随着时代的飞速发展,人们的生活方式也跟着改变,当越来越不愁生计时,吃不饱饭仿佛已成为了另一个世纪的事情,但当我们日常饮食摄入的热量越来越高时,罹患如糖尿病这种“富贵病”的患者正逐年攀升!
根据国际糖尿病联盟的数据显示,全球20-79岁的糖尿病患者达到了4.25亿,其中,2型糖尿病约占全球糖尿病总数的90%。而我国的形势也很严峻,平均每9个成年人,就有一人患2型糖尿病。据世卫组织预测,到2030年,糖尿病将成为第七项主要死亡原因。
既然是“富贵病”,那么糖尿病是吃糖过多导致的吗?
NO!吃糖对于身体本身没有什么影响,但是光吃不运动的影响就几倍增加了,因为我们体内需要不断平衡可利用的血糖量,当机体无法有效利用糖分时,糖尿病就产生了。
在其中,负责运输工作的胰岛素具有非常关键的作用,因为它是人体内唯一能降低血糖、促进血糖利用的生物活性物质,当它的工作超出了负荷,那么代谢水平就会出现问题,从而导致人体内过多的糖分无法代谢,便出现了糖尿病,所以,大多数糖尿病患者都是因为胰岛素出了问题。
胰岛素出现问题后有两种情况:一种是分泌不足,另一种是作用不足。
不同的情况会导致不同的糖尿病类型,主要分2种:
1型糖尿病:由于胰岛素分泌不足导致的。比较常见的情况是机体内产生了抗胰岛β细胞的抗体,由于这些抗体的攻击,胰岛β细胞不能有效地分泌胰岛素。
典型症状为:多饮、多尿、多食和消瘦。多发生于儿童和青少年,但也可发生于各种年龄阶段。
2型糖尿病:当体内细胞对胰岛素出现抗性,它们对β细胞释放的胰岛素反应不佳,导致胰岛素即使分泌,也无法起到作用。
典型症状为:疲乏无力、肥胖等。45岁以上人群中2型糖尿病的发病率较多,但2型患者也日渐年轻化。遗传背景,肥胖和缺乏运动是易患2型糖尿病的常见危险因素。
一旦得病,终身治疗
虽然吃糖和糖尿病之间没有直接的关系,但遗传因素、环境因素、免疫因素都和糖尿病有着千丝万缕的关系!而糖尿病对人体的危害也不仅仅是口渴、消瘦、肥胖和乏力,而是高糖的血液会造成血管内皮的损伤,导致微血管、大血管病变,从而引起大量的并发症,包括心脑血管疾病、视网膜病变、肾病和创伤愈合不良等。
在目前的医学水平中,还没有可以治愈糖尿病的手段。一旦得病,便要终身小心翼翼地控制自己的血糖水平,不然一旦并发症“找上门”,轻则影响生活和工作,重则对生命都会造成威胁。
目前的治疗手段,主要分为以下四种:

对于1型糖尿病患者而言,每日按时注射胰岛素是主要的控制血糖的方法。这种方法具有长期依赖性,属于非治愈性治疗手段,并且无法避免一系列并发症。
2型糖尿病患者首先可以通过饮食和运动来控制,以及通过药物来促进胰岛素的分泌,但如果当药物不能有效地控制血糖,或出现对药物不耐受的情况,那么最终就必须注射胰岛素来治疗了。
对于重症患者或是不愿接受每天注射胰岛素的患者而言,还有一种治疗方案为胰岛移植治疗。这种治疗方法目前主要受到两个方面的制约:没有足够的胰岛供体和胰岛受体的终身排异反应。
目前这些主流治疗方法主要是对血糖水平的控制,在挽救β细胞上,能做的还依然有限,彻底根治糖尿病的道路依然遥远。
干细胞治疗:摆脱胰岛素之光
随着再生医学领域的飞速发展,科研学者们将研究重点转向了寻求具有分化为胰岛素分泌细胞潜能的干细胞。
干细胞的自我更新并能分化成多种组织细胞类型的特点,让科学家们可以使用干细胞生产出充足的分泌胰岛素的细胞资源,满足β细胞替换、达到胰岛素非依赖的广泛需求;
以及干细胞可以通过释放可溶性生长因子和细胞因子来刺激新血管的形成和调节炎症的特性,使其在糖尿病并发症的治疗中大有可为。干细胞治疗同时也具备不良反应小、血糖稳定、预后好等优点。
科学家们使用干细胞治疗糖尿病的研究已有20多年的岁月,研究领域包括胚胎干细胞和成体干细胞、诱导性多能干细胞。
胚胎干细胞分化较规律,体外给予生长因子,即可以诱导分化成某一器官或细胞。
成体干细胞来源丰富:胰腺、骨髓、肝、肠上皮、神经上皮等不同组织。其中间充质干细胞尤其受到关注,它具有向内中外胚层多种组织分化的潜能,能分泌多种细胞因子和生长因子,且具备免疫调节特质。
间充质干细胞等多能干细胞在导入基因后(即诱导性多能干细胞)后可实现定向分化和特异性。
让我们来见识一下由干细胞的分化能力。
国外研究
2014年,哈佛大学的Douglas Melton实验室研究人员利用人类的胚胎干细胞培养出了能分泌胰岛素的胰岛β细胞,首次实现了干细胞转化为功能性β细胞,这就为患者提供自己的胰岛素来源迈出了一大步。在该初始过程中,β细胞占最终细胞混合物的30%。
△人胚胎干细胞衍生的β细胞形成的胰岛样细胞团
(Cell, 2014, doi:10.1016/j.cell.2014.09.040)
经过5年的努力,2019年5月8日,Douglas Melton博士领导的研究团队再次发表最新研究成果:已经将干细胞产生的β细胞纯度从30%提高到80%。
△图片来自Melton laboratory, Harvard University
(Nature, 2019, doi:10.1038/s41586-019-1168-5.)
