
THE JOY OF SUMMER
Polymer系列
买二送一
Polymer酶标二抗,
IHC专用的二抗,
临床病理级的二抗,
鼠/兔通用,
高效、即用型,
不一样的二抗,
让IHC染色结果更精准、清晰和明亮!
Polymer酶标二抗是通过一种结合有过氧化物酶的多聚体(Polymer),并携带直接作用小鼠/兔子免疫球蛋白的二抗分子。
数个过氧化物酶分子和数个二抗分子结合在同一多聚体上构成了一种简单而灵敏的IHC检测系统,具有很高的信号放大作用。
生产工艺不同,推出-P、-S系列,均能实现兔/鼠通用,达临床病理级别。
大分子多聚物polymer作为载体链,具有良好的稳定性,抗体与大分子多聚物的偶联可以保持抗体的活性和特异性;
偶联多个直接作用小鼠/兔子免疫球蛋白的二抗分子;
偶联的二抗分子为病理级。
即用型,操作简便;
只需孵育30min,高效完成检测;
无内源性干扰,非生物素标记,避免由于组织内源性生物素引起的非特异性反应。
多指标、多组织验证;
与国际床临病理抗体品牌同比时较;
手动、机检同时验证。

客户结果反馈
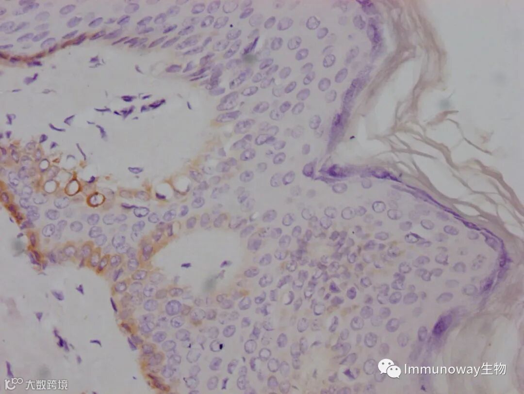
检测组织:皮肤组织石蜡切片
二抗:普通直接酶标记二抗
结论:结果显色基底层细胞胞浆胞膜弱阳性,有背景

检测组织:皮肤组织石蜡切片
二抗:病理级Polymer酶标记二抗
结论:结果显色基底层细胞胞浆胞膜强阳性,低背景

客户结果反馈
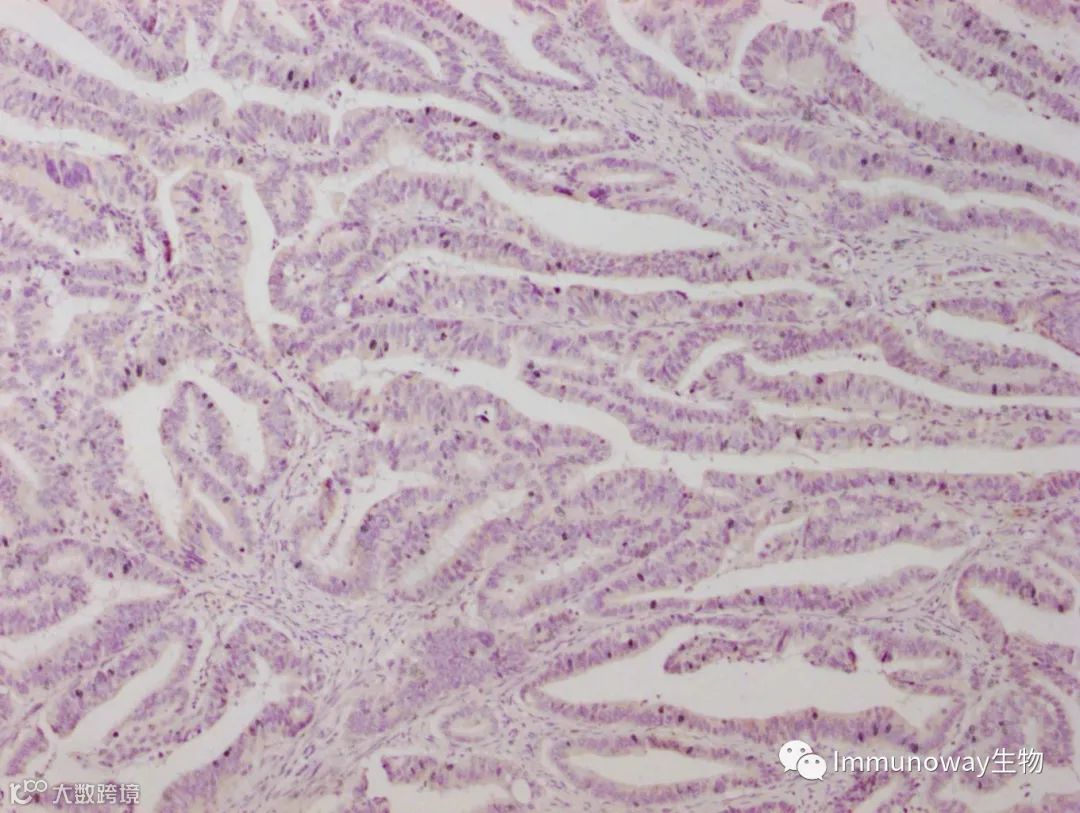
检测组织:结肠癌组织石蜡切片
二抗:普通直接酶标记二抗
结论:结果显色癌细胞胞浆胞膜弱阳性,低背景

