后组胺,TNF-α及IFN-γ的释放水平,前二者有助于致敏性削减,后者不利于致敏性削减。而IL-4,IL-6表现出下调趋势,但这种趋势并不明显(图4c)。
图5 超高压处理对Pru p 3表位的影响
利用Proteinpilot软件对图谱数据进行分析,如图5a和图5b所示,ProteinPilot鉴定得到的桃蛋白酶切产物中的蛋白质和肽的数量在超高压处理后呈现先增加后减少的趋势,这可能是由于超高压处理引起桃蛋白结构的改变,从而影响了酶切效率。单独提取了Pru p 3的肽段数据发现,当压力为300 MPa时,检测到的肽段几乎覆盖了Pru p 3氨基酸的整个序列,这与未经超高压处理的样品结果一致。而在400 MPa时,检测到的肽的数量减少,在500 MPa时达到最低(图5c)。将检测到的肽段绘制成表格,并筛选出含有Pru p 3表位的肽进行分析(图5d)。在较低的压力下(≤400Mpa),一些表位肽没有被检测到,可能是由于超高压处理减少了这些肽段非特异性断裂的发生。例如,肽段19GGGAVPPACCN29和肽段19GGGAVPPACCNGIR32在未处理组都被检测到,而肽19GGGAVPPACCN29在超高压处理组(≤400Mpa)没有被检测到,这可能是由于天冬酰胺-29和甘氨酸-30之间没有发生非特异性断裂。然而,超高压处理也可能会加剧一些肽段的非特异性断裂。例如,肽段1ITCGQVSSSLAPCIPYVR18在未处理组中被检测到,而在超高压处理组(≤300MPa)中没有发现,而它的一些片段(1ITCGQVSSSLAPCIPY16、10LAPCIPYVR18和8SSLAPCIPYVR18)在超高压处理组被检测到。这可能是由于丝氨酸-7、丝氨酸-8、丝氨酸-9、亮氨酸-10、酪氨酸-16和缬氨酸-17之间的非特异性断裂增加,导致长肽1ITCGQVSSSLAPCIPYVR18完全断裂。当压力增加到500 MPa时,大量的肽段没有被检测到,可能是由于过高的压力改变了蛋白质的结构,使得大量的酶切位点被掩蔽,导致蛋白难以被酶切。主要被掩盖的酶切位点包括精氨酸-18和精氨酸-32。然而,在未处理组和超高压处理组都检测到肽33NVNNLAR39,这表明精氨酸-39附近区域的结构变化不明显,酶切正常进行。表位肽的变化主要集中在Pru p 3的前两个α-螺旋上。有非特异性断裂变化的位点和受影响的酶切位点也都位于这两个α-螺旋中。受影响较小的酶切位点(精氨酸-39)位于二级结构的无规则卷曲中,这也与之前的结果一致,即超高压处理对二级结构中的α-螺旋有明显影响,但对无规则卷曲无明显影响(图5e)。
● 创新性/应用前景
本文容主要通过光谱技术、质谱技术结合血清学和细胞学,深入分析了超高压处理对桃蛋白结构及致敏性的影响,并探索了超高压处理后Pru p 3主要过敏原蛋白可能发生空间构象变化的表位区域,对于阐释桃过敏机理,预防桃过敏及保护消费者安全、促进食品进出口贸易具有重大意义。
参考文献
https://doi.org/10.1016/j.foodchem.2023.136227 IF: 9.231 Q1
《食品工业科技》特邀主编专栏征稿
《食品工业科技》特邀主编专栏征稿:食源性功能物质挖掘与评价 ☚
群聊:食品工业科技作者群

温
馨
提
示
我刊正式组建微信作者群,为作者提供更多的学术与论文资讯,如需进群,请联系刘老师(微信:上方二维码,电话:87244117-8062)。









