NLRP3是一个难跑但又多种研究绕不开的靶标,而Signalway Antibody(SAB)的NLRP3 Rabbit mAb(货号#49012)却因其出色的表现,成为客户自发分享的热门产品。
INTRODUCE
NLRP3介绍
NLRP3(NACHT, LRR and PYD domains-containing protein 3)是一种炎症小体传感器蛋白,当NLRP3被激活产生包含ASC与Caspase - 1等在内的寡聚体蛋白复合物时,该复合物被称为NLRP3炎症小体,从而促进炎症细胞因子的释放并诱导细胞焦亡。
FUNCTION
NLRP3功能
NLRP3炎症小体是免疫系统的关键组成部分,在机体抵御病原体入侵和维持内环境稳定方面发挥着不可或缺的作用。它通过介导免疫细胞的caspase-1激活和IL-1β释放,参与调控炎症反应。然而,NLRP3的异常激活与多种疾病的发生发展密切相关,包括:
▶ 自身炎症性疾病
(如冷吡啉相关周期性综合征/CAPS)
▶ 代谢性疾病
(如2型糖尿病、肥胖、动脉粥样硬化)
▶ 神经退行性疾病
(如阿尔茨海默病、帕金森病)
▶ 自身免疫病
(如类风湿性关节炎、炎症性肠病)
▶ 感染与脓毒症
(如COVID-19重症炎症反应)
此外,多项研究还发现NLRP3炎症小体与玫瑰痤疮、缺血性脑损伤、急性肺损伤、急性胰腺炎等疾病密切关联,进一步凸显其在炎症相关疾病中的广泛影响。
总之,NLRP3作为一种关键的炎症传感器,能够通过形成炎症小体调控多种促炎因子的释放,影响多种疾病的发生发展。鉴于其在疾病治疗、免疫调控和细胞焦亡中的核心作用,NLRP3已成为当前生物医学研究的热点。随着对NLRP3作用机制认识的不断深入,针对性的药物研发也展现出广阔的临床应用前景,为多种炎症相关疾病的治疗提供了新的干预策略。
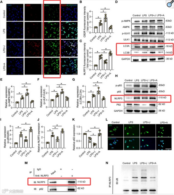
➤ (A) LPS刺激24小时后CB2R(红色)和NLRP3(绿色)的IF染色。
➤ (D) LPS作用24 h后各组p-AMPK、AMPK、p-ULK1、ULK1、LC3A、LC3B的目标带。
➤ (H) LPS刺激24 H后p-p65、p65、NLRP3和p62的目标带。
➤ L) JWH-133激活CB2R或AM630灭活CB2R, LPS刺激24 h后CB2R(红色)和NLRP3(绿色)的IF染色。
➤ (M) 用抗体对NLRP3进行IP检测后,BV2小胶质细胞中NLRP3和p62的目标带。
文献使用其他SAB相关产品推荐:
LC3A Mouse Monoclonal Antibody(5G10)#44176
LC3B Polyclonal Antibody#29075
➤(B,C)采用western blot检测FLSs中相关蛋白和基因的表达来确定NEs-SP-EO对lps诱导模型中ERS/TXNIP/NLRP3信号轴的干预作用。
文献使用其他SAB相关产品推荐:
Caspase-1 Rabbit mAb#48847
- END -
About
关于睿捷生物科技有限公司
睿捷生物科技有限公司是 (realgen-bio Co., Ltd.,简称睿捷生物)致力于为国内生命科学领域提供先进、专业的仪器设备、试剂耗材的企业。公司目前是近20家国内外知名生物公司的一级代理商,为客户提供从研发到生产的各类实验室仪器,检测试剂和生产设备。
公司产品领域涵盖分子生物学、免疫学、血液学、肿瘤研究、信号通路、药物筛选、干细胞研究、神经生物学、表观遗传学等等,为用户提供系统性的科学研究完整解决方案,成为众多研究者们可以信赖的选择。
公司成立于2011年,总部位于苏州,在南京、济南、合肥都设有办事处,公司客户主要为国内领先的生物制药、细胞治疗、生物医学和各类生物技术公司,以及大量的生命科学基础研究和政府实验室,目前已服务客户单位4000余家。
睿捷-企业文化
公司的使命:高效服务客户、为客户持续创造价值
公司的愿景:将人与科技相结合,成为生命科学领域一流的解决方案供应商
公司的价值观:诚信、公开、坚持、分享
睿捷-合作伙伴

