
▲ 点击观看讲座视频
一、BPD的发病机理
胎龄小于28周的早产儿肺发育接近囊泡期,产前产后事件导致BPD风险指数高,或有发展为新生儿慢性肺病(CLD)的风险,易合并长期并发症,包括哮喘、肺气肿和神经认知障碍等。
BPD的主要病理标志是肺泡停止发育,表现为大的、简化的远端空域和变形微脉管系统,空域的扩大和减少的分隔与成人的肺气肿变化具有形态学相似性;间质纤维化,类似成人的矽肺;肺泡上皮损伤及气道高反应性(如哮喘),这些可通过新生啮齿动物的高氧暴露实验性地复制。

二、BPD的治疗现状
BPD的传统治疗手段包括使用小剂量激素抑制炎症反应、咖啡因兴奋呼吸、维生素A修复粘膜、高热卡喂养促进体重增长等。但这些方法均存在一定的局限性,并且只能起到缓解症状的作用,不能促进肺泡的重新生长和诱导更加正常、复杂的肺泡结构发育。
近年来,随着细胞科学的不断发展,细胞治疗作为新生儿慢性肺部疾病的替代或补充治疗方法的研究正成为目前的热点。
三、脐带血的应用现状
01
脐带血的成分
脐带血含有粒细胞、淋巴细胞、单核细胞、造血干/祖细胞、间充质干细胞(MSCs)、红细胞及血小板等。脐带血还包含营养素和代谢物,可洞察胎儿生长过程中发生的事件,并有助于预测出生后疾病的发展。
02
脐带血的优点
脐带血为实物冻存,容易获取,具有低免疫原性。去红去浆的脐带血中主要包含了有核细胞TNC(其中包括单个核细胞MNC),还含有极少量的MSCs。
03
脐带血的应用
脐带血的应用最早起源于血液科,但是目前应用的病种越来越广泛。以北京市脐血库的数据为例,脐带血除了用于血液病以外,还有在BPD、糖尿病、帕金森病等多个领域的尝试。

▲ 北京市脐血库临床应用数据,2021年2月。
四、脐带血在新生儿BPD中的科研应用
脐带血-单个核细胞(CB-MNC)富含干细胞和祖细胞,能够自我更新、分化为各种细胞表型,其旁分泌效应有助于组织修复和免疫调节,并且易于通过低成本和直接的物理手段分离。自体脐带血MNCs可以在出生后数小时或数天内容易且安全地施用,其量可足以立即产生效果,而不需要扩增。低温保存的脐带血储备可用于同种异体,全球有超过70万份脐带血单位可供公众使用。

研究已证明,CB-MNC全身或气管内给药在多种成人肺部疾病中具有生物活性和再生功效,包括过敏性哮喘、肺纤维化/矽肺病、急性呼吸窘迫综合征(ARDS)、急性肺损伤、肺气肿和肺动脉高压。新生儿肺部疾病具有与成人肺部疾病相似的几个特征,包括肺泡增大(形态学上类似于肺气肿)、间质纤维化(如矽肺病)、肺泡上皮损伤(如ARDS),以及支气管高反应性(如哮喘)。因此,推测CB-MNC也可能减轻新生儿肺损伤。
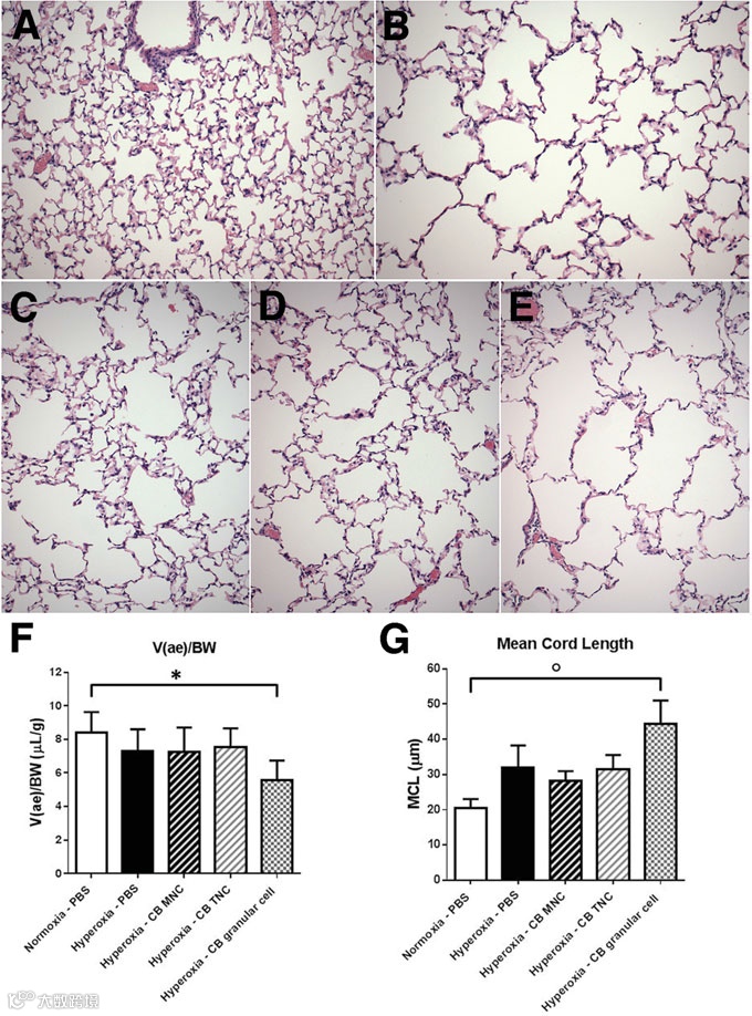
· 细胞治疗后肺实质的情况

