胸腔积液,俗称胸水,是很多肿瘤患者都会遇到的一个症状。它不是一个病,而是众多肿瘤患者在病情发展过程中的一种表现,或者说是一种并发症。肺癌是最常见的病因,乳腺癌、卵巢癌和胃肠道癌进展至晚期,都可能会出现胸腔积液。据统计,恶性胸水在晚期肺癌中,发生率高达60%。
胸水的来源主要有两种机制:恶性胸水:肿瘤直接侵犯胸膜或在胸膜上广泛转移,使胸膜表面毛细血管通透性增加,大量体液渗至胸腔。非恶性胸水:纵膈淋巴结广泛转移,淋巴管回流受阻而引起,多为漏出液(胸水构成成分正常)。

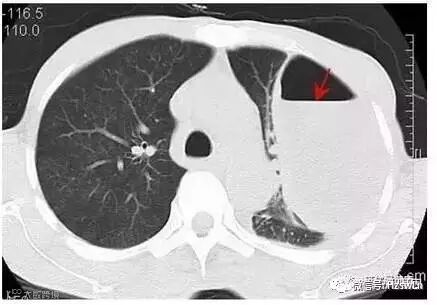
CT下的左侧包裹性胸腔积液
检查发现患者有中等到大量胸水时,会考虑穿刺抽取胸水。医生抽胸水的目的是:1、减轻患者水压迫症状,缓解病情;2、化验分析胸水;3、胸水引流后可以胸腔给药,起到治疗作用。
胸水能否做EGFR基因检测?
恶性胸水里癌细胞的比例非常高,对于不方便取组织样本做EGFR基因检测的患者,可以使用胸水样本送检。
胸水检测EGFR突变与组织一致率如何?
2016年Guan Y等发表于Genet Mol Res的文献表明,使用PCR和测序方法检测50例肺腺癌患者胸水和组织中EGFR 18、19、20、21外显子突变,结果表明,组织样本中EGFR突变率为34%,胸水样本中EGFR突变率为30%,胸水样本EGFR突变的检出率与组织相似,差异无统计学意义。

胸水进行基因检测的注意事项:

1、首先是细胞病理明确胸水中含有癌细胞,即要在显微镜下检查胸水里是否有癌细胞。
2、胸水需要多少,如何寄送?常规采集胸水体积≥40 ml,置于50 ml离心管中。将采集的标本放到泡沫盒内,冰袋冷藏(2-8℃)运输,要求标本采集后72 h内送达检测中心。如果有条件的话,可以把胸水离心一下,2000-3000转/每分钟离心10分钟,去掉上清,把细胞沉淀渣做成石蜡块,这个石蜡块就可以常温运输了。
3、胸水的癌细胞是源自目前癌病灶的脱落细胞,因此检测到的基因突变更能反映患者目前的基因突变情况。
针对临床实践中肿瘤组织检测的种种局限,探寻作为其补充或替代的其他生物标本进行EGFR突变检测具有重要临床意义,有助于提高临床患者的总体EGFR基因受检率。
欢迎关注中源协和基因微信




