超声技术
(即超声波成像技术)
是医生临床诊疗中的检查手段之一
从1953年
超声首次清晰显示心脏结构;
到70年代
实时成像技术出现
人类可以动态观察器官;
再到90年代
产科超声清晰刻画
超声技术
为现代医学带来了革命性的变革
也为人类的健康作出巨大贡献
现在
新一代的超声技术
已经诞生
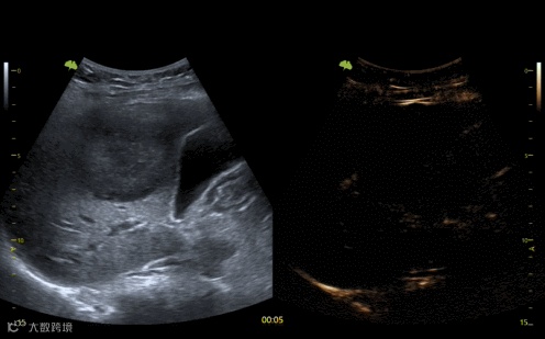
它能够在20微米级分辨率下
检测到微小血管中的血流情况
为临床与科研活动
开辟了前所未有的全新超声视野



而这项
URM超分辨显微成像技术
正是出自苏州企业之手
给人体血流成像
苏企这项技术“遥遥领先”!
苏州企业飞依诺
是一家数字化彩超设备生产商
由其研发的
URM超分辨显微成像技术
被业内专家评价为
“未来10年内超声行业
最重要的一次技术突破”

对人体无伤害的超声检查
是医学影像中的首选
但传统超声分辨率不够精细
无法检测到精确的微循环信息
“URM超分辨显微成像技术就相当于把血管放在显微镜下看,即使是三四毫米大小的肿块也能清晰地观察到它的血供情况。”飞依诺联合创始人田园介绍说。
这是一项基础性技术突破,可以广泛应用于肿瘤良恶性判断、治疗效果评估、器官移植评估等方面,只要是有血管、有微循环的地方,都可以通过这项技术去观测它的变化,据此改变临床的治疗路径,实现精准医疗。
目前
该技术已在
飞依诺旗舰超声ULTIMUS 9E系列的
科研版机型中落地应用
全国已有超过100家三甲医院
应用该产品开展临床研究
去年,飞依诺承担了两个重量级多中心研究的核心技术支持,分别由上海交通大学附属瑞金医院和解放军总医院第五医学中心牵头,针对乳腺肿块、颈部淋巴结等方向开展超分辨显微成像临床研究。
此外,该技术也走出国门,来自欧洲、南美等地的顶级专家与飞依诺合作开展相关科研研究。

创新高投入!带来成果高产出
任何突破性技术
都不是一蹴而就的
超分辨显微成像技术
是各项基础技术的集成
是研发团队
在材料科学、芯片设计、
算法工程等十余个技术高地上
同时攻坚
平台创新是这项成果的核心,飞依诺用了7年时间研发完善了软波束合成平台,前端数据采集帧率可达到每秒20000帧以上,数据量和数据处理速度与传统平台相比均呈多倍数提升。“它是长时间的积累和坚持的结果,需要团队不断试错、向着目标坚定努力的韧性。”田园说。

近年来
飞依诺每年研发投入超1亿元
近700名员工中45%为研发人员
公司核心研发及管理团队
均具有15年以上超声研发和管理经验
在人才建设层面,飞依诺通过自主培养与外部引进,搭建了一支由科学家及研发、管理人才组成的全球化人才队伍。
以“飞依诺研究院”为基地,吸纳来自生物医学工程、计算机科学与工程、工业电气自动化、信息与通信工程、临床医学等多个专业领域的博士、硕士人才。
2023年,飞依诺获批成为“博士后科研工作站”,将与更多优秀人才一起探索未来。
凭借深厚的独立创新和研发能力
飞依诺被陆续认定为
国家专精特新“小巨人”企业、
国家级知识产权优势企业、
江苏省彩色超声影像工程技术研究中心
获得江苏省商务厅颁发的
江苏省重点培育和发展的国际知名品牌证书
并成为
工信部人工智能医疗器械
创新任务揭榜单位

“创新,让生命更有质量”
至今,飞依诺已在全球100多个国家建立销售渠道,成功进入欧洲、南美、亚洲和非洲等多个海外市场,其产品已入驻中国人民解放军总医院、中南大学湘雅二医院、江苏省人民医院等全国500家三级医院。
2021年,飞依诺全系列超声产品销售总额位列国产厂商第三名。
不仅如此
自落户苏州15年以来
飞依诺摘取
“中国优秀工业设计奖”
“中国专利优秀奖”等多个奖项
飞依诺还先后入选
福布斯非上市潜力企业榜单
收购比利时Medec医疗公司

“创新,让生命更有质量”是飞依诺的企业使命。“我们期待的不是冰冷的参数突破,而是让每个生命都能从容绽放。”田园对URM技术的未来充满信心,她说,“人类距离‘唱着歌跳着舞活到120岁’的愿景,或许比想象中更近。”
来源:引力播、苏州工业园区发布等,苏州发布综合整理
中资企业出海 泰国|越南|印尼|柬埔寨|马来西亚|墨西哥|美国


