多发性硬化( multiple sclerosis,MS)是一种T细胞介导的自身免疫炎性中枢神经脱髓鞘疾病, 常累及脊髓至大脑白质,也可累及大脑灰质及周围神经,以青少年群体多发。
作为全球最为常见的神经疾病之一, MS在很多国家都是年轻患者非创伤性神经性残疾的首要病因。
一
MS的临床症状包括感觉异常、四肢运动功能障碍、视觉损害、共济失调和精神症状;部分患者有眼球震颤,形式多变。
二
1、遗传因素:患者一级亲属的发病风险约为普通人群的7倍。
2、病毒感染:MS的发病诱因为前驱病毒感染,继而引发多种免疫细胞功能紊乱,随之介导自身免疫反应。T细胞分泌大量炎性细胞因子和趋化因子,招募炎症细胞,引发炎性破坏;B细胞通过细胞介导的细胞毒作用(ADCC)引起髓鞘损害和轴索损伤。最终导致神经功能缺失。
3、光照不足和Vd缺乏:流行病学和实验室证实高Vd水平可降低患病风险。
三
目前,临床上主要采用激素联合免疫抑制剂和β干扰素治疗MS,但这种治疗方法只能部分改善患者的临床症状及延缓其疾病进展,而无法逆转炎症对神经轴索和神经元的损伤。不仅存在严重的副作用,而且大多数患者无法控制病情,一般持续发展20~30年直至死亡,少数患者甚至在几年内就走完整个生命历程,非常令人痛心和悲哀!
四
MSC 存在于人体骨髓、胎盘和脐带等组织中,是一种具有自我更新和多向分化潜能的细胞,可直接替代受损细胞或通过多种机制间接发挥内源性修复作用,如免疫调节、分泌神经营养因子等。近年来,干细胞治疗MS 的研究已成为热点。
五
1、MSC 的免疫抑制功能
1.1细胞间的直接作用
细胞间的直接作用主要体现在对多种免疫细胞活动的影响。MSC可作用于CD4+T细胞,抑制辅助性T细胞1的增殖,促进具有抗炎作用的调节性T 细胞的产生。此外,MSC 还可以抑制CD8+T细胞的细胞毒作用,减少T 细胞对神经髓鞘的直接损伤作用。
1.2旁分泌
MSC可以分泌多种抑制炎症的细胞因子,发挥免疫抑制作用。主要是吲哚胺2,3-二氧化酶(indoleamine-2,3-dioxygenase,IDO)和一氧化氮(nitric oxide,NO),发挥了尤为重要的作用。
2、MSC 的免疫调节功能
正常人体内,介导免疫耐受的调节性T细胞与参与自身免疫的辅助性T细胞17处于动态平衡状态;而MS患者体内这一平衡被打破,辅助性T细胞17与调节性T细胞的比值显著高于正常人群,导致自身免疫对机体的破坏。MSC可以促进调节性T细胞的增殖,恢复辅助性T细胞17与调节性T细胞的正常比值。
3、MSC的神经保护和修复功能
MSC具有在特定环境下分化为神经细胞的功能,这对于受损神经修复的研究具有重要意义。研究表明MSC可透过血脑屏障进入脑内,并在此分化为神经细胞。
六
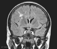
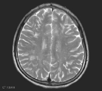
患者,男,17岁,因“反复头痛3年,视物模糊10天”。入院前3年患儿出现反复头痛,不伴发热、咳嗽、抽搐。多次于外院行头颅MRI 显示脑、脊髓、胸髓多发脱髓鞘病变(多处脑组织可见片状不规则异常改变;头颅MRI:颈髓中部可见斑片状异常信号,符合脊髓脱髓鞘病变;颅MRI:脑及胸髓内多发病变)。淋巴细胞亚群示:CD19+20%,CD20+ 17.3%。
左图:头颅MR 示双侧侧脑室旁多个点状、右侧半卵园中心多个片状T2 高信号。右图:头颅MR 示右侧侧脑室顶部多个片状T2 Flare 高信号。
以骨髓间充质干细胞治疗,输注MSCs前患儿双下肢仍有麻木、乏力感,在扶持下可站立及勉强走动。第1次治疗一周后,双下肢肌力较前好转,感觉较前灵敏,无麻木感,能独立行走几步。患儿第3次治疗后,可独行20余米,双下肢感觉障碍较前明显好转。第5次输注MSCs后患儿运动能力明显好转,可跑步200多米。疗程全部完成后,运动能力基本维持正常。在MSCs治疗期间患儿淋巴细胞亚群CD19+、CD20+ 一直保持正常水平。
看到上面的案例,真心为接受治疗的孩子感到高兴。也希望类似的科研成果能逐步应用于患者,造福于人。
来源:网络



