前段时间小薇给大家分享了如何选一台称心如意的计数仪?不少小伙伴跟小薇有一致的观点,那就是一台优秀的计数仪,一定能经得起准确性和精确性的评估,但是如何去评估您的计数仪的精确性呢?
在细胞计数分析过程中,细胞的数量以及活率是我们最关注的两个参数,尤其对于细胞治疗产品,是生产、质控放行的重要指标之一。目前没有明确的规范验证方案和参照标准对其进行评估。
不过应对细胞治疗行业的需求,国际标准化组织ISO分别在2018年发布了ISO20391-1-2018《生物技术-细胞计数-第1部分:细胞计数方法的通用指南》和2019年发布了ISO20391-2:2019《生物技术-细胞计数-第2部分:用实验设计和统计分析来量化计数方法的性能》来指导细胞计数方法的开发。
其中第2部分指出通过实验设计,利用统计方法,最后通过质量指标报告来对整个计数检测进行评估。简单来说就是通过梯度稀释实验,同时重复平行检测来评估细胞计数的精确性,这是一种不依赖标准物质或者金标准来评估细胞计数质量的方法。
根据文献设计以下细胞计数仪性能验证方案:
1、取2mL浓缩至1×107个/mL左右(上下10%波动)的新鲜细胞样本作为储存液,且保证活率在80%以上。
2、取8个离心管,依次标记为1X、2X、4X、8X、16X、32X、64X、128X备用。
3、取1mL储存液至1X离心管,再向2X、4X、8X、16X、32X、64X、128X离心管分别加入500μL培养基。
4、从1X离心管中取500μL细胞悬液至2X,充分混匀后,从2X离心管取500μL细胞悬液至4X混匀,以此类推至128X。
5、将每个离心管吹打混匀并涡旋震荡5秒左右,并取50μL于新的离心管中,再与等体积的台盼蓝进行混匀。
6、吸取10μL混合液至计数板空槽中,每个样本三组重复,用计数仪检测和记录细胞浓度和活率等数据。
7、重复步骤6,对以上所有离心管样本进行检测,并将测试结果导出Excel中。
