Nrf2 (PT0855R) PT™ Rabbit mAb
EGFR (PT0520R) PT™ Rabbit mAb
Integrin αE (PT1577R) PT™ Rabbit mAb
CleavedCaspase-1 (Asp296) (PT1527R) PT™ Rabbit mAb
Cleaved Caspase-3 (Asp175) (PT0457R) PT™ Rabbit mAb
CleavedCaspase-8 (Asp387) (PT1526R) PT™ Rabbit mAb
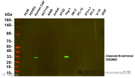
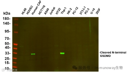
Cleaved N-terminal GSDMD (PT0680R) PT™ Rabbit mAb
Glut-1 (PT0861R) PT™ Rabbit mAb
CD86 (PT0048R) PT™ Rabbit mAb
CD31 (PT0350R) PT™ Rabbit mAb
EMR1 (F4/80) (PT1171R) PT™ Rabbit mAb
- END -
About
关于睿捷生物科技有限公司
睿捷生物科技有限公司是 (realgen-bio Co., Ltd.,简称睿捷生物)致力于为国内生命科学领域提供先进、专业的仪器设备、试剂耗材的企业。公司目前是近20家国内外知名生物公司的一级代理商,为客户提供从研发到生产的各类实验室仪器,检测试剂和生产设备。
公司产品领域涵盖分子生物学、免疫学、血液学、肿瘤研究、信号通路、药物筛选、干细胞研究、神经生物学、表观遗传学等等,为用户提供系统性的科学研究完整解决方案,成为众多研究者们可以信赖的选择。
公司成立于2011年,总部位于苏州,在南京、济南、合肥都设有办事处,公司客户主要为国内领先的生物制药、细胞治疗、生物医学和各类生物技术公司,以及大量的生命科学基础研究和政府实验室,目前已服务客户单位4000余家。
睿捷-企业文化
公司的使命:高效服务客户、为客户持续创造价值
公司的愿景:将人与科技相结合,成为生命科学领域一流的解决方案供应商
公司的价值观:诚信、公开、坚持、分享
睿捷-合作伙伴

