Literature sharing
文献分享
在出血休克和复苏模型中,gaba能神经元中的NLRP3诱导认知障碍

许多研究报道,损伤引起的失血性休克会导致神经系统障碍,包括认知障碍和精神变化。最近有研究报道,失血性休克诱发脑缺血再灌注损伤,导致全身炎症反应。随后,许多炎症因子,如通过血脑屏障释放的白细胞介素-1β (IL-1β)和白细胞介素-18(IL-18)加重了脑损伤失血性休克和复苏的情况。我们之前的数据提供了出血休 克和复苏(HSR)后海马神经元焦亡显著相关的证据。因此,需要进一步研究特殊神经元焦亡与认知功能障碍之间的相关性及潜在的治疗方法。
伽马氨基丁酸(GABA)中间神经元是大脑中主要的抑制神经元,参与多 种病理生理过程,如认知功能相关的神经振荡、信息整合、皮层神经回路调节和海马活动(Prvot和Sibille,2021)。此外,研究证据表明,由淫羊藿苷(ICA)衍生的生物活性单体可以通过抑制nlrp3相关的焦亡来减轻神经炎症反应。然而,nlrp3相关的焦亡是否参 与了HSR后gaba能神经元的功能障碍,仍有待进一步的研究。本研究研究了暴露于HSR的小鼠是否表现出显著的认知障碍和gaba能神经 元的减少。此外,本研究还探讨了nlrp3相关焦亡在GABAergic神经元中的作用。本研究还探讨了ICA是否可以通过NLRP3信号通路缓解HSR后的认知功能障碍。
实验介绍及结论