8、统计和分析8个样品的平均值、标准差SD和CV值,并绘制稀释因子和浓度相关性曲线,计算R2值
这里我们采用了实验室常用的连续稀释的方法,当然也可以采用独立稀释方法,每个稀释分数应独立于原溶液生成,这样以避免与连续稀释相关的复合误差。不管哪种方法,我们应选择合适稀释剂,以保持样品在稀释过程的稳定性,其次应保证样本充分混匀,且稀释过程应避免产生碎片或损伤细胞。
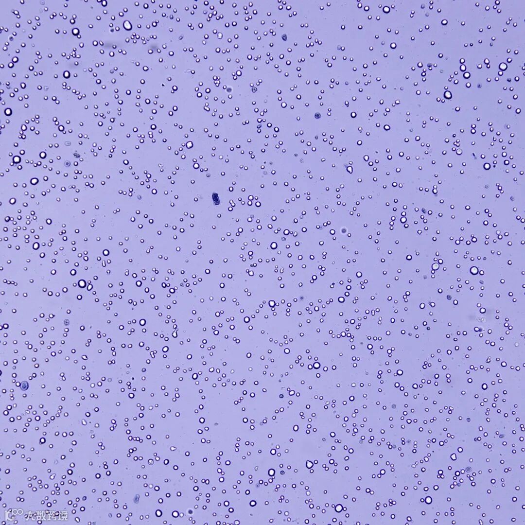
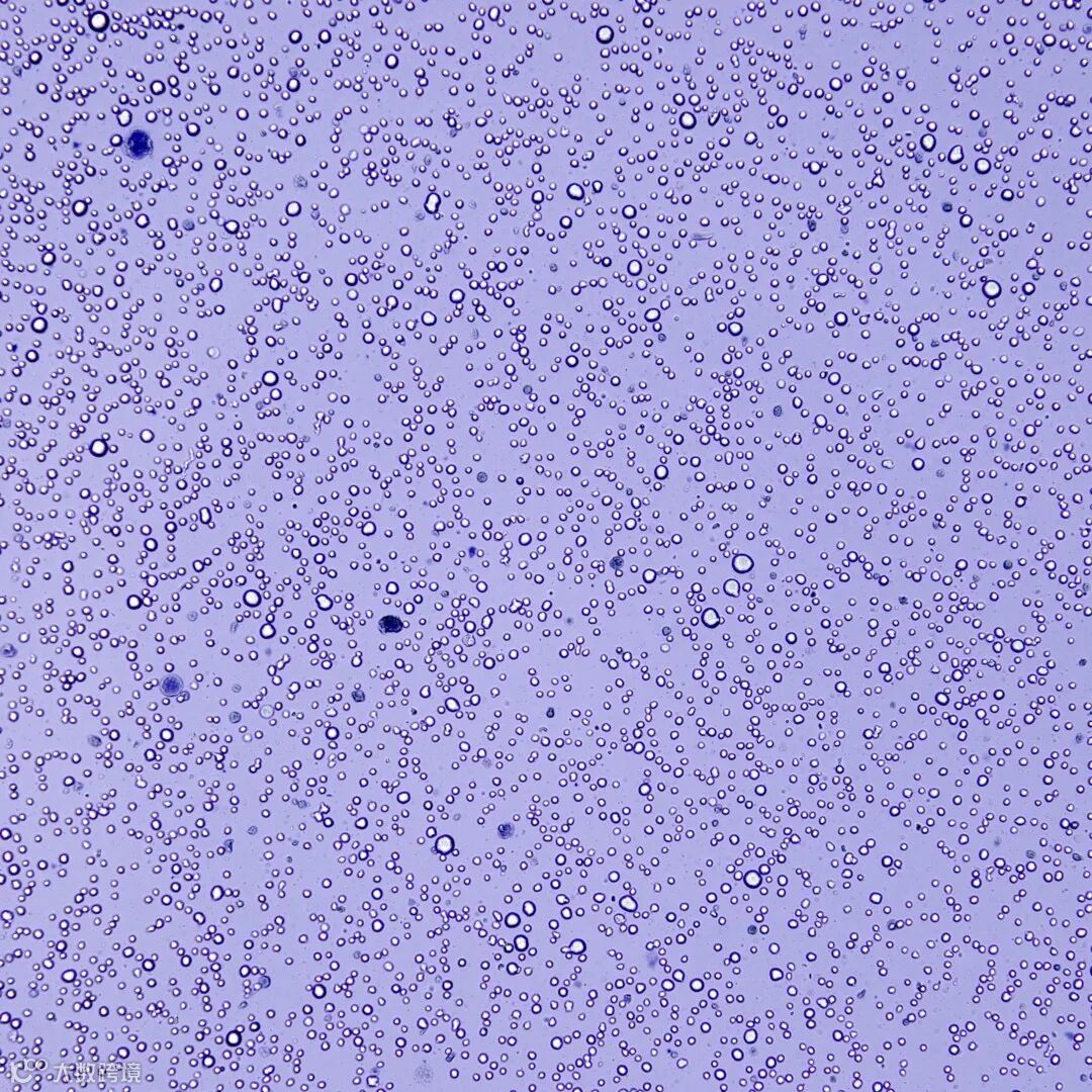
下面是使用萌薇计数仪对8组样本分析的图片结果信息。
左右滑动查看1×、2×、4×和8×拍摄图
左右滑动查看16×、32×、64×和128×拍摄图
原始数据
对8组样本的平均值、SD和CV值进行分析,并绘制线性曲线计算R2值。
通过数据分析,细胞浓度在2.5×105个/mL以上,重复3组样品的CV值稳定的低于5%,当细胞浓度小于1×105个/mL时,CV值明显升高,且超过10%。所以小薇建议大家在测试细胞浓度时,最低浓度不低于3×105个/mL,以免产生较大的系统误差。
对8组梯度稀释样本的总细胞浓度和活细胞平均值绘制线性曲线,R2值均大于0.99,表现出优异的线性关系,仪器的精确性得到了充分的验证。
在稀释过程中,小薇发现细胞的活率,随着稀释的次数的增加而下降,原因可能是多次稀释操作过程造成细胞活率下降,还有在稀释液建议使用完全培养基,用生理盐水或者PBS会造成细胞活率的下降。
最后,让我们来看看是谁的部下,这么勇猛,精确性和稳定性这么高!原来是萌薇的Find C细胞分析仪,它采用1200万像素成像,超大的取样视野,均匀的光路设计提供高质量的图片,并采用先进的人工智能算法,多重技术来保障细胞计数的准确度和精确度。

END



