干细胞又被称为“万能细胞”,因为能够不断分裂,并分化成任何类型的细胞而得名。在医学上,利用干细胞的这一特性,已经广泛的应用在了各种疾病的治疗研究中。

卵巢是人类孕育新生命的暖房,然而有一部分女性还在育龄期,就出现卵巢功能早衰导致不孕,失去繁衍生命的可能。卵巢功能早衰(premature ovarian failure,POF)是指女性40岁之前由于多种病因出现卵巢萎功能衰竭,被认为是导致不孕的“不治之症”。

该病的诊断标准是指: 40岁以前出现至少4个月以上闭经, 并有2次或以上血FSH>40U/L ( 两次检查间隔1个月以上) , 雌二醇<73.2pmol/L。这种疾病的发病率在育龄女性中超过1%,且近年来呈上升和年轻化趋势。
卵巢早衰对女性生殖健康的两大威胁主要是雌激素水平降低及生育能力丧失,雌激素水平降低增加了女性患骨质酥松和冠心病的危险。而处于生育期的女性提早闭经、生育能力丧失,容易出现抑郁、焦虑等心理问题。
随着干细胞研究的进展,为人类认识疾病的发生发展及开拓新的治疗方法提供了一条崭新的途径。干细胞治疗在基础研究领域获得了很大的进步,部分研究成果已开始在肿瘤疾病、自身免疫系统疾病、神经系统疾病、心血管疾病等多种临床试验中得到应用,在临床研究方面也获得了许多临床数据,发表了许多干细胞临床研究与应用的相关报道。
目前研究与应用较多的数成体干细胞,如造血干细胞骨髓移植等成功治疗白血病、地中海贫血病已经有10多年的历史,成体干细胞广泛存在于人体全身组织,易分离培养、扩增,免疫原性低,具有强大的迁移、免疫调节能力,对于修复组织缺陷及组织工程中作为种子细胞等方面都具有独特的优势。因此,间充质干细胞(MSCs)已在细胞治疗、基因治疗及组织工程等领域被广泛地研究与应用。
目前研究较多的MSCs来源包括:骨髓来源、脐带来源、外周血来源、胎盘来源、脂肪来源及羊水来源等。以下是小编按照不同来源的干细胞来例举这一技术目前的进展阶段。
1
骨髓干细胞
So-miaH等在动物实验中,将BMSC移植至环磷酰胺 (CTX) 化疗大鼠, 发现卵巢体积、各级卵泡数等都比化疗后未移植的明显增加(下图), 因此推断BMSC移植可以治疗化疗导致的卵巢损害, BMSC可能通过分化成特定的细胞类型并分泌VEGF从而影响卵巢重建。

骨髓来源的间充质干细胞存在以下问题:随着年龄增长, 干细胞数目会明显下降, 增殖分化能力减退; 不易取材, 属侵袭性操作; 制备过程不容易质控; 移植给异体可能引起免疫反应,这些都使得骨髓间充质干细胞的临床应用受到限制。
2
脐带干细胞
1991年McElreavey KD首次报道从人脐带的华通胶 (Wharton's Jelly) 中分离并培养到了脐带间充质干细胞(umbilical cord mesenchymal stem cells, UCMSC) 。脐带MSCs具有与骨髓MSCs类似的生物学特征,然而其在增殖能力、分化能力等方面优于骨髓来源MSCs,同时两者在细胞因子的分泌上亦有所不同。
其中脐带的来源较为广泛,并且相对骨髓而言取材明显便利,属于医疗废弃物,对供者无不良影响,同时异体移植无免疫排斥或排斥较弱,因此在临床应用上具有广阔的前景。
目前脐带MSCs已被用于针对系统性红斑狼疮、帕金森综合征、类风湿关节炎、肾损伤、失代偿期肝硬化、肝衰竭等领域的研究治疗,并且还可以作为基因治疗的载体细胞。
北京协和医学院吕晓丹通过动物实验研究证实,通过注射脐带MSCs能明显提高卵巢储备能力,细胞的增殖能力和生育能力。

南京鼓楼医院生殖医学中心与中科院遗传与发育所戴建武再生医学研究团队合作,于2015年在国际上率先开展脐带间充质干细胞干预卵巢早衰合并不孕症临床研究,戴建武团队设计了可注射智能型胶原支架材料结合脐带间充质干细胞,用于卵巢功能重建。
两年来,该临床研究已入组患者23人,随访发现9位患者有优势卵泡活动,已有2位患者获得临床妊娠,另有2位患者已经获得可移植胚胎,正在准备子宫内膜等待移植。
3
脂肪干细胞
脂肪干细胞 (ADSCs) 是发现较晚的一种成体干细胞。ADSCs最初是通过培养来源于抽脂技术的脂肪组织而发现得到的, 其取材较为方便, 受到各个研究机构的青睐。ADSCs具有抗氧化、消炎的作用。ADSC表达并分泌多种造血细胞因子,包括巨噬细胞克隆刺激因子和粒-巨噬细胞集落刺激因子。并且分泌细胞凋亡和血管生成因子,包括VEGF、HGF和TGF-β,在缺氧条件下,VEGF分泌增加,内皮细胞增加。毛细血管密度也增加,局部灌流量增加。
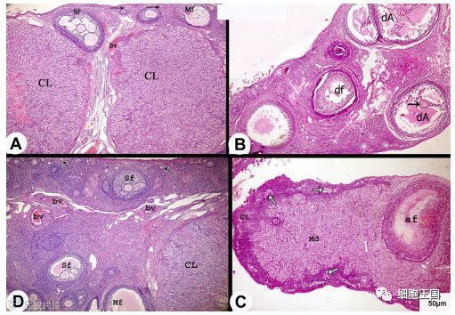
国内有学者动物实验中发现,ADSCs经卵巢原位注射和尾静脉移植1周及1月后,卵巢组织中空泡及闭锁卵泡明显减少,颗粒细胞数量增多且呈放射状整齐排列,各级卵泡数目增多,窦状卵泡明显增多,可见很多排卵前卵泡,间质纤维化程度减轻,卵泡生长活跃,透明带较清晰,颗粒细胞层次多,卵泡液含量增多,黄体数量多,发育良好,证明脂肪干细胞对卵巢早衰有一定的治疗作用,在临床应用方面具有潜在价值。


经过干细胞治疗1周及1月后排卵变化,治疗组排卵数目显著增多
4
羊水干细胞
人羊水来源的间充质干细胞 (human amnion-derived mesenchymal stem cells, hAD-MSCs) 在体外诱导培养条件下, 可分化成来自3个胚层的所有细胞。
国外学者发现HuAFCs可以分化成三胚胎生殖干细胞, 移植HuAFCs可以保护化疗导致的卵巢形态和功能异常。

第四军医大学西京医院妇产科李洁和她的研究小组在动物实验中:通过尾静脉向小鼠注射移植人羊水干细胞,发现卵巢均有新生卵泡,推断羊水干细胞可能通过促进卵泡生成,调节雌激素分泌,从而改善了卵巢功能。
卵巢早衰是女性生殖系统健康的最大威胁之一, 一直以来如何治疗各种原因导致的卵巢早衰成为困扰医生一个的难题。 间充质干细胞在临床前的卵巢早衰治疗中, 已经取得了叹为观止的效果, 但要其最终为临床治疗服务,要取得突破还需要物理、数学、化学等多学科的协同作用, 做实基础领域的研究才能在未来的临床应用中拥有更大的价值。




