最近有不少小伙伴咨询小薇,你们这个SmartCell 600、800和900有什么区别?还有更直接的,那台紫色怪好看的,跟阿蓝和小绿有什么不同?看似外观形状相同,仪器颜色和软件界面却有很大差别,当然啦,他们检测的细胞类型又有差异,在各自应用领域大展身手!
萌薇生物作为市面细胞计数应用领域覆盖范围最广的生产厂家之一,从分体机到一体机;从台盼蓝染色到荧光染色;从低光学放大到高光学放大;从一次性耗材到可重复利用的血球计数板;总之呢,我们肯定有一款计数仪能满足您的使用需求。
那么如何根据自己的需求来选一款称心如意的细胞计数仪呢?下面跟着小薇的几点分析,大家很快能找到心中的答案。
1、测试细胞类型
在选择仪器之前,我们首先要思考两个问题:
1、自己的细胞房培养哪些细胞?
一般实验室细胞房培养的大多为常规传代培养的细胞系,比如肿瘤细胞、动物哺乳细胞、昆虫细胞等,这类细胞直径范围在5-40μm。
还有一些可能是从组织或血液分离的原代细胞,比如脾细胞、PBMC细胞、血小板等;这类细胞组分复杂,可能有组织碎片、红细胞等杂质干扰 。
最后呢,还有一些老师在某些细分领域计数需求,比如酵母细胞、球藻细胞、芽孢杆菌等微生物小粒径细胞(1-10μm)。
CHO细胞
(12-20μm)
T细胞
(6-10μm)
酵母细胞
(2-6μm)
我们根据培养细胞类型的直径大小,第一步要确认合适的物镜放大倍数,就跟在显微镜下有4×、10×、40×和100×不同放大倍数一样,需要选择一个正确的物镜来满足成像清晰和识别。正常的细胞系和原代细胞计数仪采用5×物镜光学放大就可满足,针对酵母和球藻以及一些粒径更小的微生物样本,需要用到10×甚至20×物镜才能够看的清晰。
5倍放大
酵母细胞
10倍放大
酵母细胞
2、细胞分析是关注细胞活率还只是细胞浓度?
细胞计数仪分为明场(激发光为白光)和荧光(不同颜色的激发光),其中明场包括非台盼蓝染色和台盼蓝染色,如果您平时只关注细胞浓度,这时选一款明场计数仪即可满足需求。那如果细胞浓度和细胞活率都关注,我们就需要考虑用经典台盼蓝染色还是AO(吖啶橙)/(碘化丙啶)双荧光染色分析。
台盼蓝和荧光染色比较
|
|
台盼蓝染色 |
AO/PI荧光染色 |
|
原理 |
细胞膜的通透性 (非特异性染色) |
核酸染色 (特异性染色) |
|
识别区分 |
活细胞:不染色 死细胞:蓝色 |
活细胞:绿荧光 死细胞:红荧光 |
|
适用范围 |
常规传代培养细胞 |
细胞系、原代细胞、免疫细胞等 |
台盼蓝染色
AO/PI双荧光染色
2、测试数据的可靠性
在完成第一步选择后,接下来需要选择一个检测数据可靠的计数仪,无论内在功能多么强大,数据可靠性是最必要的,它主要体现在测试数据的准确性和稳定性。
其中准确性是测试值与真实值之间的差异,我们可以一方面可以通过与人工血球计数对比,另一方面可以用标准品进行验证;稳定性通常我们可以对同一个样品进行几组平行测试,或者对同一个高浓度样品做梯度稀释分析线性关系,这里面有一个重要的参数CV值(变异系数),一个可靠的计数仪,通常CV值<5%。
决定一个计数仪数据可靠性,主要有以下两个方面:
硬件 包括相机参数,成像的像素决定图片的清晰度,从而影响到识别,配置越高,成像越清晰;其次是自动化过程,这里面包括进样、聚焦、曝光等参数,全自动过程能提高检测数据的稳定性。
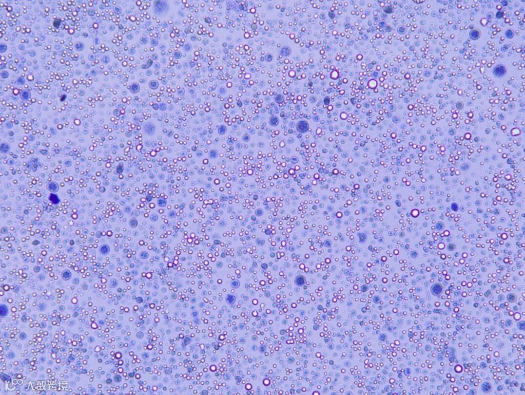
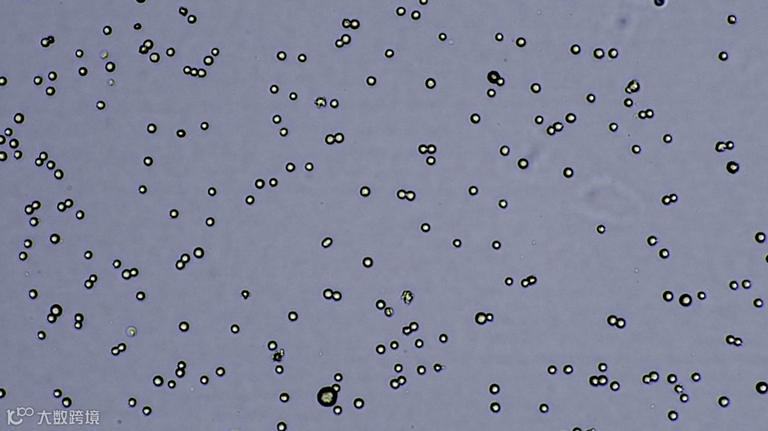
低像素,成像模糊
高像素,成像清晰
软件算法 在获得一张高质量图片之后,要对其进行算法识别分析,目前主要基于两种算法,一种是基于灰度值(普通算法),另外一种是基于深度学习人工智能算法(AI算法),这种算法能够对聚团细胞精准分割,对含有细胞碎片、杂质等复杂样本精确计数。萌薇生物也是国内最早将AI技术应用在细胞计数领域并进行仪器开发的厂家。
3、检测效率
传统的血球计数法能够不断被智能细胞计数仪替代,其中检测效率是一个非常大的因素,如果您每天检测的细胞样本量多,检测效率相当关键,一个优秀的计数仪,不仅准和稳,快也很重要。检测效率主要包括以下两点:
单个样品检测时间:通常检测一个样品,人工计数时间在3-5分钟,计数仪在10秒到2分钟时间不等,产生差异的原因主要是仪器的自动化程度,尤其是手动进样和手动调焦会直接影响到计数的效率,其次是算法分析的时间也有差异,例如先进的AI算法将直接缩短处理图片的时间。
计数板通量:一块血球计数板有两个加样孔槽,市面上绝大数计数仪也是采用两个通量,当我们样本量比较多时,就需要更高通量的计数板,一次性可以同时测多少样品,这也是决定效率的一个因素。萌薇计数板采用6样品孔设计,不仅在提高效率的同时,还一定程度降低了测试成本。
4、其他因素
除了以上三点以外,还有一些其他因素也得考虑:
机型--分体机还是一体机,主要根据细胞房空间大小来选择,分体机需要连接电脑,一体机则包含显示屏,可直接操作,相对分体机价格要高一些,但使用起来简单方便。
性价比--配置高,技术参数优秀的计数仪往往相比于低配置的参数价格高一些,但不能一味追求低价,让数据准确性和精确性没了保障,甚至反而影响我们的实验进度,最后可能面临重新选择,所有偶尔在一些细胞房也会发现在吃灰的低端计数仪,面对这些价格低的仪器选择要慎重!当然,除了仪器本身价格之外,我们还要考虑试剂耗材的成本。
服务--这里包括售前售后服务、试用培训、技术支持,3Q验证服务,以及仪器的质保期。小薇在这里给大家做主,萌薇计数仪三年质保,买的放心,用的安心,并在全国主要中心城市有专业的技术支持,随时响应。
听了以上的分析,我想大家对选择一款合适的计数仪有一定的心得,不管你是想选择一体机还是分体机,明场还是荧光,样品是常规培养的细胞还是粒径小的微生物样本,又或者想选一个高性价比且服务有保障的机器,那么小薇有几款产品想介绍给大家,总有一款能满足您的需求。
计数仪产品介绍
SmartCell 200 Plus
明场分体机(连电脑)
非台盼蓝细胞计数
台盼蓝染色分析
人工智能算法
630万像素高清成像
6样品孔通量
8秒检测分析
明场一体机
非台盼蓝细胞计数
台盼蓝染色分析
人工智能算法
630万像素高清成像
6样品孔通量
8秒检测分析
SmartCell 600
SmartCell 800
明场+荧光一体机
AO/PI荧光分析
非台盼蓝细胞计数
台盼蓝染色分析
GFP/RFP转染分析
人工智能算法
630万像素高清成像
6样品孔通量
明场一体机
酵母、小球藻计数
寄生虫卵囊计数
免疫细胞计数
台盼蓝染色分析
人工智能算法
630万像素高清成像
6样品孔通量
10倍物镜放大
SmartCell 900 BF
SmartCell 900 FL
明场+荧光一体机
酵母、小球藻计数
免疫细胞计数
AO/PI荧光活率分析
人工智能算法
630万像素高清成像
6样品孔通量
10倍物镜放大
当大家想拥有一台合适的计数仪时,首先从自身测试的细胞样本出发,选择相对应原理的仪器,再参考其核心技术参数,尤其是成像像素和算法,同时还要考虑仪器检测数据的可靠性和检测效率,当然,服务质量和质保也不能忽视。
扫下方二维码,填写试用申请,全国范围可安排样机免费试用,并有专业工程师进行技术支持。
关于萌薇
上海萌薇生物医疗科技有限公司总部位于上海市宝山区沪太路4290号1876新视觉产业园区,在全国多个省市布局销售网络,是一家集研发、生产、销售和服务于一体的高科技公司。自2020年8月创建以来,上海萌薇生物医疗科技有限公司已经取得了ISO9001质量管理体系认证证书,国家级高新技术企业证书,成为北上海生物医药产业联盟成员,获批上海市宝山区区级企业技术中心,取得了2022年度上海市宝山区大场镇科创先锋等荣誉。作为技术驱动型的公司,萌薇期望其提供的设备可为全世界范围内的大学、医院和生物医药研究实验室提供帮助,期望客户工作因萌薇的帮助而变得越来越智能、越来越简单。萌薇自创立以来,在智能生物医疗仪器设备领域深耕细作,已有多款优质产品面世,为超过500家科研单位、医院、研究所、药厂及生物公司提供产品。感谢每一个合作伙伴和用户的信任与支持,并将不断推出新的产品和应用,为客户提供更优良的产品和服务。
MONWEI
扫码关注
上海萌薇生物
热线咨询:
4001077883

END



