
德国哈能卡特拍照反光镜,独特一体式手柄,
最明亮的前镜面反射口镜,不一样的体验。
产品部分制造需纯手工打造,抗刮花、无叠影、耐腐蚀
铑镜/傲卓超亮清晰涂层镜面,每类有4个型号,为一套

V-型拍照反光镜,口角牵引操作方便,患者体验更舒适,配合牙医拍照

提供两种镜面的选择
麦格FS铑镜面
傲卓FS超亮镜面

前镜面反射铑镜为新的视野提供了多种选择
镀铑涂层质地坚硬、非常耐磨、耐酸性强

傲卓FS-世界上最清晰,最明亮的前镜面反射口镜,独特创新的涂层反射出超级清晰明亮的影像,带来极其难得的水晶般通透逼真效果
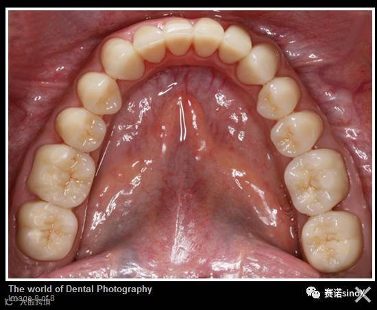
铑镜成像
傲卓成像
以上图片摄影来源于 Canon 7D und Metzblitz: Blende 25 - Zeit 125 - ISO 100
拍照反光镜工作过程呈现的高清图片
前镜面反射可用于高端治疗中,提供不可或缺的无比精准和锐利的影像

自带亮光漆,傲卓-世界上最清晰,最明亮的前镜面反射口镜

采用高精度的抛光及镀铑技术、使得产品表面形成了特别优良的反射镜面

成像清晰锐利,细节完美呈现,毫无杂质和失真,结合明亮的自然反射光源

超清成像,绝无失真,还原度超过200%

TA有什么特别之处:
一体式带有手柄拿捏舒适、拍照方便
德国工艺师们运用了一种特殊的涂层可令镜面在寒冷的冬季急速散雾
目前市面上都是一片装反光镜、拍照时非常不便,拿捏不稳,不易获得清晰的图像,影响工作效率和成像质量
这样特别的TA,你不想来一打吗?





