点击上方“河南电力医院”关注我们
脊椎严重骨折
2020.10.9
10月9日,河南电力医院接诊了一位70多岁高龄的骨科患者,老人因为不慎摔伤,疼痛难忍,家属将老人紧急送至河南电力医院,到医院时,老人已无法站立。
河南电力医院外二科医护人员立刻给老人做了检查,在新引进的设备——C型臂X线机的照射下,老人骨骼情况清晰的呈现在屏幕上:脊椎严重骨折!河南电力医院外二科主任刘传见当即决定,为患者实施经皮椎体球囊扩张成形术。
经皮椎体球囊扩张成形术(PKP),是治疗老年胸、腰椎骨折的一种微创手术。
通过C型臂X线机的实时高清显示,一个直径仅为4毫米的穿刺针经皮穿刺,途径追弓根进入骨折椎体,在骨折处置入球囊,进行复位,并注入骨水泥。
手术在局部麻醉下进行,全程无痛且创伤极小。手术结束后,老人即可下地无痛行走,他激动地说“太谢谢您了,大夫!”。
关节内骨折
2020.10.12
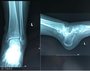
无独有偶,10月12日,一位72岁的老奶奶不慎扭伤了左踝,来到河南电力医院就诊。外二科值班医生迅速对患者进行查体,当时老奶奶的左小腿出现大面积淤血青紫斑,左足背、左踝关节肿胀压痛,活动障碍。
X线片提示,老奶奶左踝关节骨折,这种骨折也称Pilon氏骨折,属于关节内骨折,因关节常处于过伸状态,对复位要求十分严格,按骨科医生的说法是“最具挑战的骨折手术之一”。
刘传见主任见状,立即带领全科医生为老奶奶制定了详细的手术治疗方案,决定启用自主研发的术中骨折电动牵引复位器!与传统机械牵引复位器相比,这种复位器具有全自动操作、完美适配手术床、全程无菌、牵引效果稳定等优点,且患肢可随时与牵引器解离,满足术中随时牵引和去牵引的需要。
在C型臂X线机的实时反馈和术中骨折电动牵引复位器的稳固牵引下,手术取得圆满成功!
C型臂X线机
——骨科手术的透视眼
随着技术的发展和科技的进步,骨科手术逐渐向微创领域进军,C形臂x线机如同手术中的透视眼,随着C形臂的旋转,医生可在术中多位置、多角度的了解骨折复位情况及固定效果,从而节省手术时间,减少手术创伤和出血,减轻患者的痛苦,降低手术风险。
设备与技术的引进,为河南电力医院骨科临床开展更高难度、更高质量手术打下坚实的硬件基础,骨科临床经验不断丰富,使医院骨科手术水平实现持续突破,良性循环!
扫描上方二维码
下载国康集团APP 
河南电力医院
投稿:外二科 冯雯
排版:李婧钰
你“在看”我吗?

