
点击上方卡片,关注“德升生物”
自新冠疫情爆发以来,反反复复已持续几载,近期由于防控逐步放开,形势日趋紧张。继疫苗后,过去治疗中风、心肌梗塞,甚至癌症肿瘤的干细胞技术也被用于治疗新冠肺炎,特别是在临床上对急性呼吸窘迫症候群(ARDS)的重症患者治疗和恢复成效斐然。
我国首个
《间充质干细胞治疗新型冠状病毒肺炎
专家共识》发布
早在去年4月,我国首个《间充质干细胞治疗新型冠状病毒肺炎专家共识》发布,强调了下一步深入开展干细胞治疗新冠肺炎大样本临床研究的必要性。为国内间充质干细胞治疗新冠肺炎的临床研究和临床实践提供了规范和指导。
在抗击新冠肺炎这场战疫中,我国早已利用干细胞技术治疗新冠肺炎,并取得了很好的效果。与西药、中药等干预方法相比较,干细胞治疗能迅速修复受损组织,恢复组织和器官的功能,同时能增强人体免疫功能,安全、无副作用。
脐带间充质干细胞来源外泌体
雾化治疗新冠肺炎安全、简单、有效
今年,在《干细胞评论和报告》Stem Cell Reviews and Reports杂志(2022年影响因子6.692)上发表了一项来自江苏省无锡第五人民医院的临床研究,认为脐带间充质干细胞来源外泌体雾化治疗新冠肺炎安全可行。
整个临床研究结果表明,雾化吸入间充质干细胞来源外泌体作为一种安全可行的新的方法用于治疗新冠肺炎肺炎。最重要的是,如果在感染的早期阶段,就对患者进行雾化治疗MSC来源外泌体可能更有益。
《柳叶刀》发表1年随访数据!
干细胞治疗新冠重症随访长期有效技与创新
2022年上半年,解放军总医院第五医学中心感染病诊疗与研究中心主任、国家感染性疾病临床医学研究中心主任王福生院士团队公布了使用脐带间充质干细胞(UC-MSCs)治疗COVID-19重症患者随访1年的结果。
结果显示:脐带间充质干细胞给药对新冠肺炎患者肺部病变和症状的恢复具有长期益处,且患者症状更轻和生活质量更好,睡眠困难、日常活动和NRS评分均得到显著改善。
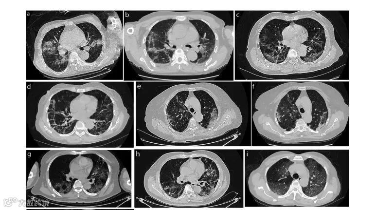
UC-MSCs对重症COVID-19患者肺损伤的影响
MSC治疗新冠肺炎的机制
之前的基础研究,揭示间充质干细胞可通过促进肺内炎症的修复和调节来治疗各种肺部疾病。虽然不同肺疾病的发病机制不同,但间充质干细胞在临床前的研究中显示出了积极的作用。
最近,临床研究发现,新冠肺炎患者的细胞因子谱在间充质干细胞治疗后发生了很大的变化。治疗主要机制是分化潜能、免疫调节、抗炎因子的分泌、迁移归巢、抗凋亡、抗病毒作用和细胞外泌体。
▍间充质干细胞可以改善肺损伤机制
研究者在一项开放性临床试验中调查了静脉注射间充质干细胞治疗H7N9的疗效,发现可降低H7N9感染患者的死亡率。
由于H7N9和COVID-19有相似的并发症,如急性呼吸窘迫综合征、呼吸功能衰竭和相应的多器官功能障碍,因此,间充质干细胞也可用于治疗重型新冠肺炎。
▍间质干细胞可以促进受损肺组织的再生
间充质干细胞具有较高的血管生成、神经生成等再生潜能。其具备的旁分泌作用可产生大量的可溶性细胞因子、趋化因子和生长因子等促进组织损伤的修复。
在国内,由上海大学、首都医科大学、郑州大学第一附属医院等多家机构合作发表的论文显示,间充质干细胞移植治疗改善了新型冠状病毒肺炎(COVID-19)患者的预后,患者的肺功能和症状在间充质干细胞移植后2天有明显改善。
▍间充质干细胞具备抗病毒的作用
间充质干细胞具备的归巢机制,可以有效抑制病毒对于组织器官的侵染及杀伤。既往的研究发现,静脉输注 MSCs 大部分会聚集在肺部。这对肺部疾病的治疗有很大好处。
研究发现胞外囊泡在 1.25~5 μg/mL 浓度范围内能抑制禽流感病毒、猪流感病毒和人流感病毒的血凝活性,抑制流感病毒复制和病毒诱导的肺上皮细胞凋亡。
干细胞是对抗新冠肺炎的「秘密武器」
防治新冠疫情,从短期来看,严格进行个人防护依然十分重要,从长期来看,提升免疫力才是对抗各类病毒最好的“特效药”!
干细胞有一个非常显著的特性—免疫调节特性,可以调节如抗原提呈细胞、T细胞、B细胞和自然杀伤细胞等重要免疫细胞的免疫功能。干细胞,尤其是间充质干细胞对免疫系统的调节特性具有双向性,在免疫力低下时候,起到增强免疫的作用,而对过强的免疫反应,会产生抑制作用。
通俗地讲,一方面,我们通过补充干细胞的免疫调节作用,补充免疫细胞的军库储备,在避免过度免疫的同时,加强免疫系统对敌军的敏锐探索,有效打击,实现免疫系统的双向调节。另外一方面,针对已经被累及的脏器,比如我们的肺部,干细胞进行特定修复,将被病毒毁灭的家园进行重建。
来源 | 未名大健康

