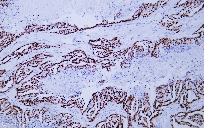
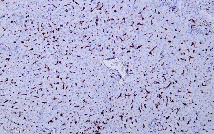
Immunoway脱蜡修复二合一,安全、高效替代传统的三次二甲苯脱蜡、三到五次梯度乙醇水化和抗原修复步骤,使得IHC/mIHC实验更加准确、便捷!
整合了脱蜡、水化和抗原修复步骤,减少了繁琐操作,降低了失误风险。
将多个步骤合并,显著缩短了实验时间,提高了效率。
不使用二甲苯和酒精等有机溶剂,降低了环境污染和实验人员健康风险。
提高了抗原染色的效率和质量,使实验结果更准确可靠。
1 扫描下方二维码,关注immunoway生物。
公众号平台回复关键词“immunoway”,即可参与抽奖;
京东卡
脱蜡修复二合一溶液20X pH9.0 100ml(货号RS0055,应用IHC;mIHC);
脱蜡修复二合一溶液20X pH9.0 30ml(货号RS0055,应用IHC;mIHC)。
领奖:活动2025.8.14 上午10:00-14:00,抽完即截止。中奖后请填写收件信息,信息统计后会由Immunoway当地授权代理伙伴统一派发礼品,5-10个工作日左右派发。
特别提示:本活动仅限生命科学与医学领域单位、科研院所及院校科研工作者、老师及在研学生参加,Immunoway当地授权代理商伙伴配送范围予以兑奖,感谢大家的关注。
- END -
About
关于睿捷生物科技有限公司
睿捷生物科技有限公司是 (realgen-bio Co., Ltd.,简称睿捷生物)致力于为国内生命科学领域提供先进、专业的仪器设备、试剂耗材的企业。公司目前是近20家国内外知名生物公司的一级代理商,为客户提供从研发到生产的各类实验室仪器,检测试剂和生产设备。
公司产品领域涵盖分子生物学、免疫学、血液学、肿瘤研究、信号通路、药物筛选、干细胞研究、神经生物学、表观遗传学等等,为用户提供系统性的科学研究完整解决方案,成为众多研究者们可以信赖的选择。
公司成立于2011年,总部位于苏州,在南京、济南、合肥都设有办事处,公司客户主要为国内领先的生物制药、细胞治疗、生物医学和各类生物技术公司,以及大量的生命科学基础研究和政府实验室,目前已服务客户单位4000余家。
睿捷-企业文化
公司的使命:高效服务客户、为客户持续创造价值
公司的愿景:将人与科技相结合,成为生命科学领域一流的解决方案供应商
公司的价值观:诚信、公开、坚持、分享
睿捷-合作伙伴

