
据流行病学调查,我国慢性肾脏病的患病率为10.8%,现患者人数已超过一亿。
预测到2040年,慢性肾脏病将成为全球第五位的致死病因,而慢性肾病的进一步发展结果就是尿毒症!!!
干细胞治疗尿毒症有着天然的优势,今天咱们就针对尿毒症的传统疗法与干细胞疗法进行全面分析,更直观地将干细胞疗法的优势呈现出来!
尿毒症,简单来说就是肾脏功能衰竭,无法将人体内的代谢产物、废物、尿素和多余的水分等排出体外,导致人“中毒”的一系列综合症。
慢性肾脏病是一个长期持续进展的过程,共分为5个时期。前3个时期中,肾脏的代偿作用可以基本完成肾脏的功能,病人通常没什么不舒服。
而到了第4期,肾功能的损害进入不可逆的阶段,病人的食欲减退、贫血、血钾高、消化道出血等症状日渐明显,甚至心脏等其他器官也开始衰竭。
当慢性肾脏病进展到终末期,就是我们常说的“尿毒症”了。
目前,治疗尿毒症主要就是“三板斧”:血液透析、腹膜透析和肾移植。
每次需要扎针;贫血比较严重;透析前后血压会受影响,对心血管疾病和糖尿病病人较不利;无法任意更改透析时间;感染乙型肝炎和丙型肝炎的风险大大增加;透析费一年大约需要6万元左右。

在腹腔内置入腹透管,操作不当容易感染,每年需要4-5万元。
供体的缺乏:目前全国每年接受肾移植者仅有5000多例,大约每150个等待的患者,只有一人可能得到肾移植的机会。
一次肾移植手术,在我国大约需要30-60万元,对于普通家庭来说,这是一个沉重的经济负担。
血液透析、腹膜透析、肾移植的种种局限性,给尿毒症患者的经济条件与身体状况都造成了影响。
而干细胞疗法的出现为尿毒症患者带来了曙光,有望告别透析和肾移植。
对于一种全新的疗法,首先要搞清楚的就是其作用机理。
基于此,科学家们通过反复的实验,发现干细胞在修复肾脏损伤、保护肾脏功能和结构从而延长动物存活方面具有治疗潜力。
其中,间充质干细胞(MSCs)是最常用的一种,其很容易在实验室中扩增,产生大量的治疗剂量;此外,间充质干细胞不表达血型、DR抗原和共刺激分子等,免疫原性低,使得使用同种异体细胞成为可能。
MSCs转分化为肾脏特异性细胞以重新填充肾脏受损缺失细胞。
MSCs的旁分泌效应:分泌大量的细胞因子、趋化因子和生长因子,包括IL-6和IL-11、血管内皮生长因子(VEGF)、粒细胞集落刺激因子(G-CSF)等,以及外泌体,促进上皮细胞增殖和血管生成。
刺激肾细胞分泌促红素。而促红素可以促使红细胞的生成,缓解机体贫血的状况。
另外,干细胞通过细胞间的相互作用及产生细胞因子而抑制T细胞的增殖及其免疫反应,从而发挥免疫重建的功能,减少肾脏移植后的免疫排斥反应。
干细胞疗法主要有三种形式:干细胞移植治疗、干细胞辅助肾移植、3D打印肾移植。
Cantaluppi等人总结了Clinical Trials.gov干细胞治疗各种肾病的Ⅰ/Ⅱ期临床试验,大部分探究目的是确定干细胞治疗的安全性和有效性。
Packham DK等人开展一项Ⅰ期临床试验,纳入30例糖尿病肾病患者,静脉注射干细胞,并随访60周。结果发现,干细胞输注安全且耐受性良好,患者各项肾脏指标有所改善。
2011年国内发表的文献显示,研究人员对一名24岁的男性尿毒症患者进行了两次干细胞移植。

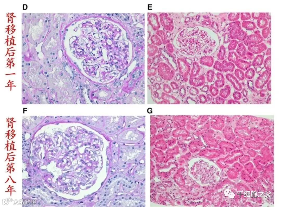
2010年,意大利的几位科学家们将基础研究的成果应用于人体实验。一位37岁,接受了亲属活体肾移植的男性,参与了这项研究。

在移植后的六天内,每天静脉接受低剂量的兔抗人胸腺细胞免疫球蛋白输注治疗,作为辅助。

在移植后第2年,患者开始逐渐减少免疫抑制剂,一共用了5年多的时间完全停了所有的药物。
2018年2月8日,一项具有突破性进展的研究成果刊登在著名学术期刊《干细胞报告》上。
曼彻斯特大学的研究团队将人类胚胎干细胞培养成肾小球,然后将肾小球与类似结缔组织的凝胶物混合后注入到实验小鼠真皮下。

三个月后,肾脏的基本单位—近端肾小管、远端肾小管、肾小球囊和亨利氏套等在小鼠体内形成。

该项目负责人、曼彻斯特大学Susan Kimber教授说,如果这个过程可以被完善和扩大的话,它也可以用来生长整个移植器官。
这一研究引起了全球轰动,这或将成为肾病治疗史上一个重要的里程碑,尤其是近年来3D打印技术的兴起,人工肾移植或许会加速到来。
干细胞技术,作为一门先进的医学技术,不仅为一些疑难杂症的干预带来了希望,也势必引领新的医疗革命。解决患者疼痛困扰,造福人类。
