近年来,随着生物技术的发展,免疫细胞疗法被认为是继手术、放疗和化疗之后的第四大肿瘤癌症治疗技术。这其中最令人关注的便是CAR-T疗法,但同样人们也对这百万一针的天价神药望而止步!
你知道吗?除了CAR-T,还有NK细胞、CIK细胞这两大抗肿瘤的法宝,它们也都是身体内的免疫细胞,都可以通过自体血液提取,都可以用于临床疾病的干预。这两者到底有何区别?今天我们来认识和了解下。
除了百万一针的CAR-T
同样有效的NK和CIK有啥区别?
NK细胞
NK细胞是机体重要的免疫细胞,不仅与抗肿瘤、抗病毒感染和免疫调节有关,而且在某些情况下参与超敏反应和自身免疫性疾病的发生,是人体的第一道防线。不同于T、B细胞,NK细胞是一类无需预先致敏就能非特异性杀伤肿瘤细胞和病毒感染细胞的淋巴细胞。
CIK细胞
结合T细胞和NK细胞的表型,具有肿瘤杀伤活性。在体外经过多种细胞因子诱导培养后,可以大量扩增并具有强大的抗瘤活性和非限制性杀瘤的特点,对肿瘤细胞的精确识别杀伤能力很强(不损伤正常的细胞),适用于任何一期的肿瘤患者,且对多耐药瘤株同样敏感。
两者作用机制不同
NK细胞作用机制:
△通过释放细胞毒性颗粒杀伤肿瘤细胞;
△通过细胞表面合成的蛋白激活靶细胞凋亡系统杀伤肿瘤细胞;
△通过与肿瘤细胞表面抗体结合发挥细胞毒性作用进而杀伤靶细胞。
CIK细胞作用机制:
△直接杀伤肿瘤细胞;
△间接杀伤肿瘤细胞(调节人体自身免疫系统);
△诱导肿瘤细胞凋亡(不损伤正常细胞)。
NK细胞和CIK细胞在抗肿瘤方面,二者细胞类型不同,表型不同,对肿瘤细胞的杀伤机理不一样。
抗肿瘤方面,各有优点,NK细胞单个细胞杀伤活性强,CIK细胞增殖的倍数较大。也就是说CIK细胞数量可以较大,但是NK细胞数量有限,针对肿瘤患者的临床治疗过程中,还是以CIK细胞为主,NK细胞可以作为提高免疫力方面进行协同干预。
两者应用方向及功效略有差别
NK细胞的功效:
△清除体内衰老细胞,促进气血循环,增强胶原蛋白和纤维蛋白的弹性,改善暗黄、无光泽等肌肤老化现象;
△增强免疫细胞识别能力,有效杀伤清除各种异常分化细胞和肿瘤细胞,预防重大疾病;
△清除体内变异细胞和病毒、细菌,对各种老年慢性病有很好的预防和辅助干预的作用;
△补充人体大量活性免疫细胞和多种细胞因子,提升免疫力,达到新的免疫平衡,让生命重新焕发活力。
CIK细胞的功效:
△迅速提升精力,增强体质,改善睡眠质量;消除疲劳、乏力体虚等症状,调节亚健康;
△促进气血循环,调节代谢水平;改善肌肤暗沉,修复受损细胞;
△减少脂质和胆固醇,改善体形;改善性功能,延缓更年期;
△预防与辅助干预各种慢性炎症和免疫性过敏疾病。
临床案例佐证,NK/CIK细胞疗法
有效抗击肿瘤,延长患者生存期
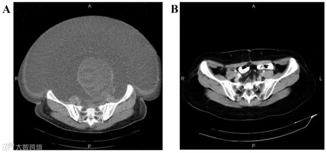
案例1:国外知名杂志《Oncotargets and Therapy》的一例试验报告显示:NK细胞疗法让晚期肝癌患者肿瘤显著缩小,从生存期仅3个月到超过4年!
△NK细胞输入前和治疗期间的CT扫描结果
案例2:国内一名60岁的卵巢癌晚期患者,在接受了体外扩增,高度活化的同种异体NK细胞的临床治疗后,CA125水平从11,270降至580,所有腹水都消失了。此外,CT扫描的肿块体积减小,并且没有出现副作用。
案例3:一名广泛期小细胞肺癌患者,在进行4个疗程化疗和4次高度活化NK细胞临床干预后,患者第一次进行治疗后的CT复查,结果显示,肿瘤缩小到了原来的1/8。而且距发病第六年的CT复查中,仍旧没有发现任何异常及复发的迹象。
研究表明,健康的免疫细胞
更有利于免疫细胞疗法
2017年,美国FDA首次批准自体CAR-T免疫细胞肿瘤治疗技术上市之后,当前免疫细胞肿瘤治疗已经在多个国家获批上市,在治疗多种血液肿瘤领域取得了叹为观止的临床效果。
然而,多项临床研究发现,高达30%-50%的癌症患者却因为缺乏足够数量和健康程度的自体免疫细胞,从而不能入选CAR-T治疗,或者即使入选了也未能够使用自体的细胞生产出足够数量的CAR-T细胞用于治疗。经过研究发现,造成该结果的最主要的原因之一是因为在肿瘤治疗的过程中采用的放疗和化疗均在杀伤肿瘤细胞的同时均大量杀伤自体的免疫细胞,导致了病人体内无健康的免疫细胞可以用于CAR-T生产。
这样的状况在NK/CIK疗法之中,同样如此。
在2021年,安德森癌症中心的研究人员发表在《The Journal Of Clinical Investigation》杂志上的一项研究表明,补充健康的免疫细胞,可以有效抑制癌细胞的转移,延长生存率。
研究还发现,不同年龄时段的免疫状态有很大的差异,更年轻的免疫细胞可以增强细胞临床治疗的效果。圣路易华盛顿大学医学院的研究表明,免疫细胞的年轻程度甚至对免疫疗法的有效性起到重要作用。
以免疫细胞为基础的免疫疗法,正在成为预防癌症和各种疾病的关键治疗方法。除了直接或间接杀伤肿瘤细胞、抵抗外来入侵,通过补充自身的NK细胞和CIK细胞也可以达到预防肿瘤的目的。
随着人体不断衰老,越来越多的细胞开始衰老凋亡、人体中的CIK和NK的数量在不断降低,且不可逆。那么通过补充免疫细胞(NK、CIK)来监控、清除衰老和突变的细胞,来最大程度降低患癌的概率,同时身体机能也得到了补充,令身体重新充满活力。
免责声明:本文来源于中科学研,本公众号所载文章归原作者所有,本文仅供参考并不构成任何应用建议,如文章内容涉及版权或其他问题,请及时跟本公众号联系,我们将在第一时间处理。我们多次学习最新广告法,守法是我们的责任义务,医学科学普及知识,我们尊重原创,也注重分享,部分图文素材来源于网络,如有违规或侵权,请及时联系我们会立即做出删除。

