科研界的三大“网红”选手NLRP3, Ki67, c-Myc,历年来都是科研人员关注的“扛把子”选手,发表的相关文章数目也是逐年增加(表1)。
▲表1. NLRP3, Ki67, c-Myc每年发表文章数目趋势(数据来自NCBI)
小编也关注它们好久了,积攒了很多实验小诀窍,今天就分享给亲爱的Abcam小伙伴们!
//本文内容较长,为了优化阅读体验,欢迎大家点击标题文字展开相应内容。
Chapter 01
炎症小体传感器NLRP3背景及
实验关键点介绍
NLRP3背景简介
“每逢佳节胖三斤”,“三月四月不减肥,五月六月徒伤悲”,再加上“热辣滚烫”的刺激,小伙伴们是不是又燃起了新一轮的减肥热潮?网红蛋白NLRP3在2024年初也来了一次“热辣滚烫”,临床前数据证明NLRP3抑制剂NT-0249和NT-0796表现出减重和抗炎疗效的效果。NLRP3是炎症小体的传感器,在先天免疫和炎症中发挥着至关重要的作用。
NLRP3炎症小体通路(图1)。NLRP3炎症小体的激活有两个步骤:启动和激活。这种启动是由内源性细胞因子或微生物分子触发的。NLRP3炎症小体的激活包括经典和非经典路径。经典激活诱导caspase-1激活,将pro-IL-1β/pro-IL-18转化为IL-1β/IL-18活性形式。非经典激活,由小鼠caspase-11和人类caspase-4及caspase-5诱导,间接促进pro-IL-1β/ pro-IL-18表达。活化的caspase-1和caspase-11可以裂解GSDMD (gasdermin D),导致细胞膜孔隙形成、引起的细胞焦亡和IL-1β/IL-18的释放。
▲向上滑动查看更多▲
▲图1. NLRP3炎症小体通路(Kong et al., 2022)
NLRP3实验关键点
WB实验检测NLRP3蛋白时,您是否遇到无信号、信号弱以及条带大小与预测不符的问题?
接下来小编主要通过5个关键点助您解决问题。
1
NLRP3 在正常组织中呈低水平表达,例如小鼠肝脏、肾脏组织等;因此在大多数非病变组织样本和未处理的细胞裂解物中检测不到信号或信号很弱(图2)。
▲图2:WB- Anti-NLRP3抗体(👉ab263899)
泳道1:小鼠胸腺组织裂解液 20 µg;
泳道2:小鼠肺组织裂解液 20 µg;
泳道3:小鼠心脏组织裂解液 20 µg;
泳道4:小鼠肾脏组织裂解液 20 µg;
泳道5:小鼠大脑组织裂解液 20 µg;
泳道6:小鼠胎盘组织裂解液 20 µg;
泳道7:小鼠卵巢组织裂解液 20 µg;
泳道8:小鼠肝脏组织裂解液 20 µg;
泳道9:Raw 264.7全细胞裂解液 20 µg;
预测条带大小:118 kDa
曝光时间:3分钟(泳道1-8);20秒(泳道9)
▲图3:WB- Anti-NLRP3抗体(👉ab263899)
泳道1:THP-1 全细胞裂解液 20 µg;
泳道2:Jurkat全细胞裂解液20 µg;
泳道3:未处理RAW 264.7 全细胞裂解液10 µg;
泳道4:10 µg/ml LPS 处理 8 h的 RAW 264.7 全细胞裂解液10 µg;
