对于许多患有晚期器官衰竭的患者,器官移植已成为最有效的治疗选择。但不幸的是,器官移植后需要长期服用免疫抑制药物,来避免移植物排斥反应,而这些免疫抑制药物具有极大的副作用,会大幅增加患者感染、恶性肿瘤、心血管和代谢并发症的风险。

(图片来源:Craig Stennett/Alamy
如果诱导产生供体特异性免疫耐受,就能克服这个问题,也可以减少免疫抑制剂的使用。
据《Stem Cells Translational Medicine》杂志报道,一例活体肾脏移植受者用间充质干细胞输注诱导免疫耐受获得成功的案例。在没有使用免疫抑制剂的情况下,可完全耐受新器官18个月。

01.
世界首例器官移植免疫耐受诱导成功
不久前来自意大利的研究者报道了一例活体肾脏移植受者用自体骨髓间充质干细胞(BMSCs)输注诱导免疫耐受获得成功的案例。截止到研究人员在 Stem Cells Translational Medicine 杂志发表论文时,患者已经18 个月没有接受免疫抑制药物治疗。
研究人员表示,本病例提供了新的证据,证明在活体肾移植中,自体骨髓间充质干细胞输注可在移植后安全、完全停用维持性抗排斥药物,最终达到免疫耐受状态。
事情是这样的:在2010年10月,一位患有终末期肾病的 37 岁男性,接受了活体肾移植,同时参与了一项经体外扩增的自体BMSCs移植前输注的安全性和可行性试验研究。在器官移植前一天,患者进行了自体BMSCs 输注,并在器官移植后的六天内,每天静脉接受低剂量的兔抗人胸腺细胞免疫球蛋白输注治疗。

患者经器官移植前回输BMSCs,之后肾功能迅速恢复,且在移植后 2 年内功能稳定。同时血液检测结果显示,患者对供体肾脏产生了耐受性。患者所服用的免疫抑制剂逐渐减少,直到完全停止服用。截止报道时,患者已经 18 个月没有使用免疫抑制剂,且移植后的肾脏功能正常。

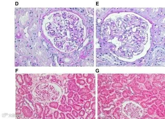
▲患者移植后1年(D,F)和8年(E,G)肾活检显示患者具有免疫耐受状态
研究人员认为,本案例成功真正归因于移植前干细胞输注所诱导出持续促耐受性环境。
02.
干细胞与免疫抑制
干细胞是一种存在于多种组织中,具有自我复制能力和多向分化潜力的细胞。20世纪70年代,科学家通过贴壁分离培养的方法,从骨髓中分离出一种成纤维细胞样的细胞,具有分化为成骨细胞的细胞集落,而且支持造血克隆的形成。随后这类干细胞被命名为“骨髓基质/干细胞”(即MSCs)

2002 年,Di Nicola M 和 Bartholomew 等人发现干细胞具有强大的免疫抑制能力,具有低免疫原性,很难引起免疫排斥反应。

▲干细胞在同种免疫反应中的免疫调节作用
干细胞的免疫调节特性,非常有利于用于治疗免疫性疾病,包括移植排斥反应和自身免疫性疾病。干细胞可以通过抑制淋巴细胞的增殖、抑制抗原呈递细胞分化成熟及功能发挥、抑制CTL形成、增加调节性T细胞比例等多种途径发挥免疫调节作用。
近年来,在再生医学领域,干细胞逐渐成为抵抗免疫排斥、诱导免疫耐受、长期维持移植器官的理想细胞,并取得许多令人兴奋的结果。
03.
前景展望
器官移植前输注干细胞,是有望克服免疫排斥的最新方法之一。动物实验证实,移植前,进行干细胞输注,似乎可以通过一种“教育”的方式来抑制受体对供体器官的免疫排斥。
未来,针对器官移植排斥反应发生机制的不断探索,相信移植间充质干细胞治疗异体器官移植的排异反应终将走向成熟。



