看片,然后文章下面有详细解答。
基本情况:女性,24岁轻微咳嗽3天胸片如下
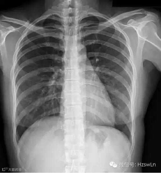
•[种类和检查方法]:胸部后前位片

答案:
[描述]:
胸廓对称、无骨折和软组织肿胀;
纵膈居中,无纵膈异常增宽表现;
心影形态正常,心胸比例小于0.5;
膈肌呈穹窿样,光滑、肋膈角锐利
无异常下移或上抬表现;
双侧肺门对称、无异常肺门增大;
两肺纹理清晰,无肺内异常密度表现。
[初步诊断]
正常胸片


中源协和辽宁细胞资源库看片,然后文章下面有详细解答。
基本情况:女性,24岁轻微咳嗽3天胸片如下
•[种类和检查方法]:胸部后前位片

答案:
[描述]:
胸廓对称、无骨折和软组织肿胀;
纵膈居中,无纵膈异常增宽表现;
心影形态正常,心胸比例小于0.5;
膈肌呈穹窿样,光滑、肋膈角锐利
无异常下移或上抬表现;
双侧肺门对称、无异常肺门增大;
两肺纹理清晰,无肺内异常密度表现。
[初步诊断]
正常胸片

