
(图片来源:Craig Stennett/Alamy)
随着免疫抑制剂应用后排斥反应的缓解,虽然新的免疫抑制药物和生物制剂的应用改变了器官移植的预后,包括肾脏在内的实体器官同种异体移植的短期存活率显著提高。
然而,免疫抑制药物的长期使用具有极大的副作用,会大幅增加患者感染、恶性肿瘤、心血管和代谢并发症的风险。
如果诱导产生供体特异性免疫耐受,就能克服这个问题,也可以减少免疫抑制剂的使用。

01.
世界首例器官移植免疫耐受诱导成功
截止到研究人员在 Stem Cells Translational Medicine 杂志发表论文时,患者已经18个月没有接受免疫抑制药物治疗。

该患者是一名患有终末期肾病的37岁男性,于2010年10月接受了活体肾移植,并被纳入自体体外扩增骨髓间充质干细胞移植前输注的安全性和可行性试点研究(临床试验:NCT00752479,NCT02012153)。
由于免疫球蛋白A肾病继发的终末期肾病,他接受了腹膜透析,并接受了父亲的肾移植。患者与父亲有两个HLA位点不匹配,一个是HLA-A,另一个为HLA-DR。
移植前一天(第-1天),患者静脉注射自体骨髓间充质干细胞BMSCs(细胞数量2× 10^6/KG)。
从移植后第0天至第6天,使用低剂量兔抗胸腺细胞球蛋白(RATG)输注(0.5mg/KG,每日静脉注射)进行诱导治疗。
患者经器官移植前回输BMSCs,之后肾功能迅速恢复,且在移植后 2 年内功能稳定。同时血液检测结果显示,患者对供体肾脏产生了耐受性。患者所服用的免疫抑制剂逐渐减少,直到完全停止服用。

图3 移植后患者血清肌酐水平变化的过程
肾移植后血清肌酐迅速下降,并在整个9年随访中保持在1 mg/dL左右

图4 在长期随访期间,移植后每6个月测量肾小球滤过率(GFR),显示出增加的趋势
彩色方框突出显示环孢素A (CsA)和霉酚酸酯(MMF)逐渐减少和停用的顺序阶段,在大概五年的时间里逐渐减少,最终完全停止,如箭头所示。

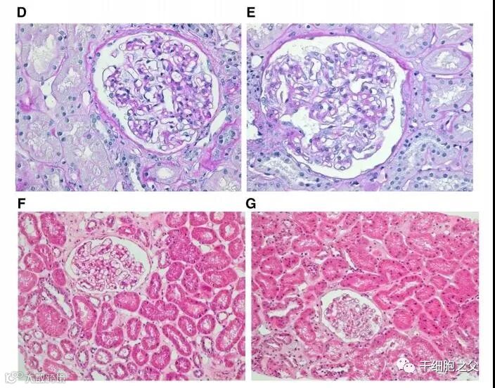
图5 移植后1年(D、F)和8年(E、G)患者肾活检的光镜检查结果
肾小球通畅且细胞正常,仅显示系膜基质轻度增加。周围的皮质实质保存良好,没有急性或慢性炎症的迹象
D、E:过碘酸-希夫(氏)染色;F、G:苏木素伊红染色
截止报道时,患者已经 18 个月没有使用免疫抑制剂,且移植后的肾脏功能正常。
研究人员认为,该病例提供了新的证据,表明在活体供肾移植中,自体骨髓间充质干细胞输注可与移植后晚期安全、完全停用维持性抗排斥药物相关,最终允许免疫耐受状态。
证明在活体肾移植中,自体骨髓间充质干细胞输注可在移植后安全、完全停用维持性抗排斥药物,最终达到免疫耐受状态。
02.
干细胞与免疫抑制
2002 年,Di Nicola M 和 Bartholomew 等人发现干细胞具有强大的免疫抑制能力,具有低免疫原性,很难引起免疫排斥反应。

▲干细胞在同种免疫反应中的免疫调节作用
干细胞的免疫调节特性,非常有利于用于治疗免疫性疾病,包括移植排斥反应和自身免疫性疾病。干细胞可以通过抑制淋巴细胞的增殖、抑制抗原呈递细胞分化成熟及功能发挥、抑制CTL形成、增加调节性T细胞比例等多种途径发挥免疫调节作用。
近年来,在再生医学领域,干细胞逐渐成为抵抗免疫排斥、诱导免疫耐受、长期维持移植器官的理想细胞,并取得许多令人兴奋的结果。
03.
前景展望
器官移植前输注干细胞,是有望克服免疫排斥的最新方法之一。
初步临床试验证实,在实体器官移植同时使用间充质干细胞进行干预,似乎可以通过一种“教育”的方式来抑制受体对供体器官的免疫排斥,从而达到免疫耐受的最终状态。
未来,针对器官移植排斥反应发生机制的不断探索,相信移植间充质干细胞治疗异体器官移植的排异反应终将走向成熟。