泳道5:J774A.1 全细胞裂解液20 µg
预测条带大小:118 kDa;75 kDa为短的异构体。
曝光时间:48秒(泳道1);3分钟(泳道2);1秒(泳道3-4);6秒(泳道5)
◀ 左右滑动查看更多 ▶
2
对于部分细胞如RAW264.7,LPS 处理会增加胞内NLRP3的表达,因此LPS刺激处理有利于解决WB实验时无信号或信号弱等问题。
3
即使是同样的细胞,不一样的细胞状态仍然需要摸索诱导条件,建议尝试做试剂浓度和时间梯度诱导。
4
建议使用确定表达的样本作为阳性对照,以帮助判断实验操作、试剂和诱导条件是否合适。
5
NLRP3(图3)蛋白存在翻译后修饰和多个异构体,所以WB检测时,会遇到实际检测到的分子大小可能与预测值不符或者多带现象。
人 (Q96P20): 异构体 3: 84 kDa (预测);异构体 1: 106 kDa (预测);异构体 2,4-6: 110-120 kDa (预测)
小鼠 (Q8R4B8): 异构体 4: 96 kDa (预测);异构体 1-3: 110-120 kDa (预测)
大鼠 (D4A523): 119 kDa (预测)
翻译后修饰包括:磷酸化/泛素化
6
在WB实验中除了需要注意常规问题外,检测NLRP3时还要特别关注以下关键控制点
样本制备
添加足够量的蛋白酶抑制剂以避免靶标蛋白降解。
整个样本制备过程中,保持样本置于冰上。
通过Bradford分析、Lowry分析或BCA分析测定样本总蛋白浓度。
电泳
分子量大的靶标蛋白 (分子量 >100 kDa),推荐使用8% 分离胶。
转膜
推荐使用0.42μm PVDF膜。
在转膜缓冲液中添加终浓度为0.1%的SDS。
充分冲洗PVDF 膜,确保膜上残留甲醇全部去除。
建议转膜缓冲液中甲醇浓度为10%。
强烈建议转膜完成后使用丽春红染色,确定转膜是否成功。
▲向上滑动查看更多▲
Chapter 02
细胞增殖标志物Ki67背景及
实验关键点介绍
Ki67背景简介
细胞周期失控是肿瘤细胞的主要特征之一。细胞周期严重失调可以使肿瘤细胞拥有无限增值的能力。首先肿瘤细胞细胞周期异常,通常表现为细胞周期蛋白的过度表达,细胞周期蛋白依赖性激酶(CDK)的正调节作用过强。其次CDK抑制因子失活,导致对CDK负调节作用减弱,最后造成细胞分化缺乏和细胞过度增殖;最后细胞周期检查点的异常会破坏(图4)。原癌基因与抑癌基因的平衡,激活细胞增殖相关通路,导致细胞过度分裂,最终促进肿瘤的发生和进展。细胞周期失控与肿瘤的发生发展有着如此紧密的关系。
Ki67 是一种增殖标志物,在多种癌症中具有诊断和预后价值,Ki67直标研究和病理中被广泛用作肿瘤标志物,Ki67指数与肿瘤疾病的病程相关,可用于评估患者生存和癌症进展。作为定位于细胞核的蛋白,Ki67在细胞周期的G1、S、G2和M期表达,但在G0期不表达。在G1期,它位于核周区域,但在以后各期则分布在整个核内部。有丝分裂期间,它存在于所有染色体上。
▲向上滑动查看更多▲
▲图4. 细胞周期中起调控作用的细胞周期蛋白(👉点击此处查看原图)
Ki67实验关键点
IHC实验检测Ki67蛋白时,您是否遇到无信号、染色不正确等问题?