该项研究人员表示:“这种方法的美妙之处在于它几乎没有任何副作用,这是因为它使用病人自己的细胞。”这项研究无疑为广大糖尿病患者带来新希望。
在该研究前,国内外的干细胞治疗糖尿病的临床就已给患者们带来希望曙光。
截止2019年5月23日,在Clinicaltrials.gov官网数据显示,有关干细胞治疗糖尿病相关的登记注册的临床试验有172项,其中在中国开展的有36项,包含已完成的和正在进行中的。
国内研究
早在2012年,我国南京大学医学院附属鼓楼医院于《J Clin Endocrinol Metab.》发表临床试验结果,试验对象为中国新发I型糖尿病患者,共有13名新发I型糖尿病患者参与,其中10名为糖尿病酮酸症。试验结果显示,自体造血干细移植能调节免疫活性细胞和改善β细胞的功能。
△自体造血干细胞移植治疗新发1型糖尿病的疗效和安全性研究
(2012, doi:10.1210 / jc.2011-2188)
同年,上海交通大学医学院附属瑞金医院报道的一项临床研究表明,自体造血干细胞通过改善胰岛β细胞功能,使28例1型糖尿病患者中的15例 (53.6%) 完全停用外源性胰岛素,其中起病时不伴酮症酸中毒的患者临床缓解率高于起病时伴酮症酸中毒者。
2017年,中南大学湘雅二医院在全球率先启用“干细胞教育治疗法”用于治疗儿童1型糖尿病病患。来自中国、美国、西班牙、澳大利亚等国家的青少年接受治疗,在治疗后,他们胰岛素用量有所降低和C肽下降速度较对照有所延缓,有的甚至在随访的15个月期间,完全脱离胰岛素治疗。
大量临床研究表明,干细胞在治疗糖尿病中的安全有效。这基于在干细胞进入人体后,通过胰腺组织微环境的诱导下分化增殖为胰岛细胞,替代受损的胰岛β细胞,分泌胰岛素,从而达到治疗糖尿病的目的。同时,干细胞具备的免疫调节功能,使得其除了能直接转化为β细胞外,还可以通过免疫调节剂来治疗糖尿病。
另外,对于2型糖尿病患者而言,最大的危害不在于血糖有多高,而在于并发症,对于糖尿病并发症的预防和治疗,干细胞同样具有非常好的效果。
本文内容原出处,华夏源干细胞在糖尿病治疗研究中积累了丰富的案例。
干细胞应用案例
01
DM动物试验
间充质干细胞在体内分布情况:
通过两种移植方式都能成功将细胞移植机体内
△移植人脐带间充质干细胞治疗糖尿病模型小鼠
A=胰腺包膜下移植组细胞定位
B=尾静脉移植细胞定位
C=胰腺包膜下移植组细胞定量
D=胰腺包膜移植后组织体外成像
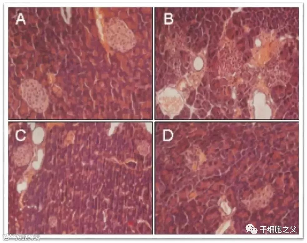
△移植干细胞移植后小鼠胰岛形态变化
A=对照组
B=糖尿病模型组
C=胰腺包膜下移植组
D=尾静脉移植组
△移植后各组血糖变化
(干细胞移植后血细胞含量显著降低)
△移植后21天糖耐量试验血糖水平
(移植21天时血糖调控能力明显高于糖尿病模型组)
02
干细胞治疗实例—糖尿病足
该公司目前正与各大干细胞临床研究机构(三甲医院)合作干细胞临床技术项目,以非盈利目的开展针对糖尿病并发的糖尿病足、糖尿病周围神经病变等的干细胞临床治疗和研究。
截止目前,开展脐带间充质干细胞治疗糖尿病项目,已累计治疗62人次,75%的糖尿病人和血糖异常的受试者都不同程度的减少了胰岛素用量,其中将近20%的受试者完全停用胰岛素。
△脐带间充质干细胞治疗糖尿病足项目
通过研究发现MSCs治疗对于HepG2细胞葡萄糖代谢酶和胰岛素信号转导相关蛋白都有改善作用,显著改善了胰岛素敏感性,胰岛素抵抗情况明显好转。该项目获得治疗人群的普遍赞誉。
通过科研人员正不断努力,利用干细胞来治疗糖尿病及其并发症的临床研究也正在广泛开展,相信未来,更多的糖尿病患者会受益于此项技术!