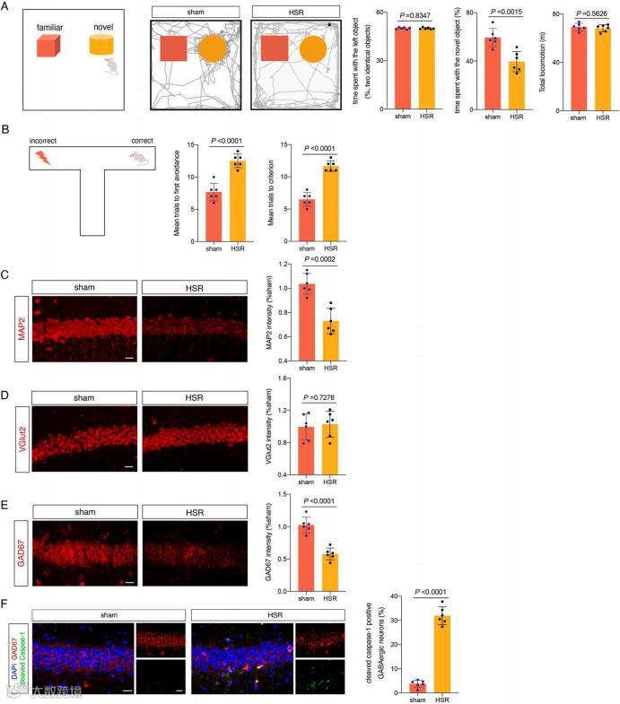
图1.HSR暴露导致海马CA1区GABAergic神经元的显著认知障碍和减少。

图2 在新物体识别测试中,HSR与海马振荡相关。

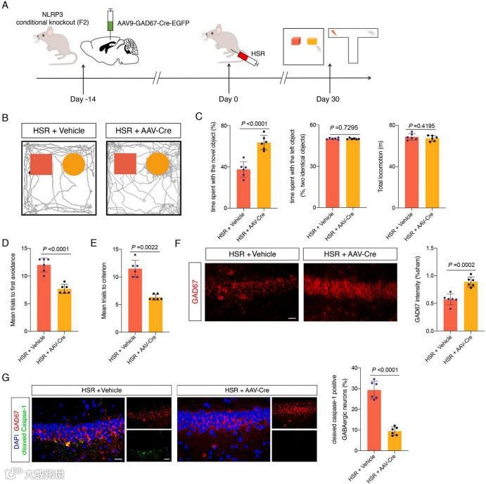
图3 GABA能神经元中NLRP3的缺失可减轻HSR后的认知障碍。

图4 gaba能神经元中NLRP3的缺失可缓解海马振荡障碍。

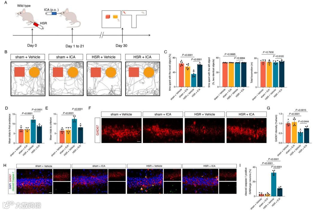
图5 ICA逆转了HSR诱导的认知损伤和gaba能神经元的丧失。

图6 各组患者在探索新物体过程中海马体振荡的变化。
2.4.新物体识别(NOR)测试
NOR测试利用了啮齿类动物对新奇性的固有偏好 揭示对之前遇到的物体的记忆,这主要依赖于海马体的活动.简单地说,小鼠在物体训练前,连续3天 在开放场地(40厘米长×40厘米宽40厘米×40厘米高)进行训练5 min。在 最后一次环境曝光24小时后,将两个40×40×40毫米的木制立方块放置在房间的一侧,并用胶带粘在地板上。然后给小鼠5 min来研究木质立方体。对 一个物体的探索被定义为动物的鼻子在2厘米远的区域内。在第一次测试24 小时后,安装了一个银色的金属圆筒来替换正确的木制立方体。然后给这些 小鼠注射5个min来调查这些物体。老鼠的运动是 跟踪使用计算机跟踪系统(Labmaze 3.0,众实迪创科技发展有限责任公司 ,北京,中国)。房间用75%的酒精清洗。识别指数的计算方法是除以花费 在新物体上的时间和花费在两个物体上的总时间。
NOR测试结果显示,暴露于HSR的小鼠比未暴露于HSR的小鼠在新物体上花费的时间更少,
2.5.t型迷宫的训练和测试程序
因为海马体包含代表环境中空间的位置细胞,所以在小鼠空间处理的认 知地图的形成可以在厌恶的t迷宫中进行测试(Okada et al.,2017)。根据之前的研究,t型迷宫既是基于工作记忆的学习任务,也是参考记忆任务(Farr et al.,2019;Okada等人,2017)。t型迷宫(众实迪创科技发展有限责任公司,北京,中国)被建立在一个恐惧的条件箱中。在t迷宫测试的训练阶段(HSR 后30天),一只小鼠被放置在起始箱中。试验间隔时间设为60 s。一周后(HSR后36天 ),通过连续训练小鼠来评估保留率,直到它们在连续6次试验中满足5次避 免的要求。结果以首次避免获得的试验次数和达到保留测试标准的试验次数 表示。
结论
这项研究提供了强有力的证据,表明暴露于HSR会导致几种认知障碍。这 一发现导致了新的研究发现,CA1中GABAergic神经元的减少与HSR后的认知障碍相关。本 研究还证实了GABAergic神经元中NLRP3的缺失可以减轻-HSR后的认知障碍。最后,研究发现ICA逆转hsr诱导的认知损伤,并增强GABAergic神经元的损失。因此,本研究认为ICA是一种潜在的治疗HSR诱导的认知障碍的方法。
据报道,海马体缺陷小鼠在24小时后表现出物体识别记忆受损,但不是5min的保留间隔(Hammond等。, 2004).本研究还表明,暴露于HSR的小鼠的 识别指数显著下降,这与之前的研究一致(Peng等,2013;Zhang等,2022) 。
综上所述,这些数据强调了HSR诱导的不完全性缺血和再灌注损伤可导致长期的 认知功能损伤,这可能与GABAergic神经元的功能障碍有关。
许多研究报道,ICA被公认为提供广泛的治疗效果,包括抗炎,抗氧化、抗癌和抗衰老作用(Hu等,2019年;Park等,2019年;Xu等,2020 年;Yoon等,2021年)。最近,有报道称ICA可以通过抑制NLRP3炎症小体的 激活来改善小鼠的狼疮性肾炎(Su et al.,2018)。也有研究表明,ICA通 过抑制nlrp3相关的焦亡,对缺血性中风提供了神经保护作用(Zheng et al. ,2022)。
本研究显示,ICA可减轻HSR诱导的认知损伤,恢复CA1中的 GABAergic神经元。本研究发现ICA抑制神经退行性疾病发展中的神经炎症。这些发现与之前的研究结果一致(Zhang,B。等人,2019年;Zou等人,2020 年)。本研究确定NLRP3是一个关键靶点,并证明了这种靶点如何影响 GABAergic神经元并导致HSR后的认知障碍。此外,本研究还探讨了ICA在对 HSR后的认知障碍提供神经保护作用方面的潜在治疗作用。但其临床应用仍 有待进一步研究。
rotation fatigue tester
Labmaze动物行为学分析软件 V3.0
&T迷宫实验


行为学实验


END
扫码关注我们
了解更多相关资讯

