搜索
首页
大数快讯
大数活动
服务超市
文章专题
出海平台
流量密码
出海蓝图
产业赛道
物流仓储
跨境支付
选品策略
实操手册
报告
跨企查
百科
导航
知识体系
工具箱
更多
找货源
跨境招聘
DeepSeek
首页
>
【连载】每天学看一张X线片 !(第2期)
>
【连载】每天学看一张X线片 !(第2期)
中源协和辽宁细胞资源库
2015-07-18
2
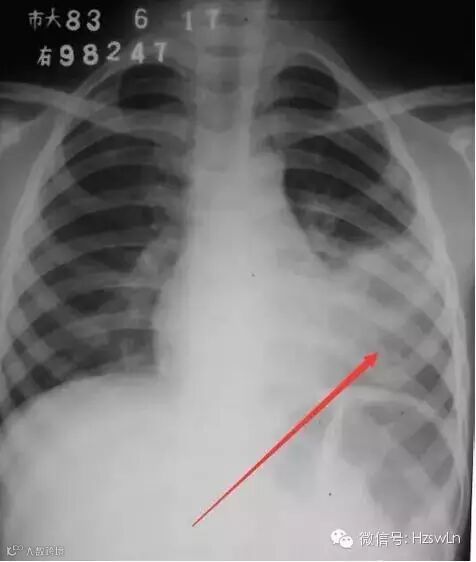
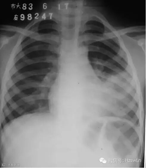
导读:基本情况:男性,12岁咳嗽、发热检查方法:胸部后前位片描述:左侧中下肺野中内带大片高密度影,密度不均,边缘模
基本情况:
男性,
12
岁咳嗽、发热
检查方法:
胸部后前位片
描述:
左侧中下肺野中内带大片高密度影,密度不均,边缘模糊。
初步诊断
:左下肺大叶性肺炎
如果对您有帮助,请转发到朋友圈让您的朋友因此而受益!
【声明】内容源于网络
0
0
中源协和辽宁细胞资源库
辽宁和泽生物科技有限公司,又称中源协和(辽宁)细胞资源库,是中源协和细胞基因工程股份有限公司在辽宁的实体库,致力于干细胞资源存储。
内容
4141
粉丝
0
关注
在线咨询
中源协和辽宁细胞资源库
辽宁和泽生物科技有限公司,又称中源协和(辽宁)细胞资源库,是中源协和细胞基因工程股份有限公司在辽宁的实体库,致力于干细胞资源存储。
总阅读
4.7k
粉丝
0
内容
4.1k