
来源:科学网 作者:孙学军
许多人都盼望着一个新进展的公布,就是关于年轻血液抗衰老的临床研究,这一研究是基于10多年的动物实验结果。最近这一领域又有新的发现,就是在人类的脐带血中发现新的抗衰老分子TIMP2,给动物注射这种分子能提高动物的学习记忆能力。这一发现再次让许多人开始兴奋,认为是超人类抗衰老迈进一步,最重要的是这种研究有非常强的临床转化前景。
近日,《自然》在线发表的一篇论文显示,人类脐带血中的一种蛋白质可以活化年老小鼠的海马体,增强其认知功能。该发现或有助于开发靶向治疗老化大脑的疗法。
美国加利福尼亚州斯坦福大学医学院的Tony Wyss-Coray及同事之前已经表明,年幼小鼠的血源性因子可以抵抗较年老小鼠随年龄增长而来的变化。作者们在本文中表明,人类脐带血具有类似效果,并识别出了促使产生该效果的蛋白质——组织金属蛋白酶抑制剂-2 (TIMP2)。
这是一种在早期发育阶段会自然出现的蛋白质,而在年老小鼠被注射人类脐带血后,其大脑里面也出现了该蛋白质。在接受治疗之后,年老小鼠在学习、记忆和突触可塑性(大脑改变和适应新信息的能力)等各项测试中的表现都有所提升。综合而言,以上发现意味着生命初期出现的系统性因子可能有助于活化年老组织,TIMP2和/或TIMP2靶向的细胞可能是有用的药物开发靶标。

这些动物实验主要是采用共循环动物和注射血液中特定蛋白,发现在年轻动物血液中含有抗衰老蛋白,这种蛋白就是GDF11,人的血液中也含有这样的物质,而且随着年龄增加而降低,给老年动物补充这种细胞因子能对肌肉和神经产生抗衰老效应。关键相关研究论文发表在《细胞》和《科学》等杂志上。美国有两家企业也主持开展了人体试验,目前没有公布研究结果。最新这一研究虽然不是临床研究结果,但是从人类年轻血液中发现新的抗衰老分子,这是不仅是对过去的概念验证工作,也是这一领域的新发现,对促进和推动这一方向的研究有重要价值。据说一些重要生物科技研究,只要具有真正的商业开发价值,都是首先考虑的商业开发,不会发表学术论文,只有哪些被证明没有商业应用可能或失败的研究,才会被发表出来。所以看到这样研究论文,也应该多一个心眼,如果从发表学术论文角度,我们可以跟进,如果从应用角度,一定要考虑失败的可能性更大一些,因为这是完全公开的信息,保密是商业的基本特征,学术被商业化,早就已经是实事。
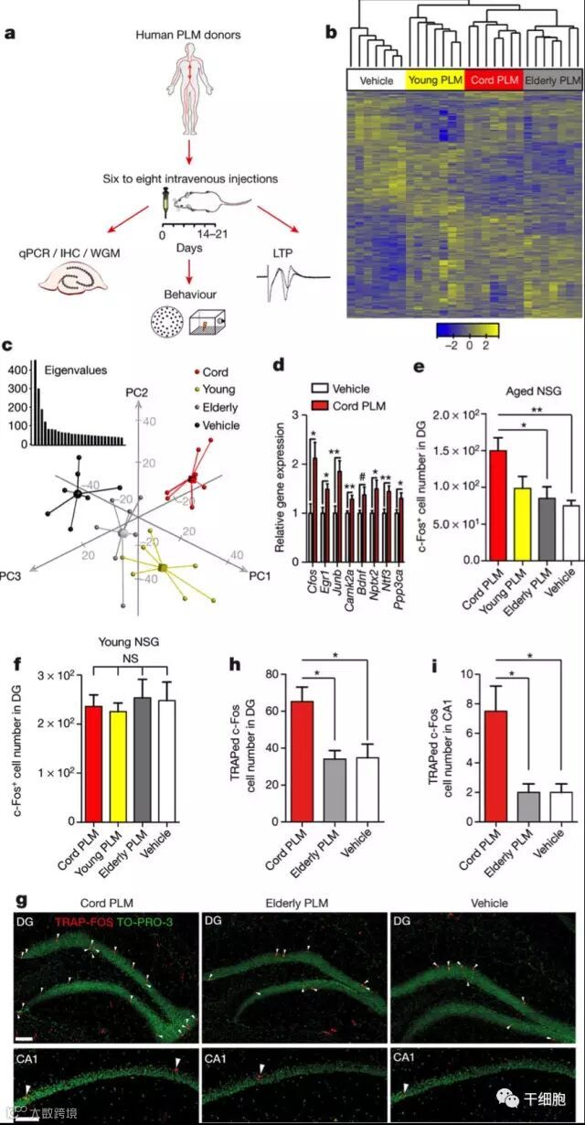
目前关于年轻血液抗衰老的临床研究至少有两个研究项目,其中一个是斯坦福大学神经科学家Tony Wyss-Coray赞助的,他本人亲自担任科学委员会主席。他和斯坦福神经科学家同事Joseph Castellano验证人类脐带血血浆的抗衰老作用,目的是从胎儿血液中发现可用于人类的抗衰老物质。他们的研究发现,给老年动物注射人类血浆能提高动物走迷宫能力,能学会躲避笼内电击装置,分析动物大脑组织发现,这些动物大脑海马神经细胞表达更多促进神经突触形成的基因,海马是负责学习记忆的重要中枢。随后对脐带血中和老年血中差异最多的66种蛋白进行研究,这些蛋白也在共血动物实验中进行比对。从其中发现许多候选蛋白。然后对这些蛋白用动物实验进行筛选。最后只发现其中一种蛋白TIMP2能提高动物的学习记忆能力。但是这种分子不能让已经丢失的神经细胞重新再生。
研究人员对TIMP2了解不多,推测这个分子是通过维持细胞和组织结构,产生促进学习记忆能力。虽然这种分子在年轻动物脑内表达,但过去从没有考虑到这种分子具有学习记忆能力。Wyss-Coray推测这种分子的功能是类似管家基因调节分子的作用,这些受到影响的基因是负责细胞和血管再生,这是产生作用的基础。