A. 常氧暴露的对照动物显示复杂的肺泡网络。
B. 从出生到出生后7天90%高氧暴露,空域大而简单化,复制了新型支气管肺发育不良的假性气肿特征。
C. MNCs静脉内治疗的高氧模型,显示区域性增加的肺泡复杂性。
D. TNCs静脉注射显示与暴露于高氧的动物肺泡相似的形态。
E. 颗粒细胞静脉注射,肺泡增大和空域,缺乏肺泡隔膜。
· 细胞治疗后肺功能的情况
用乙酰胆碱激发下的牛顿阻力(RN)和呼吸系统阻力(RRS)来评估。
当MCH浓度5~10 mg/mL时,高氧组RN、RRS明显高于常氧假对照组,经MNC处理的动物RN明显低于高氧动物。

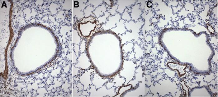
· 细胞治疗后气道肌肉化情况
MNC诱导的高氧暴露动物MCH反应性降低的机制,通过抗平滑肌LPha和b、肌动蛋白(sma)免疫染色研究气道肌化。
高氧动物气道周围的平滑肌与正常对照组动物的平滑肌无区别。MNC处理的高氧动物(C)、TNC和颗粒细胞处理的高氧动物的SMA染色,也与PBS处理的对照组相似。与更专用的哮喘模型(如卵白蛋白模型)不同,高氧和细胞治疗的效果主要是功能性的,而不是形态学的。

· 细胞治疗全转录组分析
在前期动物模型水平评价CB-MNCs治疗BPD有效性的基础上,利用不同差异分析方法(包括limma-trend、limma-voom、DEseq2、edgeR、cufflinks)对转录组数据进行分析,并做共交集分析。

左图:对比MNC输注前后,获得556个显著性差异基因;
右图:对比MSC输注前后,获得323个显著性差异基因。
CB-MNCs输注对转录组变化的改变幅度大于UC-MSCs输注。
·差异RNA的GO分析

通过对前述共表达差异基因采用严格的FDR校正的GO分析,结果显示,CB-MNCs输注后,在生物通路(BP)、细胞成分(CC)、分子功能(MF)三个角度,多条与细胞增殖、代谢激活和染色质转录调控的通路被显著富集到,在UC-MSCs输注后被显著富集到的只有MF亚类的转录共表达因子。
· 临床试验研究现状
基于以上组织、功能、RNA的动物研究结果,CB-MNC的临床试验逐渐开展起来。目前全世界研究CB-MNC治疗BPD的试验共有26项。

1. 胎龄25+w,纠正胎龄36周之前。

现已3岁,生长发育及肺部情况好,未发现其他并发症。
2. 胎龄25+w,外院诊断重度BPD,生后120天仍未能撤离呼吸机入院。
输注脐带血后气道高反应性缓解。

五、总结
临床研究结果显示,脐带血干细胞有望成为早产儿BPD的治疗手段。为了评估其长期安全性,需针对脐带血干细胞治疗早产儿继续长期随访研究。中国人民解放军总医院第七医学中心八一儿童医院将进一步开展CB-MNC治疗BPD早产儿的III期临床对照研究,并对患儿随访到学龄期。
北京大学人民医院王建六教授点评:
脐带血是指胎儿娩出、将脐带结扎并离断后残留在胎盘和脐带中的血液。脐带血中含有大量的干细胞,包括造血干细胞和多种其他干细胞,统称为脐带血干细胞。脐带血干细胞无害,不会对患者、提供者造成创伤,没有损害,只有好处,是很好的资源。以前脐带血干细胞主要用于骨髓移植,现在已经可以用于多种成人、儿童和新生儿疾病的治疗。陈佳教授为大家分享了脐带血-单个核细胞治疗新生儿BPD的科研应用,可见脐带血治疗BPD新生儿取得了不错的成果,相信未来脐血干细胞在妇产科领域的应用会越来越广!