检测组织:结肠癌组织石蜡切片
二抗:病理级Polymer酶标记二抗
结论:结果显色癌细胞胞浆胞膜强阳性,低背景

客户结果反馈
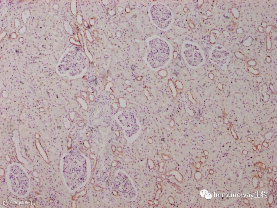
检测组织:肾脏组织石蜡切片
二抗:普通直接酶标记二抗
结论:结果显色肾小管上皮细胞胞浆胞膜弱阳性,有背景

检测组织:肾脏组织石蜡切片
二抗:病理级Polymer酶标记二抗
结论:结果显色肾小管上皮细胞胞浆胞膜强阳性,低背景

客户结果反馈
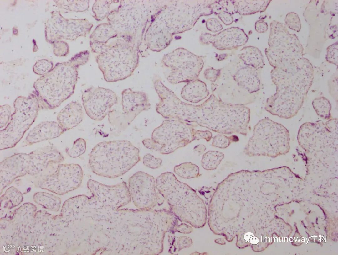
检测组织:胎盘组织石蜡切片
二抗:普通直接酶标记二抗
结论:结果显色内皮细胞胞膜阴性,有背景

检测组织:胎盘组织石蜡切片
二抗:病理级Polymer酶标记二抗
结论:结果显色内皮细胞胞膜强阳性,低背景

客户结果反馈
检测组织:前列腺癌组织石蜡切片
二抗:普通直接酶标记二抗
结论:结果显色癌细胞胞膜弱阳性,有背景

检测组织:前列腺癌组织石蜡切片
二抗:病理级Polymer酶标记二抗
结论:结果显色癌细胞胞膜强阳性,低背景

客户结果反馈
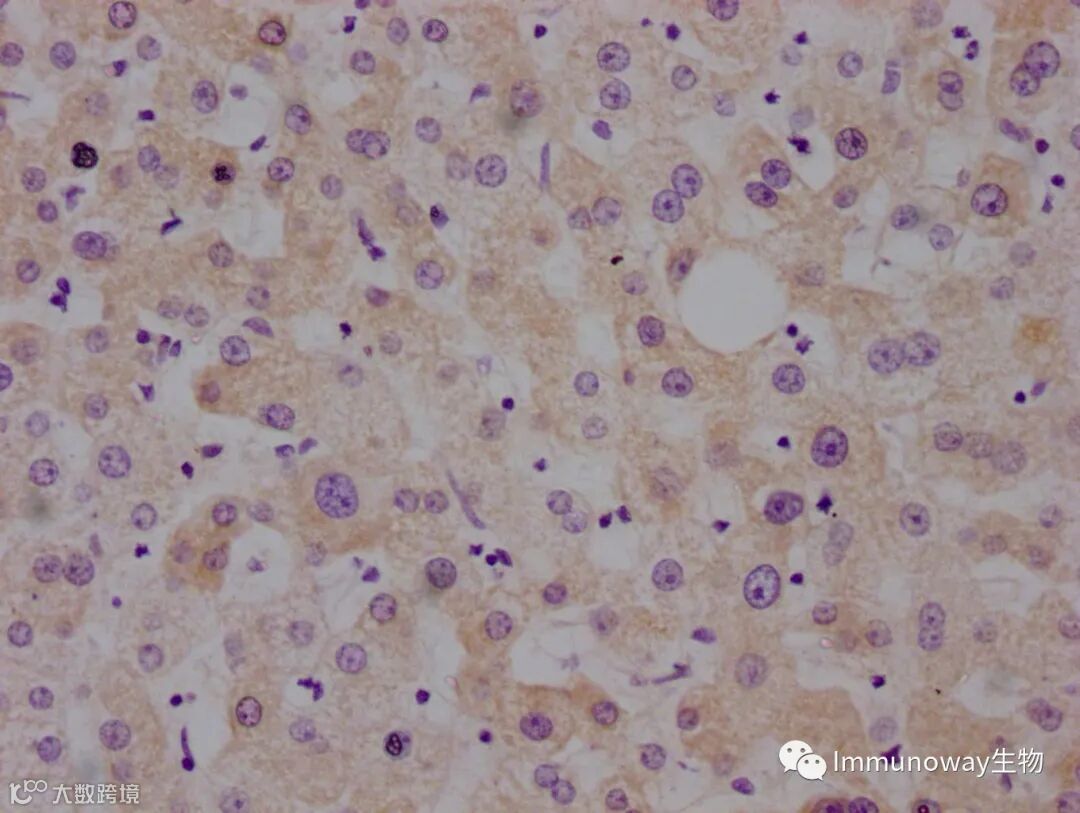
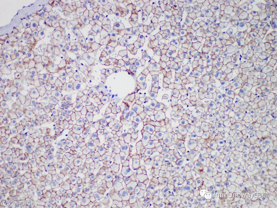
检测组织:肝组织石蜡切片
二抗:普通直接酶标记二抗
结论:肝细胞胞浆胞膜弱阳性,低背景