接下来小编主要通过4个关键点助您解决问题。
1
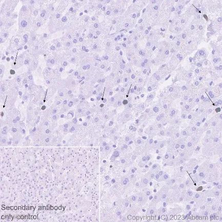
Ki67主要在增殖细胞中表达,例如扁桃体生发中心增殖细胞丰富(图5),在心脏,大脑,骨骼肌和睾丸中含量最高。在肝脏中观察到很少的表达(图6,7)。在部分正常组织中几乎不表达,所以在具有较强增殖能力的肿瘤组织中比较容易检测到Ki67,可尝试使用HE染色区分肿瘤/瘤旁组织,进而确保样品中含有增殖分裂旺盛的组织,因此选择正确的样本有助于拿到更好的实验结果。
▲图5:Anti-Ki67抗体(👉ab16667)
样本名称:人源扁桃体组织切片
▲图6:Anti-Ki67抗体(👉ab16667)
样本名称:人源肝脏组织切片
样本处理条件:用柠檬酸钠缓冲液(pH 6.0)进行热修复抗原
▲图7:Anti-Ki67抗体(👉ab16667)抗体的人源和小鼠样本TMA结果总结。
◀ 左右滑动查看更多 ▶
2
虽然在增殖细胞中可以检测到Ki67,但部分组织中的增殖细胞含量较少(例如,结肠基底部),最终切片中可能会观察到阳性细胞比例较低或无信号的现象,建议尝试更换切片找到较为合适的观察视野。
3
若不确定自己的样本是否表达靶标蛋白,强烈建议在实验中使用阳性对照,比如扁桃体组织的生发中心(图5)。
4
在IHC实验中除了需要注意常规问题外,检测Ki67还要特别关注以下关键控制点:
样本固定
样本固定时间取决于组织块大小与组织类型,但对于大多数样本,室温固定18-24小时较为合适。
固定不足会导致组织切片因边缘染色而信号强,中间未染上而无信号。
过度固定则会封闭抗原表位,虽然抗原修复会暴露其中一部分表位,但如果组织固定时间非常长(如一周以上),则会发生抗原修复后依然无信号的现象。
抗原修复
抗原修复条件需要优化,对石蜡切片进行免疫组化实验时,可以尝试在高压锅中对玻片进行110℃修复15min。
对冰冻切片进行免疫组化实验时,如果使用4% PFA固定较长时间样本 (例如18-24小时),建议使用酶抗原修复或微波修复方法。
封闭
如后续使用HRP结合物进行检测,请使用3%过氧化氢处理切片10分钟以封闭内源性过氧化物酶。
如使用荧光基团偶联的二抗进行实验,请提前在封闭过程中使用0.3M glycine淬灭醛基引起的自发荧光。
▲向上滑动查看更多▲
Chapter 03
细胞代谢和增殖的“主调节器”c-Myc背景及实验关键点介绍
c-Myc背景简介
原癌基因c-Myc作为细胞代谢和增殖的“主调节器”,与许多促进生长分化的的信号通路相关。c-Myc通过与其它因子相互作用,调节靶基因的转录激活或转录抑制,从而实现对细胞增殖、分化、凋亡以及代谢的调节。c-Myc的失调在人类肿瘤发生过程中具有关键作用。与其他基因突变或截短而产生活性的原癌基因不同,c-Myc会因失去转录控制而失调,导致蛋白过表达。过表达c-Myc能够诱导癌细胞增殖、阻止分化、促进自我更新和扰乱蛋白质的合成,以及引发肿瘤细胞的免疫逃逸等(图7)。
▲向上滑动查看更多▲
▲图7. MYC等多个转录因子调节网络,阐明干细胞和癌细胞之间循环动力学的相似性。(Fleifel D et al., 2023)
c-Myc实验关键点
Myc和c-Myc是两个不同的蛋白吗?识别它们的抗体是一样的吗?
WB及IHC实验检测c-Myc蛋白时,您是否遇到无信号、信号弱等问题?
接下来小编主要通过7个关键点助您解决问题。
1
c-Myc为内源性蛋白,Myc是标签蛋白,它们是完全不同的两个蛋白,因此对应的抗体也是完全不同的,小伙伴们在选择c-Myc抗体时一定要擦亮眼睛,以防选错哦。
2
不同样本中c-Myc的表达量存在差异,选择合适的样本进行实验非常重要。
3
c-Myc组织特异性低,不同样本中蛋白的表达量存在差异(图8),有些样本可能会出现弱表达或无表达的情况。请选择合适的实验样本,检测前需要确认靶标蛋白表达量,若表达量较低,建议尝试对实验条件进行优化:比如降低稀释度,增加上样量,使用高敏底物等。
4
强烈推荐使用阳性对照,例如Jurkat、HeLa细胞系(图9),以确认实验体系没有问题。
5
