每年在世界各地进行超过 200 万次骨移植,这些骨移植常常是由于交通事故,战争或肿瘤移除而导致的严重的骨损伤。这种损伤可能使得受损骨组织间的间隙太大,以至于不能桥接。移植需要将患者或捐赠者骨骼的组织植入间隙。
不幸的是,骨移植有缺点。一个问题是,足够的健康骨骼并不总是可用于修理;此外,来自捐赠者的移植物可能不能完全地整合或生长,从而导致修复失败。
以细胞为基础的特定治疗方法的研究近十年取得了显著进展,尤其是极具应用潜力的成熟多潜能间充质干细胞(MSCs)的再生治疗,前景可期。
间充质干细胞(MSCs)已经被临床应用于骨骼肌肉系统多出组织的再生的研究,研究发现间充质干细胞中众多具有成骨能力的因子,包括一些骨形成蛋白(bone morphogenetic proteins,BMPs),其中人重组BMP-2和BMP-7(OP-1),已于2004年被美国食品药品管理局(FDA)批准临床限制性使用。这些因子可与合适的生物材料或细胞制剂结合,用于探索再生手术的可行方法。过去的20年间,有大量的临床表明,包括骨髓、骨髓浓缩液及体外细胞制剂在内的一些细胞制剂可有效促进骨折不愈合、临界阶段性缺损及骨坏死中骨骼的修复。
间充质干细胞(MSCs)在肌肉骨骼再生的临床应用
1.利用生物医疗3D打印和干细胞制造出可再生新骨骼
2016年,爱尔兰的科学家们开发出了一种新技术,可以3D打印出复杂的大型软骨植入物,这种植入物可以形成支架供骨骼再生。该项研究成果被发表在了《Advanced Healthcare Materials》杂志上,论文题目是《用于整个骨器官工程的可发展3D打印模板(3D Printing of Developmentally Inspired Templates for Whole Bone Organ Engineering)》。据了解,研究人员使用的方法包括用3D生物打印技术制造出软骨模板,后者已经被证明可能够辅助完成骨器官的生长。



这项研究为未来患有复杂的骨外伤和由于肿瘤切除导致大面积骨缺损的患者提供了真正的希望。此外,这种生物方法也可以用于开发下一代的生物植入物,以用于膝关节和髋关节置换。
2.间充质干细胞再生膝盖软骨
《Herald Sun》报道,澳大利亚医学家用干细胞再生受损的膝盖软骨,这项研究是与麦哲伦干细胞(Magellan Stem Cells)合作完成,由莫纳什大学和拉筹伯大学监督,是澳大利亚首例试验,将患者自身的分离和扩展的间充质干细胞注入到自己的膝关节中,两项研究共涉及70名患者。

最初的结果显示,那些在墨尔本干细胞治疗中心(Melbourne Stem Cell Centre)的病人中,有一半病人感受到的痛苦减少了四分之三,并且膝关节功能有了很大的改善。部分患者的关节再生,尤其是当MRI图像显示26岁的患者Ollie Thursfield的膝盖十年之久的缝隙居然被新的软骨填补。
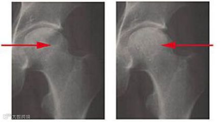
3.髓芯减压植骨术联合脐带间充质干细胞移植治疗股骨头坏死
沈阳医学院附属中心医院骨外四科选择2010年5月至2013年5月住院的股骨头坏死病例27例患者,进行髓芯减压植骨术联合脐带MSCs移植治疗。27例患者术后12~20个月 (平均18个月) 随访, 按Harris髋关节功能评分, 疼痛消失, 能从事各种劳动, X线片或MRI显示股骨头基本正常23髋 (76.7%) ;疼痛明显减轻, 行走基本正常或者轻微跛行7髋 (23.3%) ;行走间距延长28髋 (93.3%) , 髋关节功能障碍明显好转18髋 (60%) 。

髓蕊减压术加脐带间充质干细胞移植治疗股骨头坏死,有效再造坏死区骨质。
全文请点击《股骨头坏死之干细胞治疗,还您健康新希望!》阅读。
在再生骨科领域,间充质干细胞(MSCs)用于半月板、椎间盘、韧带和肌腱以及肌肉损伤的治疗都获得了可靠的数据支持,并有文献报道。大量MSCs应用相关的临床研究仍在进行中。除了用于肌肉骨骼再生,近年来关于MSCs用于心肌梗塞、中风、脊髓损伤后神经再生、移植物抗宿主病、一些孟德尔遗传疾病以及其他疾病治疗的临床试验有文献报道。
在运动医学领域,再生生物治疗诞生后在近年来引起广泛关注。例如临床应用PRP促进包括肌腱、软骨、骨肌肉及涵盖所有骨骼组织的愈合,已经成为治疗选择的常规项目。但越来越多的临床数据显示,PRP治疗存在明显的局限性,而干细胞可以完美地补足这一现有治疗方法的缺陷,人们对以MSCs为基础的肌肉骨骼系统再生治疗有着不断增长的需求,期待以间充质干细胞为基础的治疗在骨科领域得到广泛应用。
参考文献:略