检测组织:肝组织石蜡切片
二抗:病理级Polymer酶标记二抗
结论:肝细胞胞浆胞膜强阳性,低背景
| 货号 | 名称 | 规格 |
| RS0009 | Polymer HRP Goat Anti Mouse IgG(H+L)-S | 1ml/3ml/10ml |
| RS0010 | Polymer HRP Goat Anti Rabbit IgG(H+L)-S | 1ml/3ml/10ml |
| RS0011 | Polymer HRP Goat Anti Mouse/Rabbit IgG(H+L)-S | 1ml/3ml/10ml |
| RS0045 | Polymer HRP (Mouse) IHC Kit-S | 1ml/3ml/10ml |
| RS0046 | Polymer HRP (Rabbit) IHC Kit-S | 1ml/3ml/10ml |
| RS0047 | Polymer HRP (Mouse/Rabbit) IHC Kit-S | 1ml/3ml/10ml |
| RS0048 | Polymer HRP (Mouse) IHC Kit (DAB)-S | 1ml/3ml/10ml |
| RS0049 | Polymer HRP (Rabbit) IHC Kit (DAB)-S | 1ml/3ml/10ml |
| RS0050 | Polymer HRP (Mouse/Rabbit) IHC Kit (DAB)-S | 1ml/3ml/10ml |
| RS0056 | Polymer HRP Goat Anti Mouse IgG(H+L)-P | 1ml/3ml/10ml |
| RS0057 | Polymer HRP Goat Anti Rabbit IgG(H+L)-P | 1ml/3ml/10ml |
| RS0058 | Polymer HRP Goat Anti Mouse/Rabbit IgG(H+L)-P | 1ml/3ml/10ml |
| RS0059 | Polymer HRP (Mouse) IHC Kit-P | 1ml/3ml/10ml |
| RS0060 | Polymer HRP (Rabbit) IHC Kit-P | 1ml/3ml/10ml |
| RS0061 | Polymer HRP (Mouse/Rabbit) IHC Kit-P | 1ml/3ml/10ml |
| RS0062 | Polymer HRP (Mouse) IHC Kit (DAB)-P | 1ml/3ml/10ml |
| RS0063 |
Polymer HRP (Rabbit) IHC Kit (DAB)-P |
1ml/3ml/10ml |
| RS0064 |
Polymer HRP (Mouse/Rabbit) IHC Kit (DAB)-P |
1ml/3ml/10ml |
2024.5.16-6.14
赠送支金额≤任意购买支金额
此活动与其他活动不叠加参加;
本活动仅限生命科学与医学领域单位、科研院所及院校科研工作者、老师及在研学生参加。
- END -
About
关于睿捷生物科技有限公司
睿捷生物科技有限公司是 (realgen-bio Co., Ltd.,简称睿捷生物)致力于为国内生命科学领域提供先进、专业的仪器设备、试剂耗材的企业。公司目前是近20家国际知名生物公司的一级代理商,为客户提供从研发到生产的各类实验室仪器,检测试剂和生产设备。
公司产品领域涵盖分子生物学、免疫学、血液学、肿瘤研究、信号通路、药物筛选、干细胞研究、神经生物学、表观遗传学等等,为用户提供系统性的科学研究完整解决方案,成为众多研究者们可以信赖的选择。
公司成立于2011年,总部位于苏州,在南京、济南、合肥都设有办事处,公司客户主要为国内领先的生物制药、细胞治疗、生物医学和各类生物技术公司,以及大量的生命科学基础研究和政府实验室,目前已服务客户单位5000余家。
睿捷-企业文化
公司的使命:高效服务客户、为客户持续创造价值
公司的愿景:将人与科技相结合,成为生命科学领域一流的解决方案供应商。
公司的价值观:诚信、公开、坚持、分享
睿捷-合作伙伴