c-Myc存在多种翻译后修饰,常出现实际检测分子量与预测条带大小不符,或者两条条带现象。
▲图8:重组Anti-c-Myc抗体[Y69] - ChIP Grade(👉ab32072)
泳道 1: MCF-7全细胞裂解液;
泳道 2: Raji全细胞裂解液;
泳道 3: K562全细胞裂解液;
泳道 4: Jurkat全细胞裂解液;
泳道 5: THP-1全细胞裂解液;
泳道 6:大鼠脾脏全细胞裂解液;
泳道 7: L6全细胞裂解液;
泳道 8: Neuro-2a全细胞裂解液;
泳道 9: RAW264.7全细胞裂解液。
预测条带大小:49 kDa;
检测条带大小:45、57kDa
▲图9:重组Anti-c-Myc抗体[Y69] - ChIP Grade(👉ab32072)
泳道1:20 µg野生型Jurkat细胞裂解液;
泳道2:20 µg HeLa细胞裂解液;
泳道3:20 µg 野生型HEK-293T细胞裂解液;
泳道4:20 µg MYC敲除的HEK-293T细胞裂解液。
一抗:Anti- c-Myc 抗体[Y69](👉ab32072),浓度 1/1000 稀释
预测条带大小:49 kDa
检测条带大小:57 kDa
◀ 左右滑动查看更多 ▶
6
在WB实验中除了需要注意常规问题外,检测c-Myc还要特别关注以下关键控制点:
样本制备
添加复合蛋白酶抑制剂以避免靶标蛋白降解。
检测磷酸化c-Myc蛋白,建议在裂解液中添加复合磷酸酶抑制剂。
超声破碎处理细胞以富集靶标蛋白。
通过Bradford分析、Lowry分析或BCA分析测定样本总蛋白浓度。
电泳
至少上样20μg总蛋白进行电泳。
我们强烈建议您在进行新的WB实验时使用阳性裂解液作为对照。
转膜
建议不要裁膜,保留全膜或至少 90kDa以下膜来孵育此抗体。
PVDF膜需要激活,并且激活后充分清洗,完全去除膜上残留甲醇。
强烈建议转膜完成后使用丽春红染色,确定转膜是否成功。
抗体孵育
请根据产品说明书选择合适的抗体工作浓度。
建议使用新鲜抗体,不建议抗体重复利用。
▲向上滑动查看更多▲
7
在IHC实验中除了需要注意常规问题外,检测c-Myc还要特别关注以下关键控制点:
样本固定
样本固定时间取决于组织块大小与组织类型,但对于大多数样本,例如使用4%PFA固定,室温固定18-24小时较为合适。
封闭
如使用荧光基团偶联的二抗进行实验,推荐使用添加1%的BSA和终浓度为0.3M甘氨酸的封闭液,以淬灭醛基引起的自发荧光。
如后续使用HRP结合物进行检测,请使用3%过氧化氢处理切片10分钟以封闭内源性过氧化物酶。
抗原修复
对石蜡切片进行免疫组化实验时,请根据说明书选择合适的抗原修复液。我们建议使用高压锅进行热诱导抗原修复。可以尝试110℃修复切片15分钟。
▲向上滑动查看更多▲
Chapter 04
Abcam官网如何找到NLRP3、Ki67和c-Myc相关产品说明书中中文版的实验关键点?
NLRP3,Ki67和c-Myc这么多的实验注意点,除了这篇文章,我怎么从Abcam产品相关的页面找到呢?产品页面有对应的中文版内容吗?别着急,请看下面↓
👉点击查看更多产品中文实验小技巧
Chapter 05
Abcam微信公众号中怎样找到NLRP3、Ki67和c-Myc相关产品说明书和实验关键点?
Abcam微信公众号也可以查找产品说明书和相关实验关键点,请跟随小编一起手指划起来:
关注Abcam微信公众号 → 便捷查询 → 验真/Datasheet → 输入产品货号,例如ab263899 → 搜索,或观看如下视频↓
以上就是本期分享,希望对各位小伙伴有所启发和帮助,欢迎大家分享、收藏、点赞!新的一年我们会继续为大家带来诚意满满的技术干货,记得持续关注哈!
扫描下方二维码即可获取NLRP3, Ki67, c-Myc, JAK2, CPT1A等热门靶点贴士,百余个热门靶点等你来探索!
文末互动福利
您还想了解哪些热门靶点?
或是在实验中遇到那些疑难问题
欢迎大家在文章下方
交流分享
Abcam将选出点赞前三位幸运观众
各送出爱丽丝系列日历便签摆件1个
*留言点赞时间截至2024年3月28日 12:00
近期热门资料
点击这里搜索更多可下载手册
微课程报名

