随着社会压力加大,不健康生活方式流行,心脑血管疾病已然成为当今人类健康的“头号杀手”!
而心肌梗死,是心血管疾病当中最严重的一种。据统计,我国每年约有54万人死于心梗,平均每分钟就有1人死于心梗。
△ 心肌梗死位列所有心脑血管疾病之首
心梗的发病率快,致死率之高,让它成为了严重危害人类健康的重大疾病之一。但关于它的治疗,临床上也主要以疏通阻塞冠状动脉、恢复缺血缺氧心肌功能为首要目的,再加之吸氧、卧床休息、避免情绪波动等护理方式以减轻心脏负荷。
这些方法只能改善心肌缺血和心力衰竭的症状,使闭塞的血管再通,但要使受损的心脏恢复功能,目前仍无有效方法。
近年来,间充质干细胞作为一类治疗难治性疾病的新手段正在被人们广泛关注,使用不同来源的间充质干细胞对心肌梗死进行治疗的试验也不胜枚举。
一项来自《OMJ》杂志的文章证实,通过使用间充质干细胞治疗可以恢复心肌梗死症状,使梗死面积明显减少,组织病理学检查显示心肌组织再生迹象,并证明了间充质干细胞治疗心梗的安全、有效性。这对心梗患者来说,无疑是一道福音。
△ 来自脂肪组织和骨髓的间充质干细胞对急性心肌梗死模型治疗潜力的比较研究
01
心肌细胞受损,是心梗治愈难的关键
心肌梗死也称心梗,是冠状动脉急性、持续性缺血缺氧所引起的心肌坏死。临床上多有剧烈而持久的胸骨后疼痛,休息及硝酸酯类药物不能完全缓解,伴有血清心肌酶活性增高及进行性心电图变化,可并发心律失常、休克或心力衰竭,常可危及生命。
在我国,每年约有350万人死于心血管疾病,其中心肌梗塞及其并发症的患病人数约250万。
△ 我国城乡居民急性心肌梗死死亡率逐年攀升
可以说,我国的心梗人群已经非常之多。那心梗为何如此难治愈呢?
首先,心梗发病快,致死率非常高。在缺乏及时救治的情况下几乎可达100%,即使相应的研究和治疗技术已经使其死亡率明显下降,但住院死亡率仍可高达15%。
尽管得到有效救治,心梗复发率通常也极高。10年内20%的人会再次出现心衰症状,预后不佳,5年的存活率小于50%,接近肺癌。
其次,心梗发生后的心脏不会再长出新的心肌新来修复心脏。尤其对于急性心梗患者,如果不能在4-6小时内回复血流重建,心肌细胞就会永久死亡。此时的梗死部位会形成瘢痕组织,导致血液无法正常运输,因此也就会造成缺血性损伤,导致心脏功能下降,严重影响日后生活质量。
△ 心肌梗死的原理
而现有的治疗方案包括介入治疗、溶栓治疗、急症外科搭桥手术等,也只是改善症状,并不能修复已经受损的心肌细胞,从根本上治疗心梗。临床上急需新的治疗策略。
02
干细胞再生心肌组织,明显减少梗死面积
近年来,随着再生医学的不断发展,干细胞在治疗多种疑难疾病上展现了突出疗效。越来越多的科学家也开始致力于利用干细胞来治疗心梗。
心梗的病理主要是因为冠状动脉斑块破裂导致血管闭塞,从而引起心肌坏死。目前,已经有研究表明:干细胞的修复作用涉及分泌旁分泌因子,可以改善心肌梗死缺血性损伤后的伤口愈合;同时还可以调节受伤心脏的免疫反应,从而促进心脏组织的修复。
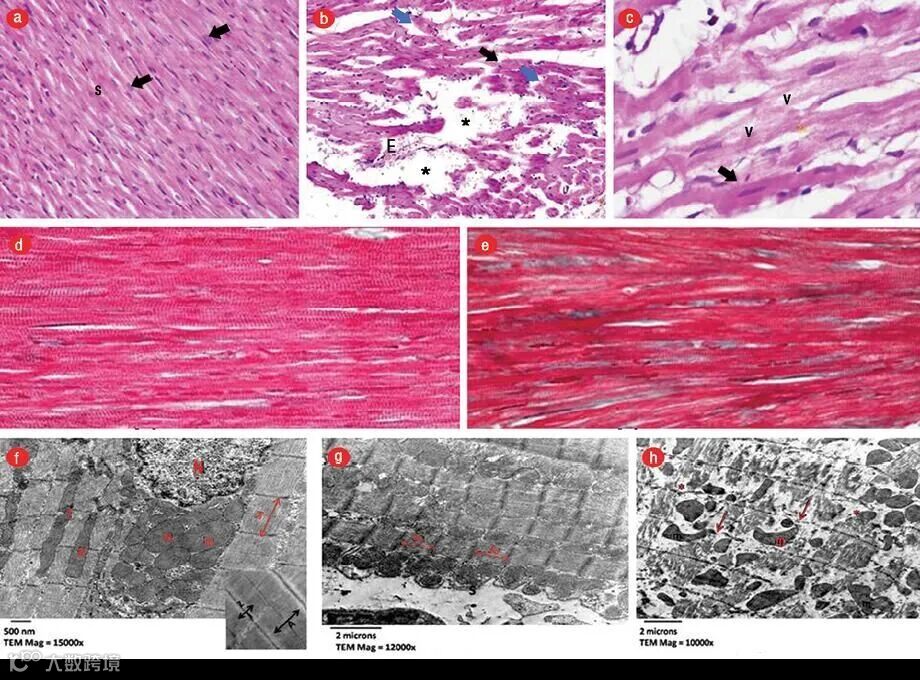
在这项研究中,从骨髓和脂肪组织中分离出 MSCs,以评估其在心肌梗死(AMI)大鼠模型中心肌再生的功效。
△ AMI+BM-MSC和AMI+AT-MSC与 AMI+CF相比显示出组织学变化的改善
试验人员将42只雌性大鼠被分为两组:优化组和实验组。优化组进一步细分为对照组和AMI诱导组(使用ISO)。实验组细分为AMI+无细胞培养基尾静脉注射组、AMI+BM-MSC组和AMI+AT-MSC组,分别静脉注射各自的细胞类型。
诱导后28天,进行心电图 (ECG),并收集心脏组织样本用于组织学评估和细胞追踪。结果显示:与AMI组相比,间充质干细胞治疗修复了心电图ST段、QT和QRS间期恢复所显示的心脏功能。梗死面积明显减少,组织病理学检查可见心肌组织再生征象。
△ 实时 PCR 显示 Y 染色体在雄性 BM-MSC 和 AT-MSC 注射的雌性大鼠心脏中表达,而在 AMI+CFM 组中未检测到
这个试验证明了两种间充质干细胞来源都对心肌梗死的治疗起到了一定效果,不仅缩小了心肌梗死面积,还再生了心肌组织,对促进伤口的愈合,恢复心脏功能起到关键作用。
间充质干细胞已被应用于临床的多种疑难性疾病治疗中,相信在心肌梗死这类重大心血管疾病领域有新的突破,这将为更多心脏疾病患者带来新的希望。


