为推进院企深层次合作,进一步加速科研成果临床转化。10月8日,天津大学海河医院沈军院长,吴琦教授一行莅临中源协和参观交流。
中源协和细胞基因工程股份有限公司副总经理师鸿翔、协和干细胞基因工程有限公司总经理杨文玲、中源协和生物细胞存储服务(天津)有限公司副总经理卢泽平、运营总监阎颜等公司相关负责人热情接待了沈军院长一行,并陪同参观与座谈。
自从2018年3月13日,天津市海河医院与中源协和旗下中源协和生物细胞存储服务(天津)有限公司签署了战略合作协议并正式启动战略合作以来,双方联合各自优势,结合基础研究,动物实验和临床研究项目,产学研用,在干细胞的医疗转化和产业化领域形成合力,推动干细胞从学术向临床的转化。
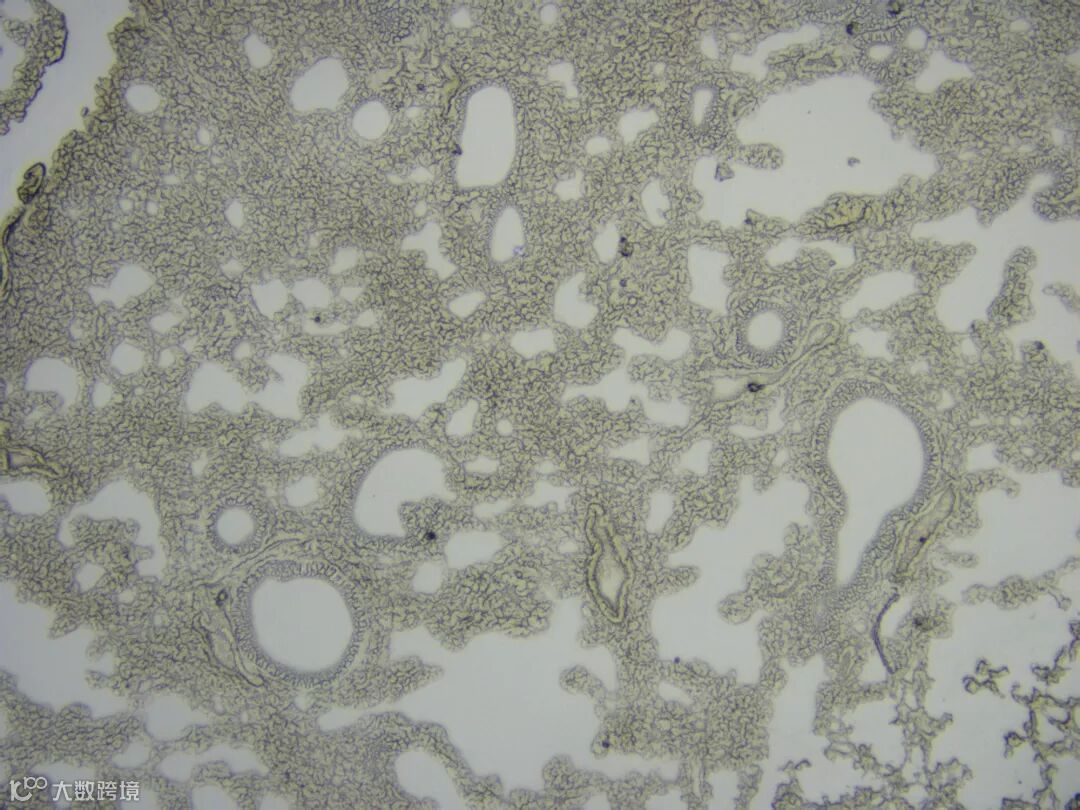
另外,中源协和与天津市海河医院共同申报的2018年天津市重大疾病防治科技重大专项项目《hUC-MSC干预特发性肺纤维化的治疗技术研究》,临床前研究获得政府资助。根据动物实验的最新结果,人源脐带MSC经荧光标记后通过尾静脉注射到造模小鼠体内,可在肺组织中清晰见到标记的MSCs,并起到良好的逆转肺纤维化的治疗作用。
(动物实验新结果照片)
为进一步推进双方合作,沈军院长率队深入中源协和考察交流。来宾一行参观了中源协和生命科技体验馆、国家干细胞工程产品产业化基地、天津市脐带血造血干细胞库、实验血液学国家重点实验室以及CAR-T生产研发区,并对中源协和进行产学研合作的情况进行了详细了解。

中源协和副总经理师鸿翔在随后的座谈中对来宾的到访表示热烈欢迎,并表示中源协和深耕生命医学产业多年,在产业研发及临床转化方面积累了丰富的经验。希望双方在已有合作项目的基础上不断拓展合作空间,共同推动产业发展。
协和干细胞基因工程有限公司总经理杨文玲表示,从国家到地方,都在大力支持干细胞行业。中源协和与海河医院此前已启动干细胞战略合作,希望双方继续优势互补,实现共赢。

天津市海河医院院长沈军表示,通过此次的参观访问,看到了中源协和雄厚的公司实力以及先进的实验室设施配置。中源协和在干细胞领域具有深厚的资源和技术积累,海河医院对双方合作的项目寄予很高的期待,未来也将全力推进院企更深层次的合作。
干细胞与转化医学是 “十三五”国家重点研发计划项目。海河医院在干细胞基础研究及临床领域具有多年经验,中源协和在干细胞领域也有深厚的资源和技术积累,未来双方将优势互补,共同发展,不断开拓新的合作空间,造福更多患者。作为生命科技创新型企业,中源协和将不断加大科研投入,推动行业蓬勃发展。




