都说“红颜易老恩先断”,而卵巢,是女性生殖系统里地位极重要的器官,关系着女人一生的健康与幸福。
卵巢保养得好,面部皮肤光滑细腻、气色红润;卵巢出现衰老,不仅影响容颜,更会影响生育,甚至导致不孕。
随着干细胞技术的发展与应用,研究发现,脐带间充质干细胞在治疗卵巢早衰中起到了很好疗效。未来,可能会应用于卵巢早衰的治疗中。
大咖丨昌晓红
来源丨中国医药生物技术
北京大学人民医院
妇科肿瘤研究员
昌晓红
现任北京大学人民医院妇科肿瘤研究室副主任、中国女医师协会干细胞与免疫细胞专业委员会主委、中国整形美容协会干细胞研究与应用分会第一届理事会常务理事、《中国妇产科临床杂志》及《中国医药生物技术杂志》编委。在学术期刊上发表论著80余篇,参加编辑妇产科及临床肿瘤学专著3部。
卵巢早衰(POF)是指女性在40岁之前出现的以卵巢功能过早衰竭(如月经稀发、闭经、不孕等)为主要临床表现的综合征。雌激素水平低和不孕是对育龄妇女的两大威胁。
近年来,癌症在育龄期女性中的发病率逐渐增加,虽然化疗可延长癌症患者生存时间,但也会出现一些副作用,其中化疗引起的POF越来越受到关注。有研究报道,化疗药物主要通过损害卵巢颗粒细胞DNA及激活细胞凋亡通路等诱导颗粒细胞凋亡,继而引起卵泡闭锁,降低卵巢功能。
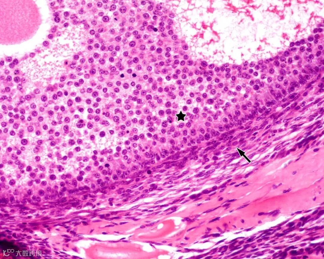
△显微镜下的卵巢颗粒细胞
颗粒细胞是一种卵巢合成和分泌抑制素、雌激素的主要功能细胞,在女性卵泡的生长、发育和成熟,黄体生成等方面发挥着重要作用。
目前,POF的治疗方法主要为激素替代疗法,该疗法主要以改善症状为主,长期使用可引发心血管疾病、肿瘤等患病风险。大量研究表明间充质干细胞(mesenchymal stem cells.MSCs)可以抑制颗粒细胞凋亡,改善卵巢早衰动物卵巢储备功能,增加卵泡数和排卵,这些证据表明间充质干细胞治疗POF具有潜在的临床应用价值。
MSCs可从多种组织中分离出来,包括骨髓、神经组织、脂肪组织、羊水、胎盘和脐带等,具有自我更新及多系分化潜能,可分化成不同的祖细胞。现就间充质干细胞对卵巢颗粒细胞影响方式进行综述。
01.
MSCs对POF中颗粒细胞干细胞特性的影响
颗粒细胞并不是终末分化的细胞,它们可以进一步发生黄素化,或者转变为 Sertoli 细胞,在分裂方式及增殖方面虽然不具有干细胞的生物学特点,但其可表达多种具有多潜能分化功能的基因,该现象得到了大量研究支持。
2009年,Kossowska-Tomaszczuk等研究发现当培养基中长期存在白血病抑制因子(leukemia-inhibiting factor,LIF)时,颗粒细胞表面标志物FSHR表达逐渐消失,分泌激素的功能逐渐降低,同时出现干细胞标志POU5F1、CD29、CD44、CD90、CD105表达,体外培养时可分化成骨、软骨及神经元细胞等,该研究表明人卵巢中黄素化颗粒细胞具有干细胞的特性,为后续颗粒细胞干细胞研究打下了基础。
△Kossowska-Tomaszczuk的研究成果刊登于《中国组织工程研究》
接下来,多方研究报道证实了颗粒细胞表达多能干细胞标志物,颗粒细胞能够表达57种与骨髓间充质干细胞相同的基因,其中16种基因表达上调,20种基因表达下调。而其中优势生长的颗粒细胞则能够分化为成骨细胞、脂肪细胞和胰腺细胞。
尽管目前的研究表明颗粒细胞具有干细胞的特性,然而大多数研究仅局限在颗粒细胞与间充质干细胞表面标志物表达情况的比较,干细胞能否影响颗粒细胞干性特征仍未明确,需进一步研究。
02.
间充质干细胞对 POF 中颗粒细胞凋亡的调控
有研究报道POF发生最重要的机制是卵泡功能障碍和卵泡耗竭。卵巢颗粒细胞的凋亡是影响卵巢储备和功能下降的重要机制。因此,抑制卵巢颗粒细胞的凋亡,避免卵泡闭锁,就有可能延缓或避免卵巢早衰的发生。
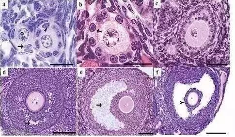
△图为卵泡发育过程
一些研究表明,MSCs可抑制POF动物模型中和体外颗粒细胞的凋亡。Yin等将人胎盘来源的间充质干细胞(hPMSCs)用于POF小鼠后,小鼠卵巢功能得到明显改善,性周期、卵泡发育及激素分泌均恢复正常,颗粒细胞凋亡数量明显减少,进一步研究发现hPMSCs可能通过Treg细胞和细胞因子等改善小鼠卵巢功能。
大量研究提示:MSCs可促进窦前卵泡的发育,通过促进体外卵泡生长,为生育力保护和保存提供很好的策略。hAMSCs、骨髓间充质干细胞BMSCs可能通过改善颗粒细胞的功能阻止人自然年龄卵巢功能的减退。huMSCs 来源的外泌体可在体外预防顺铂诱导的颗粒细胞的损伤,为后续干细胞治疗 POF 提供了新的证据。
03.
干细胞可发生颗粒细胞样改变
卵巢皮质中的卵泡数量和质量、卵泡生长能力、卵巢发育和卵母细胞的形成决定卵巢储备和功能。而卵巢储备和功能是衡量女性生殖内分泌功能和生育潜力的指标。卵母细胞的质量直接影响卵巢的储备和功能,而颗粒细胞质量差,最终可能导致POF的发生。
有研究报道,人诱导多能干细胞可在体外多种因子的作用下分化成卵巢颗粒样细胞,细胞可表达 AMH、inhibin α、inhibin β及FSH受体分子,但不表达OCT-4、Nanog等干细胞标志物。当这些颗粒样细胞注入 POF 小鼠体内时,可改善小鼠卵巢颗粒样细胞的生长,修复卵巢损伤,维持卵巢结构的完整性,以及促进卵泡的生长和发育。
干细胞可在体外诱导分化为颗粒样细胞,具有颗粒细胞内分泌功能,可改善卵泡的生长和发育,为POF的治疗提供了新方向。
综上所述,MSCs在体内外与颗粒细胞共培养时,可能通过影响颗粒细胞干细胞潜能、调控颗粒细胞凋亡或诱导分化为颗粒细胞来发挥各种生物学功能,从而促进卵泡的生长和发育,改善卵巢储备和功能,逆转POF。MSCs具有高增殖潜力,自我更新潜力和多重分化潜能,大量研究表明MSCs可改善POF动物模型的卵巢结构和功能,这些都预示着MSC在POF治疗方面具有光明的临床转化应用前景。然而,MSCs对卵巢早衰中颗粒细胞具体作用机制仍未明确,仍需进一步研究。




